DIAGNOSTYKA OBRAZOWA
W ramach działalności naszej kliniki oferujemy Państwu usługi z zakresu diagnostyki obrazowej. Szeroki wachlarz możliwości diagnostycznych umożliwia nam nowoczesna aparatura diagnostyczna, w którą wyposażone są nasze gabinety oraz pracownia RTG/CBCT.
RADIOWIZJOGRAFIA STOMATOLOGICZNA
Integrowana z fotelem dentystycznym marki Stern Weber oraz z aparatem rentenowskim do wykonywania zdjęć wewnątrzustnych pacjenta.
Zestaw ten pozwala na wykonanie zdjęć rtg podczas konsultacji lub leczenia na fotelu dentystycznym w gabinecie , które szczegółowo obrazują:
- anatomię leczonego zęba: konstrukcję i strukturę twardych tkanek zęba, zasięg komory miazgi oraz przebieg kanałów korzeniowych
- stan tkanek okołozębowych
- miejsce dla wszczepienia implantu – stan kości
APARAT CS 2100
Aparat rentgenowski do wykonywania zdjęć wewnątrzustnych:
- o wysokiej częstotliwości 300 kHz
- wysokiej precyzji obrazowania zdjęć
- o zminimalizowanej o 30% dawce promieniowania potrzebnego do wykonania zdjeć
- wyposażony we wszystkie technologie radiologiczne systemu Kodak Trophy
Umozliwia on wykonanie zdjęć:
- punktowych
- zgryzowych
- zgryzowo-skrzydłowych
Aparat RTG Carestream CS 2100 znajduje zastosowanie m.in. w diagnostyce stomatologicznej podczas leczenia zachowawczego, endodontycznego, protetycznego, oraz doraźnie w leczeniu implantologicznym.
APARAT CS 8100 3D
Posiadamy jeden z najdoskonalszych aparatów z rodziny Carestream Dental, który zawiera innowacyjny na chwilę obecną tomograf CBCT pantomograf oraz przystawkę do zdjęć cefalometrycznych.
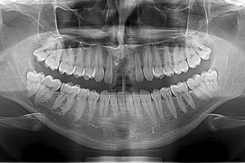
Umożliwia on wykonanie zdjęć panoramicznych – OPG, które uwzględniają obraz całości kości szczęk i żuchwy, całego uzębienia oraz pozostałych szczegółów anatomicznych takich jak zatoki szczękowe, nos, stawy skroniowo żuchwowe oraz oczodoły
Obraz diagnostyczny przedstawiany jest w dwóch wymiarach co ogranicza przestrzenną analizę interesującego nasz obszaru anatomii pacjenta. Zdjęcie panoramiczna w połączeniu z klinicznym badaniem jamy ustnej pacjenta daje pełną, podstawową informację odnośnie diagnozowanego obszaru.
Zdjęcia profilowe - cefalometryczne
Dzięki posiadanej odpowiedniej przystawce w aparacie CS 8100 3D mamy możliwość wykonania zdjęć profilowych głowy – cefalometrycznych, zwanych potocznie CEFALO lub TELE RTG. Są to zdjęcia, których używamy dla potrzeb diagnostyki ortodontycznej
- umożliwiają ustalenie anatomicznych przyczyn powstania wady zgryzu
- umożliwiają dokładną diagnostykę wad zgryzu
- dzięki pomiarom możliwym tylko w tej projekcji umożliwiają precyzyjne planowanie leczenia ortodontycznego
- pozwalają na ocenę wzrostu kostnego
Posiadają one szczególną, techniczna zaletę jednoczesnego obrazowania profilu części kostnego szkieletu twarzy jak i jego tkanek miękkich. Ukazują obrys skóry nosa ust jak również bródkę.
Stożkowa Tomografia Komputerowa CBCT
Trójwymiarowy obraz w diagnostyce uzyskujemy dzięki możliwościom nowoczesnego aparatu CS 8100 3D, który umożliwia obrazowanie przestrzenne dzięki użyciu Stożkowej Tomografii Komputerowej CBCT. Za pomocą tomografu komputerowego oceniamy w trójwymiarowej przestrzeni:
- stan kości – strukturę, gęstość, profil, stopień jej zaniku, obecność zmian chorobowych
- wymiar wyrostka zębodołowego w miejscu planowanej implantacji, we wszystkich płaszczyznach
- stan twardych tkanek zębów
- grubość błony śluzowej
- położenie i rozmiary zatok szczękowych
- odległość kości do dna jamy nosowej
DRUK 3D
W asortymencie naszej oferty diagnostycznej znajduje się możliwość druku trójwymiarowych modeli dowolnego obszaru kostnego pacjenta. Ten rodzaj diagnostyki możliwy jest dzięki rejestracji cyfrowych danych pacjenta przez Stożkowa Tomografia Komputerowa CBCT, które następnie przesyłane są do naszej drukarki 3D celem wydruku w formie trójwymiarowego modelu w skali 1:1. wykonane techniką STL, FFF.
Druk 3d Umożliwia:
- analizę 1:1 w przestrzeni trójwymiarowej wad, ubytków oraz wrodzonych lub nabytych deformacji kostnych
- pokazuje stopień zaniku kostnego w obszarach przeznaczonych do implantacji
- pozwala przeanalizować i zaplanować leczenie chirurgiczne lub ortodontyczne pacjenta
FAQ - DIAGNOSTYKA
Nasza pracownia wyposażona jest w nowoczesny sprzęt do diagnostyki obrazowej. Poprzez zastosowanie nowoczesnej technologii cyfrowej otrzymujemy idealną precyzję obrazowania przy zminimalizowanych dawkach promieni. Daje to naszym pacjentom poczucie bezpieczeństwa i gwarancję jakości usługi. Nasza aparatura RTG wyposażona jest w specjalny program pediatryczny, który dostosowuje odpowiednią dawkę również dla dzieci.
O ciąży należy powiadomić nasz personel medyczny. Tylko w wyjątkowych sytuacjach wykonuje się badanie u kobiet ciężarnych. Jeżeli nie jest ono konieczne, należy przełożyć je do czasu rozwiązania.
W myśl obowiązujących w Polsce przepisów prawnych oraz przez wzgląd na bezpieczeństwo pacjentów, by wykonać stomatologiczne badanie rentgenowskie – zdjęcie pantomograficzne, zdjęcie cefalometryczne lub tomografię komputerową, potrzebujemy skierowanie od lekarza. Skierowanie nie jest niezbędne, gdy wykonujemy badanie RTG wewnątrzustne, punktowe zęba.
Specjalne przygotowanie nie jest potrzebne, aby wykonać powyższe badania. Można je wykonać od razu po przyjściu do pracowni RTG. Są bezbolesne i nieinwazyjne. Nie wymagają podawania kontrastu czy odstawiania stosowanych leków. Jedynymi wymogami przed badaniem jest zdjęcie okularów, usunięcie wszelkich metalowych ozdób z obrębu głowy (kolczyki, łańcuszek z szyi, gumki i wsuwki z włosów) oraz wyjęcie posiadanych protez zębowych z jamy ustnej.
Wynik badania otrzymują Państwo w postaci wydruku na kliszy. Istnieje możliwość zapisania wersji elektronicznej na płycie CD bądź wysłania e-mailem (po uprzednim podpisaniu zgody, formularz do pobrania). Wynik badań otrzymują Państwo w ciągu kilku minut.
Zdjęcie pantomograficzne, zwane również panoramicznym, to specjalistyczne badanie obrazowe używane do celów stomatologicznych. Wykonujemy je, gdy istnieje potrzeba zobrazowania wszystkich zębów szczęki i żuchwy (również tych zatrzymanych), zatok szczękowych, stawów skroniowo-żuchwowych, a także otaczających tkanek.
Wykonujemy je, ustawiając pacjenta przed kolumną aparatu, następnie polecamy, aby zagryzł specjalny ustnik, przez co uzyskujemy właściwą pozycję głowy, która gwarantuje odpowiednią projekcję. Podczas badania należy przez kilka sekund zachować bezruch oraz wykonywać polecenia technika. W trakcie badania głowica pantomografu krąży wokół głowy pacjenta przez kilka sekund, a uzyskany obraz jest od razu widoczny na monitorze.
- adanie cefalometryczne, zwane również profilowym lub tele RTG, polega na zobrazowaniu profilu czaszki uwzględniającym tkanki twarde i miękkie twarzy, podniebienie twarde oraz zatoki przynosowe. Projekcja ta niezbędna jest w ortodontycznej diagnostyce wad zgryzu, planowaniu ich leczenia, kontrolowaniu jego przebiegu oraz uzyskanych efektów.
To kilkusekundowe badanie wykonuje się za pomocą specjalnej przystawki do aparatu pantomograficznego – głowa pacjenta zostaje unieruchomiona przy użyciu uchwytów nakładanych na uszy i nos.
Tomografia wiązki stożkowej (badanie CBCT) idealnie nadaje się do uzyskania trójwymiarowego obrazu tkanek miękkich i struktur kostnych, stawów skroniowo-żuchwowych, zatok oraz innych struktur w obrębie twarzoczaszki. Widoczne są wszystkie struktury anatomiczne pod dowolnym kątem, bez zniekształceń. W przeciwieństwie do tomografów szpitalnych badanie to wymaga tylko jednego obrotu źródła promieniowania wokół pacjenta, co skutkuje krótszym czasem badania i mniejszą dawką promieniowania. Otrzymany obraz 3D jest precyzyjny i pomaga zmniejszyć ilość powikłań podczas leczenia.
- Tomografia stożkowa CBCT 3D bywa niezbędna w diagnostyce stomatologicznej przy planowaniu złożonych procedur chirurgicznych wymagających precyzyjnego zobrazowania anatomii strefy operowanej:
– ekstrakcje zębów zatrzymanych, urazy, złamania, pęknięcia kostne
– w implantologii określenie wymiarów wyrostka zębodołowego przed planowym zabiegiem umieszczenia implantu
– w endodoncji określenie oboczności anatomicznych zębów przeznaczonych do leczenia kanałowego
– w ortodoncji i ortognatyce przed analizą cefalometryczną w trójwymiarze – do precyzyjnego planowania zabiegów ortognatycznych
Drukarka 3D to nowoczesny i innowacyjny przyrząd do drukowania modeli przestrzennych w zadanej skali. Jej działanie polega na nanoszeniu warstwami specjalnego filamentu, który następnie jest utwardzany za pomocą światła lub wiązką laserową. Druk możliwy jest dzięki odpowiedniemu programowi, który przetwarza standardowe pliki z tomografu komputerowego i buduje cyfrowy model przestrzenny czytelny dla drukarki, która z kolei drukuje bryłę, odwzorowując nawet najdrobniejsze detale zeskanowanego obiektu. Precyzyjnie tworzy np. łuki zębowe, nakładki ortodontyczne, szablony chirurgiczne i inne akcesoria.
