ENDODONCJA - leczenie ratujące ząb przed ekstrakcją

Endodoncja to dział szeroko rozumianej stomatologii zachowawczej, zajmujący się rozpoznawaniem i leczeniem chorób miazgi zęba i zmian okołowierzchołkowych. Potoczna nazwa to leczenie kanałowe, czyli metoda leczenia nieodwracalnych zapaleń miazgi zęba (tkanki łącznej, bogato unerwionej i unaczynionej). Polega ono na usunięciu chorobowo zmienionej miazgi z komory i kanałów zęba, zdezynfekowaniu i poszerzeniu ich oraz wypełnieniu odpowiednim materiałem, stanowiącym barierę przed wniknięciem bakterii i zabezpieczającym przed ponowną infekcją.

MIAZGA ZĘBOWA

Zęby wraz z ich twardymi tkankami, oprócz pełnienia oczywistej dla wszystkich funkcji rozdrabniania pokarmu, ochraniają także usytuowane w kanale korzeniowym nerwy i naczynia krwionośne, czyli miazgę zębową.

 

PATOMECHANIZM ZAPALENIA MIAZGI ZĘBOWEJ

W wyniku próchnicy, czyli infekcji twardych tkanek zęba, do struktury miazgi mogą przedostać się drobnoustroje powodujące jej stan zapalny. Oprócz infekcji bakteryjnych przyczyną zapalenia mogą być również czynniki mechaniczne, chemiczne lub termiczne.

 

Postępujący stan zapalny miazgi powoduje jej martwicę, nieleczony może rozprzestrzenić się na kość i pozostałe tkanki wokół wierzchołka korzenia zęba, wywołując stan zapalny okołowierzchołkowy.

 

GŁÓWNE DOLEGLIWOŚCI WYNIKAJĄCE Z ZAPALENIA MIAZGI ZĘBOWEJ

Pierwszym objawem zapalenia miazgi jest tkliwość zęba lub jego ból, który wymaga stosownej diagnostyki i natychmiastowego leczenia. Dolegliwości bólowe bywają oznaką ostrego lub podostrego procesu zapalnego dotyczącego miazgi, który ma charakter pierwotny.

W zależności od stopnia zapalenia miazgi ból może być wyzwalany dotykiem zęba lub może istnieć niezależnie od bodźców, które go mechanicznie wywołują. Może być wobec tego zjawiskiem prowokowanym lub procesem samoistnym. Jest różnie opisywany przez pacjentów – jako uczucie „wysadzania zęba z zębodołu”, ból pulsujący, promieniujący, któremu może towarzyszyć rozchwianie zęba. Do objawów miejscowych mogą się dołączyć objawy ogólne, jak złe samopoczucie, podwyższona temperatura ciała, powiększenie węzłów chłonnych podbródkowych, podżuchwowych, szyjnych lub innych w zależności od lokalizacji zęba przyczynowego. Ból samoistny może się potęgować pod wpływem ciepła, np. podczas spożywania ciepłych posiłków czy napojów.

Stan zapalny miazgi często nie jest sygnalizowany bólem, ponieważ proces zapalny ma charakter przewlekły i bezobjawowy. W takich sytuacjach problem w postaci chorego zęba najczęściej odkrywamy podczas rutynowego badania rtg. lub w trakcie badania jamy ustnej, gdy stwierdzamy przebarwienie korony zęba niespowodowane innymi przyczynami.

ZAPALENIE OKOŁOWIERZCHOŁKOWE

Wyjaśnienie istoty zapalenia tkanek okołowierzchołkowych wymaga przedstawienia ich anatomicznej lokalizacji. Tkanki okołowierzchołkowe to wszystkie struktury tkankowe, które otaczają wierzchołek korzenia zęba, umiejscowionego w zębodole, czyli naturalnym zagłębieniu w kości szczęki lub żuchwy.

Końcowa część korzenia, najwęższa i najbardziej oddalona od korony, to wierzchołek korzenia, przez który do kanału korzeniowego wnikają naczynia i nerwy. Następnie od wierzchołka przez całą długość korzenia biegną one do komory, gdzie tworzą miazgę zębową, która stanowi żywą strukturę zęba. Stany zapalne miazgi zęba, jako efekt próchnicy twardych tkanek, przenikają do okolicy i tkanek okołowierzchołkowych poprzez kanały zębowe.

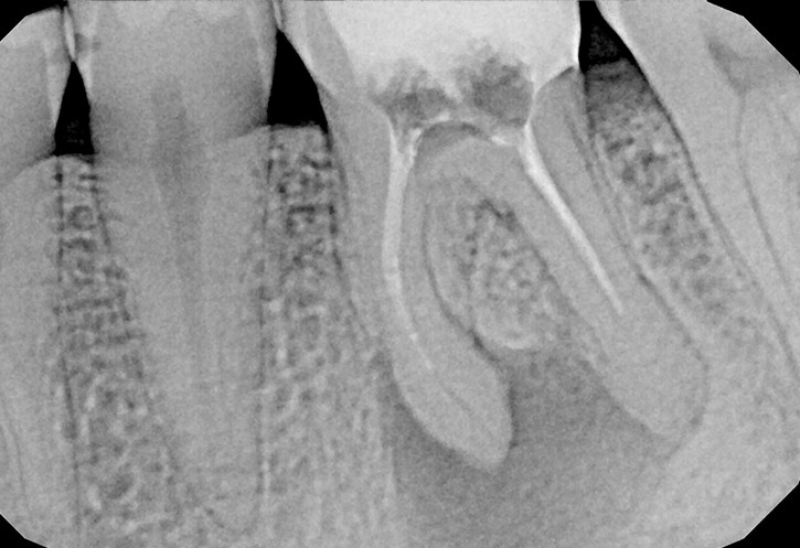
Przewlekły i bezobjawowy proces zapalny miazgi może być przyczyną chorób tkanek okołowierzchołkowych zęba. Choroby tych tkanek mogą mieć charakter niewielkich ziarniniaków, ale również rozległych torbieli zapalnych.

CHOROBY TKANEK OKOŁOWIERZCHOŁKOWYCH ZĘBA MOGĄ MIEĆ CHARAKTER NIEWIELKICH ZIARNINIAKÓW, ALE RÓWNIEŻ ROZLEGŁYCH TORBIELI ZAPALNYCH

DIAGNOSTYKA ZAPALENIA MIAZGI ORAZ TKANEK OKOŁOWIErzCHOŁKOWYCH zĘBA

Pierwotne zapalenie miazgi diagnozujemy na podstawie objawów prezentowanych w trakcie badania klinicznego na fotelu oraz ich opisu przedstawianego przez pacjenta podczas zbierania wywiadu. Badanie rtg. nie jest przydatne ze względu na brak objawów radiologicznych w pierwszej fazie stanu zapalnego miazgi.

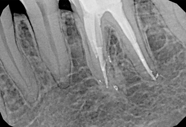
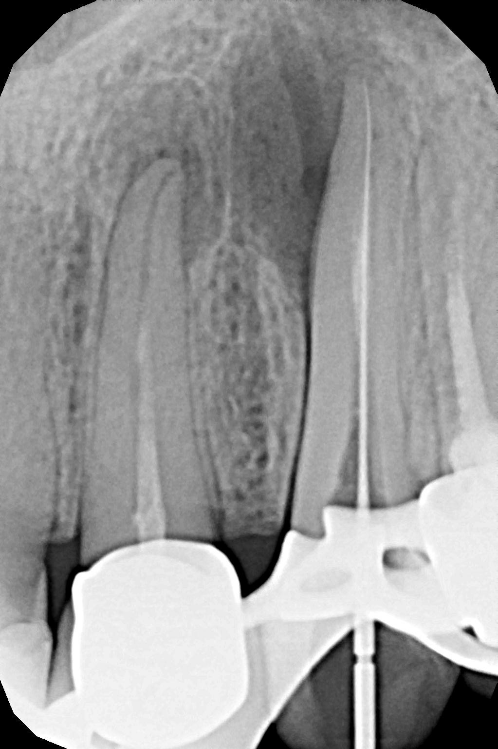
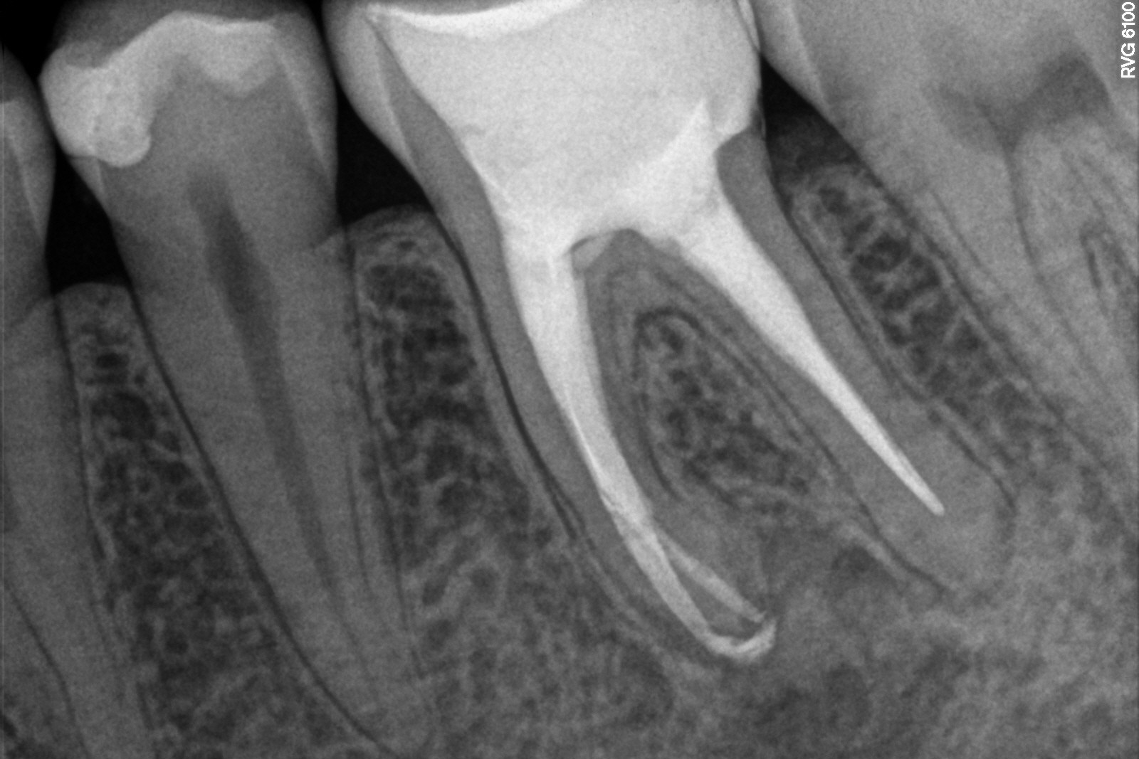
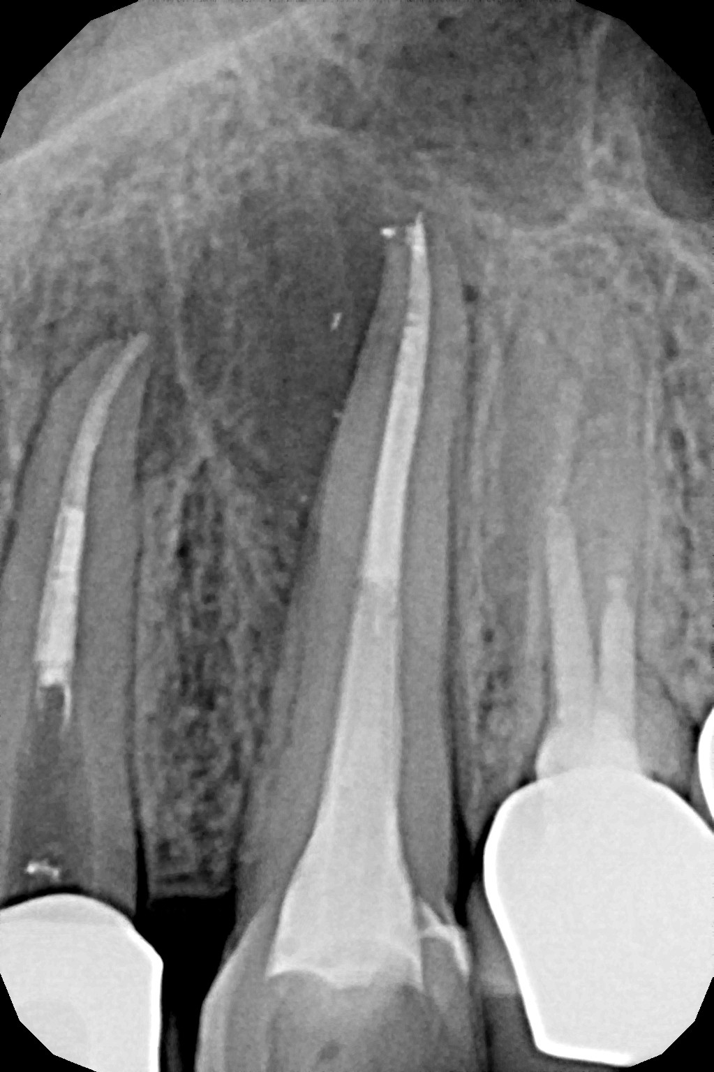
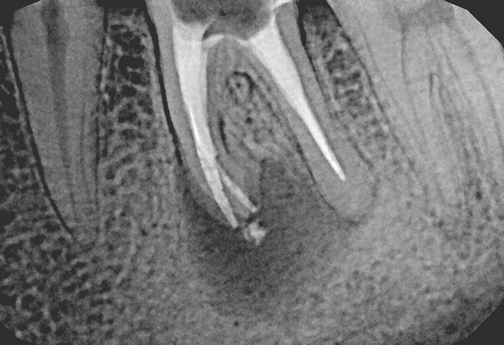
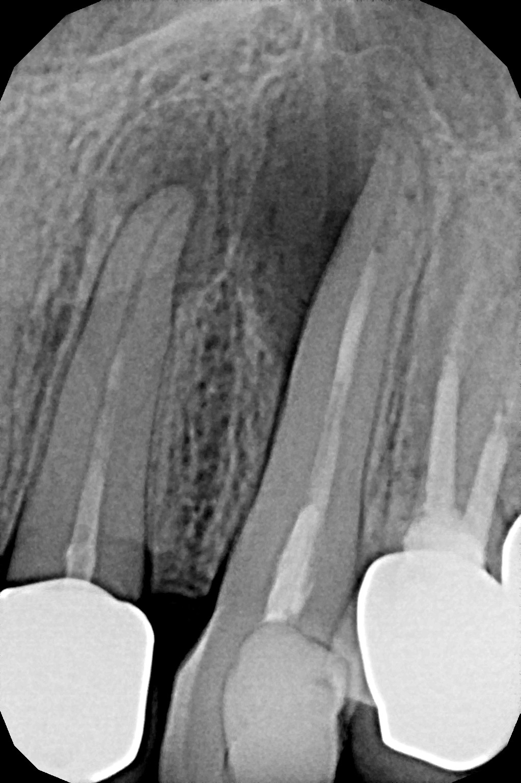
W przypadku zaawansowanych postaci zapaleń miazgi oraz zapalenia tkanek okołowierzchołkowych obraz radiologiczny jest warunkiem rozpoznania. W takiej sytuacji standardem diagnostycznym są zdjęcia przylegające zęba, często wykonywane przy użyciu radiowizjografii na fotelu stomatologicznym w trakcie leczenia zęba. Przydatne jest również badanie RTG OPG pantomograficzne, które pokazuje w dwuwymiarowym obrazie zarówno uzębienie, jak i cały układ kostny szczęki oraz żuchwy.

Stożkowa tomografia komputerowa CBCT, ze względu na dokładne, trójwymiarowe obrazowanie 3D, bez zniekształceń ukazuje szczegóły anatomii zęba oraz okolicznych tkanek, wyjaśniając nierzadko problemy niemożliwe do zdiagnozowania standardowymi metodami.

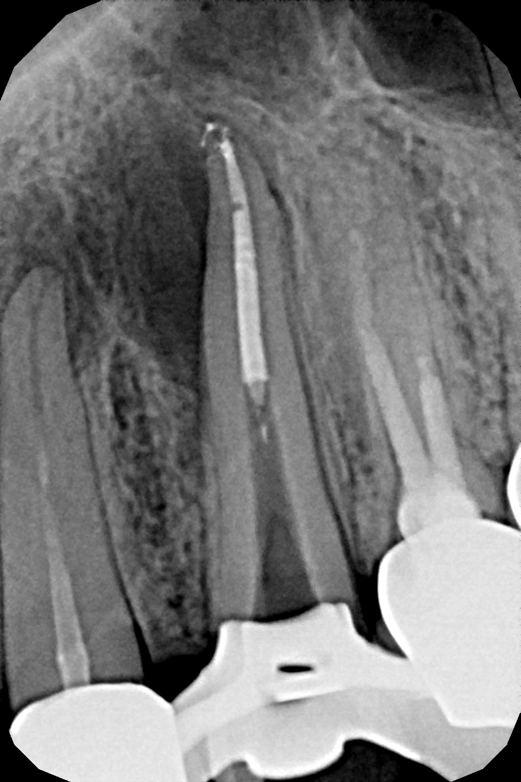
Podstawowym narzędziem diagnostycznym podczas leczenia jest endometr, elektroniczny miernik długości kanału, którym w trakcie procedury wykonuje się pomiary oraz potwierdza stopień drożności kanału.

Wskazania do leczenia endodontycznego

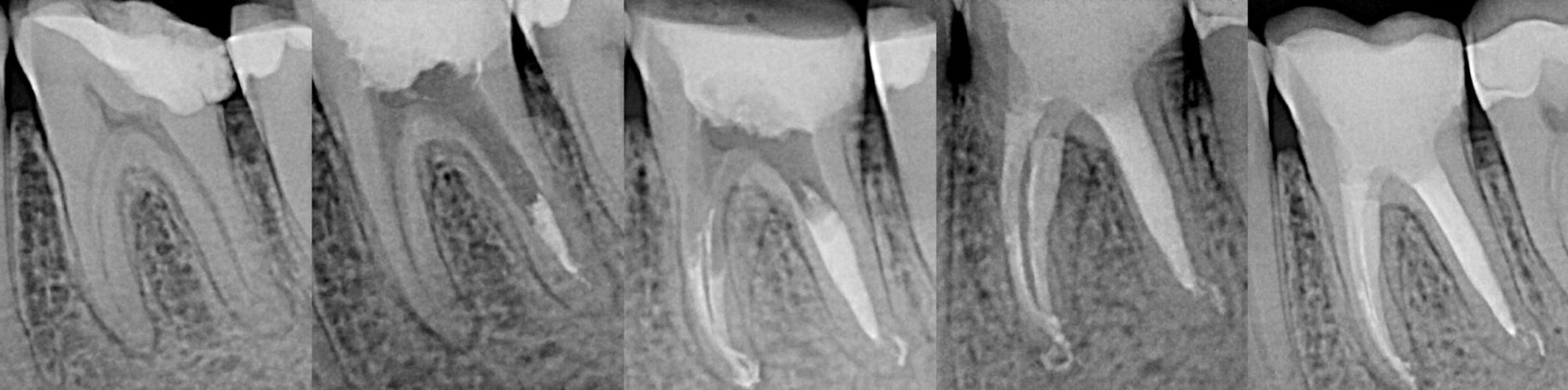
TECHNIKA LECZENIA KANAŁOWEGO ZĘBA

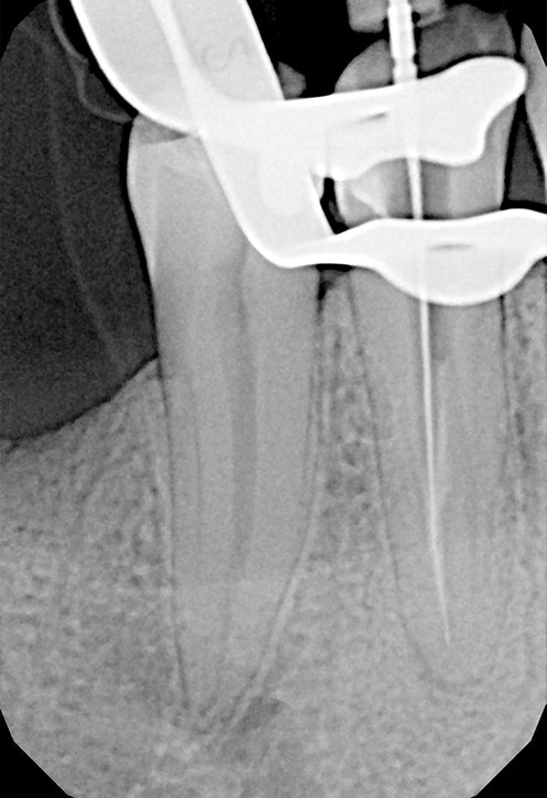
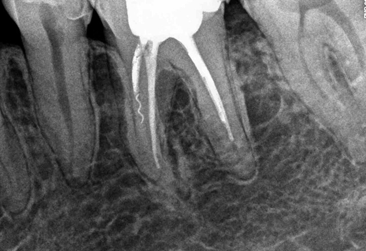
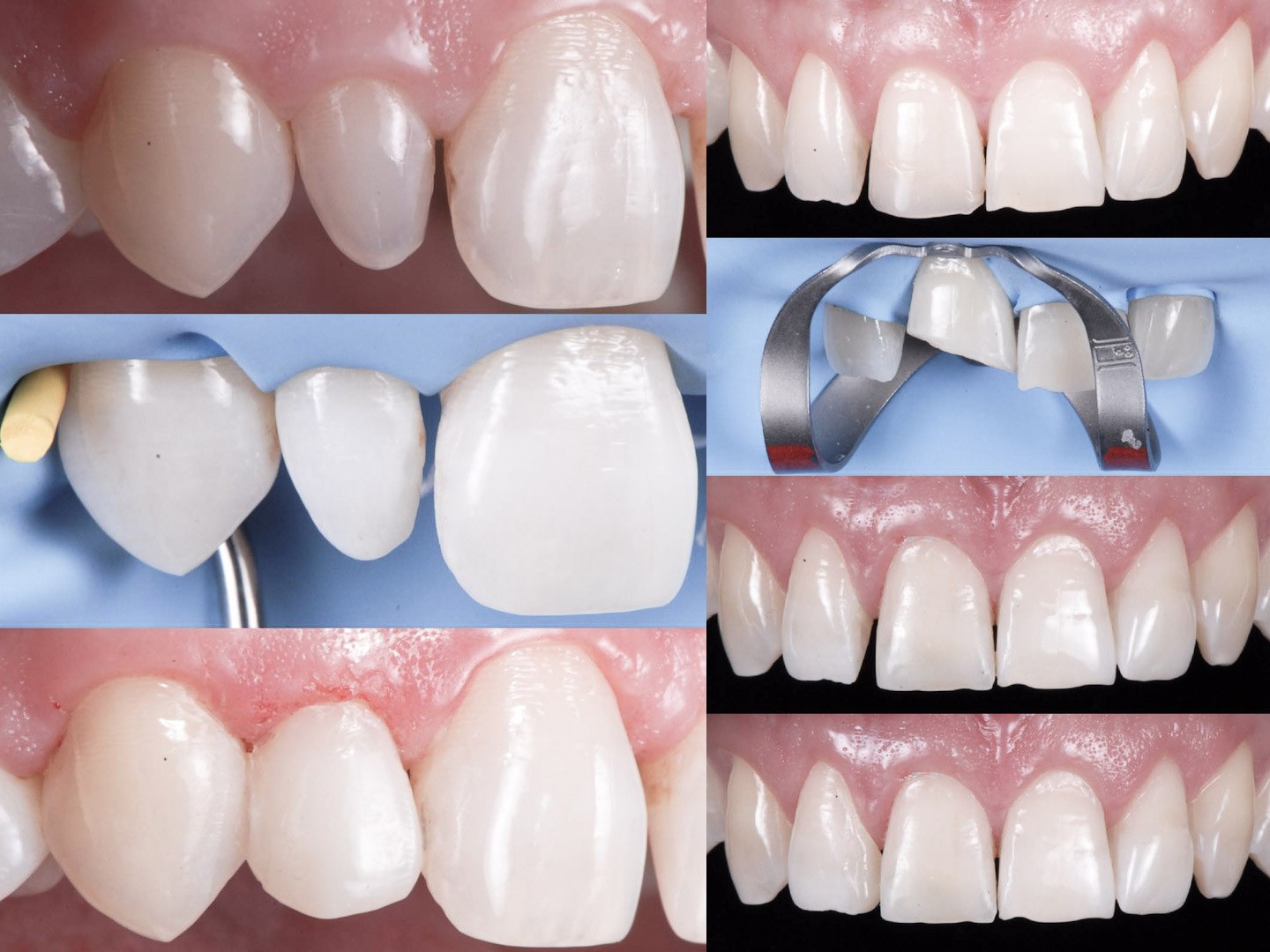
Na podstawie zdjęcia rentgenowskiego określa się kształt i długość kanału bądź za pomocą specjalnego urządzenia mierzy się jego długość. Potem lekarz otwiera wejścia do kanału, chroniąc ząb koferdamem, czyli specjalną gumą, zapewniającą sterylność oraz chroniącą przed środkami chemicznymi służącymi do oczyszczania kanału. Używa się do tego zarówno specjalistycznego sprzętu, jak i nowoczesnych mikroskopów, pozwalających na uzyskanie dokładnego obrazu leczonego zęba. Ostatnią czynnością jest wypełnienie materiałem światłoutwardzalnym i zabezpieczenie zęba przed dostaniem się i rozwojem bakterii mogących wywołać wtórny stan zapalny.

Zarówno ziarniniak okołowierzchołkowy, jak i torbiel zębopochodna uszkadzają struktury okolicznej tkanki kostnej. Podobny proces jeszcze do niedawna był książkowym wskazaniem do interwencji chirurgicznej (resekcja wierzchołka korzenia, hemisekcja korzenia zęba wielokorzeniowego) lub nawet usunięcia zęba.

Przy obecnym stanie wiedzy praktycznej wynikającej z doświadczeń pokoleń lekarzy oraz szerokim dostępie do nowoczesnej, specjalistycznej aparatury medycznej, metody terapii stały się mniej inwazyjne, bardziej przewidywalne, mniej radykalne i z założenia prowadzą do zachowania zęba w jamie ustnej.

Leczenie endodontyczne nie jest – wbrew częstemu przekonaniu – proste i niesie ze sobą dość wysokie ryzyko niepowodzenia. Wynika to z faktu, że wykonywane jest w przypadku poważnie zniszczonych zębów. Dentyści decydują się na takie leczenie, gdy istnieje prawdopodobieństwo uratowania zęba, ale pacjent musi się liczyć z ryzykiem wystąpienia powikłań.

LECZENIE POWIKŁAŃ W ENDODONCJI

By uniknąć niedokładności leczenia, oprócz sumiennego wykonania procedur należy diagnostycznie kontrolować każdy etap leczniczy przy użyciu rtg. Szansą dla niedokładnie wypełnionego kanałowo zęba jest jego powtórne leczenie endodontyczne, zwane REENDO.

LECZENIE ENDODONTYCZNE ZE SKOMPLIKOWANĄ ANATOMIĄ ZĘBA

Nowoczesne narzędzia poprawiające precyzję leczenia endodontycznego

PRECYZYJNE ZESTAWY NARZĘDZI DO OPRACOWYWANIA I WYPEŁNIANIA KANAŁÓW KORZENIOWYCH 

Zestawy ręcznych oraz maszynowych poszerzaczy kanałowych, mikrosilnik X-Smart o optymalnych zakresach kontroli momentu obrotowego do pracy w kanałach korzeniowych zębów, precyzyjne końcówki do opracowywania kanałów przy użyciu aparatury ultradźwiękowej. Oprzyrządowanie do uplastyczniania i wypełniania kanałów materiałem termoplastycznym. System do plastyfikacji gutaperki, stosowany w metodzie kondensacji bocznej, SUPERENDO BETA

PRZYRZĄDY OPTYCZNE

Mikroskop stomatologiczny, czyli operacyjny wykorzystywany w stomatologii – umożliwia odnalezienie kanałów korzeniowych, pozwala zajrzeć do ich wnętrza, ocenić ich rozmiar i kształt. Istotny w ocenie ewentualnych uszkodzeń ścian korzenia, przydatny szczególnie w obszarach trudno dostępnych dla endodonty, jak wielokorzeniowe zęby boczne.

Lupy to niewielkie i wygodne w użyciu przyrządy pozwalające stomatologom oraz endodontom na precyzyjną pracę okiem uzbrojonym.

PRZYRZĄDY DIAGNOSTYCZNE

Endometr – elektroniczny przyrząd do precyzyjnego pomiaru długości kanału, RAYPEX 5. Oprzyrządowanie diagnostyczne do diagnostyki obrazowej:

Radiowizjografia przyfotelowa STERN WEBER

APARAT CS 8100 SC 3 D wykonujący projekcje w stożkowej tomografii komputerowej CBCT oraz rtg OPG pantomograficzne szczęk

APARAT CS 2100 wewnątrzustny aparat rtg. dający możliwość wykonania zdjęć punktowych zębów oraz projekcji zgryzowych, skrzydłowo-zgryzowych istotnych w diagnostyce endodontycznej

NARZĘDZIA POMOCNICZE

Koferdam, gumowa bariera w formie membrany izolującej leczony ząb od dostępu śliny, poprawiająca higienę pracy i bezpieczeństwo leczenia. Aparat The Wand do precyzyjnego i bezbolesnego znieczulenia miejscowego.

FAQ - ENDODONCJA LECZENIE KANAŁOWE

WITKOWSKI-IKONY-28

Zabieg przeprowadzany jest w znieczuleniu miejscowym, dlatego pacjent nie powinien odczuwać dolegliwości bólowych. Istnieje możliwość precyzyjnego znieczulenia komputerowego aparatem The Wand, który proces znieczulenia miejscowego czyni również bezbolesnym.

Dzięki ciągle rozwijającej się technologii proces leczenia kanałowego został znacznie usprawniony. Zastosowanie mikroskopu oraz nowej generacji osprzętu endometrycznego zdecydowanie poprawiło precyzję leczenia. Nowoczesne ręczne i maszynowe narzędzia kanałowe oraz usprawnione techniki opracowywania i wypełniania kanałów zdecydowanie przyspieszyły pracę lekarza i poprawiły docelowe efekty leczenia. Często leczenie przeprowadza się już w czasie jednej wizyty. 

Główną korzyścią prawidłowo przeprowadzonego leczenia kanałowego jest możliwość zachowania zęba i przywrócenia mu mechanicznej funkcji w jamie ustnej. Prawidłowo udrożnione i poszerzone kanały zęba, które następnie są zdezynfekowane i szczelnie wypełnione, chronią go przed ponownym wnikaniem do nich chorobotwórczych bakterii, powodujących stany zapalne. 

Prawidłowo przeprowadzone leczenie kanałowe w wielu przypadkach gwarantuje długotrwałe utrzymanie zęba wraz z jego funkcją. Warunkiem tego jest zachowanie prawidłowej higieny jamy ustnej, dobrej kondycji organizmu oraz regularne wizyty profilaktyczne u stomatologa. By mieć całkowitą pewność uzyskanego efektu leczenia, wymagana jest okresowa kontrola radiologiczna zębów leczonych endodontycznie. 

Najczęstsze przyczyny utrudnień lub niepowodzenia leczenia to pozostawione w kanałach zębów złamane narzędzia endodontyczne po uprzednim leczeniu, obliteracja, czyli bardzo słaba drożność kanałów korzeniowych lub wręcz jej brak, do której dochodzi na skutek przewlekłych stanów zapalnych miazgi, czy wreszcie niestandardowa anatomia zęba. 

Leczenie kanałowe zęba pod mikroskopem daje lepszy wgląd w pole zabiegowe podczas odnajdywania i udrażniania kanałów korzeniowych oraz ich poszerzania i precyzyjnego wypełniania. Powiększony obraz ułatwia i przyspiesza pracę szczególnie przy niestandardowej anatomii zęba. 

Leczenie pod mikroskopem nie różni się znacząco od standardowych technik. Pacjent zawsze pozostaje w pozycji leżącej i jest zaopatrzony koferdamem. Koferdam to gumowa ochrona zabezpieczająca pacjenta przed połykaniem drażniących płynów dezynfekujących kanały korzeniowe. Chroni również kanał korzeniowy przed wtórnym infekowaniem ich śliną. Powiększony obraz uzyskany w optyce mikroskopu poprawia precyzję i przyspiesza pracę endodoncie.

Konieczność powtórnego leczenia endodontycznego może zaistnieć w sytuacji, gdy kanały zęba nie zostały wypełnione do ich anatomicznego wierzchołka lub w trakcie leczenia doszło do złamania i pozostawienia ułamanego narzędzia w świetle kanału korzeniowego. O konieczności powtórnego leczenia endodontycznego może również zadecydować zmiana zapalna przy wierzchołku korzenia, która jest widoczna jedynie na obrazie kontrolnego zdjęcia rtg.

Leczenie kanałowe zęba „martwego” nie różni się szczególnie od leczenia zęba „żywego”. Zabieg jest z reguły bezbolesny, ponieważ ząb pozbawiony jest reakcji bólowej ze strony ukrwionej i unerwionej tkanki – miazgi, znajdującej się w jego komorze i kanałach. Dla poprawy komfortu pacjenta oraz pracy można znieczulić jedynie dziąsło z uwagi na manipulacje przy zakładaniu klamry koferdamu.

Prawidłowo wyleczony endodontycznie ząb z powodzeniem może służyć przez wiele lat życia pacjenta. Poprawa jego funkcji możliwa jest dzięki skutecznej odbudowie protetycznej, poprzez wzmocnienie go wkładami koronowo-korzeniowymi z włókna szklanego i wykonanie korony protetycznej. 

W przypadku zabezpieczenia zęba wypełnieniem tymczasowym opatrunkiem nie można spożywać posiłków do momentu związania materiału, czyli około 2 godzin. Po każdym leczeniu posiłek można spożyć dopiero wtedy, gdy całkowicie minie znieczulenie miejscowe.

Współczesne metody lecznicze, nowoczesny sprzęt i procedury wykonywane przez odpowiednio przeszkolonych i doświadczonych lekarzy minimalizują ryzyko powikłań.

Jest wiele czynników utrudniających leczenie kanałowe, jednak nowa, ciągle rozwijająca się technologia, nowoczesny sprzęt i podnoszone kwalifikacje stomatologów minimalizują ryzyko niepowodzeń. 

Zawsze warto. Nawet najlepsze rozwiązania protetyczne nie są w stanie zastąpić funkcjonalności własnych naturalnych zębów.

KONTAKT

WIĘCEJ INFORMACJI

SZYBKI EMIAL

© 2017 STOMATOLOGIA ESTETYCZNA IMPLANTOLOGIA DR RADOSŁAW WITKOWSKI Wszystkie prawa zastrzeżone