KOMPLEKSOWE ROZWIĄZANIA IMPLANTOPROTETYCZNE STOSOWANE W BEZZĘBIU
Miejscowe przyczyny utraty tkanki kostnej szczęk i żuchwy:
- Przedwczesna utrata zębów
- Użytkowanie całkowitych protez płytowych osiadających na podłożu protetycznym
- Brak zastosowania implantów w projekcie rehabilitacji protetycznej bezzębia, które wiernie imitują fizjologiczne obciążenie kości zbliżone do naturalnych warunków z uzębieniem i zapobiegają resorpcji kostnej
Współistniejące przyczyny i okoliczności utraty tkanki kostnej po usunięciu zębów:
- Choroba przyzębia
- Rozległe zębopochodne procesy zapalne powodujące uszkodzenie kości, np. torbiel korzeniowa
- Urazy jamy ustnej, w wyniku których dochodzi do nagłej utraty zębów oraz uszkodzenia podłoża kostnego
- Urazy jamy ustnej, w wyniku których dochodzi do nagłej utraty zębów oraz uszkodzenia podłoża kostnego
- Zabiegi chirurgiczne dotyczące tkanki kostnej szczęk lub żuchwy, w tym skomplikowane ekstrakcje
ROZWIĄZANIA PROTETYCZNE ORAZ IMPLANTOPROTETYCZNE DLA BEZZĘBIA
Protezy ruchome, całkowite, osiadające, płytowe
Zawsze przy bezzębiu istnieje możliwość rehabilitacji protetycznej bez zastosowania implantów, czyli przy użyciu protezy płytowej, zwanej też osiadającą. Protezy te składają się z zębów i stabilizujących ją na podłożu protetycznym płyt (stąd nazwa płytowe) oraz elementu w kształcie siodła spoczywającego na części zębodołowej szczęk lub żuchwy. Protezy te, osiadając na podłożu, powodują równomierny jego ucisk, a przez to zaburzenia w ukrwieniu tkanek, co z kolei powoduje nieodwracalny zanik kości.
Protezy Overdenture, czyli nakładowe
Są pośrednim rozwiązaniem pomiędzy ruchomymi protezami osiadającymi a na stałe montowanymi na implantach mostami. To również ruchome protezy o zredukowanej płycie, których zasada działania polega na tym, że są częściowo wsparte na implantach.
Zazwyczaj umocowuje je do podłoża od 2 do 4 wszczepionych implantów, dla których optymalną pozycją jest przednia część wyrostka zębodołowego szczęk lub żuchwy.
Za stabilizację pomiędzy płytą protezy nakładowej a wszczepami odpowiedzialne są różnego typu odpowiadające sobie elementy retencyjne. Z jednej strony przytwierdzone są do szyjek implantów, z drugiej – do płyty protezy Overdenture.
Ze względu na rodzaj zastosowanych elementów zaczepowych istnieje kilka sposobów stabilizacji protez na implantach:
- locator – w formie klipsów z silikonową wyściółką
- zaczepy kulkowe
- różnego typu belki Doldera
- połączenia koniczne, czyli stożkowe
- połączenia teleskopowe
- połączenia magnetyczne
- mieszane, które łączą działanie kilku stabilizatorów użytych jednocześnie dla ustabilizowania protezy nakładowej.
Dla umocowania protez Overdenture można użyć każdego typu implantów, dopasowując do nich standardowe elementy zaczepowe dla protez lub wykonać indywidualne w laboratorium. Istnieją także rozwiązania systemowe, które uwzględniają zastosowanie specjalnych implantów przeznaczonych tylko dla podparcia protez ruchomych. Tego typu implanty nie mogą być opcjonalnie wykorzystywane jako filary dla mostów mocowanych na stałe w przypadku zmiany koncepcji protetycznej, która polega na wprowadzeniu dodatkowej i wymaganej ilości wszczepów dla przykręcenia do nich stabilnych prac protetycznych.
Zaletą rozwiązań systemowych dla protez Overdenture jest cena oraz pełna kompatybilność implantów i uzupełnień protetycznych, które są stworzone i przeznaczone dokładnie dla siebie.
Używany w naszej klinice system LODI stanowi doskonałą opcję protez nakładowych, które możliwe są do wykonania w systemie odroczonym, czyli po okresie integracji implantów w kości, tj. po upływie od 4 do 6 miesięcy, lub możliwe jest natychmiastowe obciążenie wszczepów protezą nakładową w dniu implantacji.
Mosty montowane na stałe na implantach
Istnieje cały szereg koncepcji, które przy użyciu implantów rozwiązują problem rehabilitacji implantoprotetycznej bezzębia. Rodzaj zastosowanej procedury, wynikająca z niej ilość użytych implantów uzależnione są przede wszystkim od:
- warunków anatomicznych podłoża kostnego górnego, jak i dolnego łuku zębowego
- warunków anatomicznych podłoża kostnego górnego, jak i dolnego łuku zębowego
- stopnia zaniku podłoża kostnego, który jest opisany skalą
- oczekiwań pacjenta
- możliwości finansowych pacjenta
Przy bezzębiu dotyczącym górnego, jak i dolnego łuku statystycznie najszybciej zanika kość w bocznych strefach, najpóźniej – w odcinku przednim.
Zakres zaniku kości dyktuje zastosowanie konkretnego typu implantów oraz technik odbudowy kostnej. Rodzaj oraz ilość użytych wszczepów i metody regeneracji podłoża kostnego zależne są od tego, czy stosujemy je dla górnego czy dolnego łuku zębowego. Wynika to z różnic, jakie istnieją w budowie anatomicznej pomiędzy szczęką a żuchwą.
Technologia konstrukcji mostów protetycznych uzależniona jest z kolei od ilości i rodzaju implantów użytych jako fundamentu dla planowanych uzupełnień protetycznych.
ROZWIĄZANIA IMPLANTOPROTETYCZNE STOSOWANE DLA GÓRNEGO ŁUKU ZĘBOWEGO – SZCZĘK W PRZYPADKU BEZZĘBIA
TECHNIKI I METODY REKONSTRUKCJI KOSTNEJ CHARAKTERYSTYCZNE DLA GÓRNEGO ŁUKU ZĘBOWEGO STOSOWANE PRZY BEZZĘBIU W CELU WYKONANIA SKUTECZNEJ IMPLANTACJI
- Podniesienie dna zatoki szczękowej techniką zamkniętą lub otwartą dla odcinków bocznych szczęk
- Podniesienie dna przewodu nosowego – zabieg umożliwiający wszczepienie implantów w przednim odcinku wyrostka zębodołowego szczęk
- Odbudowa trójwymiarowych ubytków kostnych przy użyciu membran PTFE Gore UCLA
- Standardowe kostne techniki regeneracyjne GBR umożliwiające skuteczne wszczepienie implantów korzeniowych o długości przynajmniej 10 mm
- Precyzyjna rekonstrukcja trójwymiarowych ubytków kostnych przy użyciu indywidualnie drukowanych siatek tytanowych
- Zabiegi dystrakcji wyrostka zębodołowego szczęk (czytaj więcej)
TECHNIKI I METODY CHIRURGICZNE UMOŻLIWIAJĄCE OGRANICZENIE ZASTOSOWANIA ZABIEGÓW REKONSTRUKCJI KOSTNEJ PRZY PLANOWANEJ IMPLANTACJI W GÓRNYM ŁUKU ZĘBOWYM
- Zastosowanie krótkich implantów, o długości poniżej 10 mm; dostosowanie wymiarów implantów do warunków i zakresu zaniku kości pozwala na ominięcie złożonych zabiegów typu sinus lift w odcinkach bocznych szczęk, co upraszcza i przyspiesza całą procedurę od implantacji po montaż koron
- Wszczepianie implantów pod odpowiednim kątem, aby uniknąć uszkodzenia obszaru nosa i zatok – technika all-on-4
- Zastosowanie implantów Zygoma stabilizowanych w kości jarzmowej i szczęce
- Zastosowanie implantów skrzydłowych wszczepianych w wyrostek skrzydłowaty kości klinowej, który znajduje się za szczęką
- System wytwarzanych indywidualnie podokostnowych implantów dla zanikłych kości szczęk Additively Manufactured Sub-Periosteal Jaw Implants NCBI Prof. Mourice Mommearts
- Zastosowanie implantów REX, wszczepianych przy użyciu technologii Piezosurgery
- Zastosowanie indywidualnie projektowanych i drukowanych implantów podokostnowych
- Dobór odpowiednich metod nawigacyjnych, pozwalających na ocenę warunków kostnych przy implantacji w celu uniknięcia kolizji z istotnymi elementami anatomii szczęk
ALL-ON-4


TECHNIKI I PROCEDURY IMPLANTOLOGICZNE STOSOWANE W PRZYPADKU BEZZĘBIA W OBECNOŚCI TRUDNYCH WARUNKÓW KOSTNYCH W ZAKRESIE GÓRNEGO ŁUKU ZĘBOWEGO
- ALL-ON-4 to sprawdzona i przewidywalna metoda odbudowy uzębienia na implantach dla bezzębnych pacjentów. To opatentowany system rehabilitacji opartej na 4 wszczepionych implantach, gdzie 2 środkowe są wprowadzone równolegle, 2 skrajne – skośnie, pod kątem 45 stopni.
Zalety ALL-ON-4:
- Stwarza możliwość wykonania całkowitej rekonstrukcji uzębienia tylko na 4 implantach.
- Pozwala na uniknięcie obciążających zabiegów rekonstrukcji kostnej.
- Skraca czas pełnej rehabilitacji implantoprotetycznej w porównaniu ze standardowymi procedurami, uwzględniającymi zastosowanie implantów osteointegrujących.
- Poprzez użycie pochylonych implantów w odcinkach bocznych pozwala uniknąć uszkodzenia ważnych szczegółów anatomii oraz zwiększa powierzchnię przylegania i osteointegracji implantów z kością.
- Rozwiązania protetyczne w systemie all-on-4 uwzględniają możliwość wykonania stałych prac protetycznych, czyli mostów zamocowanych na stałe, jak również protez ruchomych wspartych jedynie na implantach.
- System umożliwia natychmiastowe obciążenie implantów tymczasowym mostem protetycznym zaraz po założeniu implantów.
- Możliwe jest zastosowanie systemu nawigacji komputerowej NobelGuide celem precyzyjnego zaplanowania pozycji implantów jeszcze przed zabiegiem chirurgicznym. Dzięki użyciu specjalnych szablonów chirurgicznych możliwa jest implantacja w optymalnych pozycjach, które uwzględniają budowę i niedostatki kości.
- Naukowo udokumentowana skuteczność stosowanej metody.




ROZWIĄZANIA PROTETYCZNE DLA ALL-ON-4
Na implantach wszczepionych zgodnie z protokołem all-on-4 możliwe są do wykonania stabilne mosty, jak również ruchome protezy typu nakładowego. Uproszczenie i optymalizacja rozwiązań protetycznych możliwa jest dzięki zastosowaniu kątowych łączników typu MultiUnit (17°, 30°), które po przykręceniu do pochylonych implantów umożliwiają łatwe mocowanie mostu i obsługę serwisową pacjenta.










- Implantacja równolegle i symetrycznie wszczepionych implantów z maksymalnym wykorzystaniem podłoża kostnego żuchwy. Proponowana ilość implantów to 4, 6, 8, 10 oraz każda inna w zależności od stanu kości oraz projektu uzupełnienia protetycznego. Implantacje często łączone są z procedurami regeneracyjnymi dla kości, które stanowią warunek prawidłowego wgajania wszczepów stomatologicznych.








Zastosowanie nietypowych implantów śródkostnych wykorzystywanych w trudnych sytuacjach rozległych zaników kostnych szczęk.
- System rozwiązań oparty na implantach jarzmowych ZYGOMA To szczególny rodzaj wszczepów śródkostnych, które cechują unikalne wskazania do ich zastosowania, kształt i wymiary oraz niezwykłe możliwości, jakie stwarzają przy rekonstrukcji implantoprotetycznej w ekstremalnie trudnych warunkach kostnych przy bezzębiu.
- Implanty skrzydłowe to metoda, która stanowi wariant rozwiązań implantoprotetycznych w sytuacji trudnych warunków kostnych przy bezzębiu. Po wszczepieniu pomocne są jako podparcie w tylnych i bocznych odcinkach szczęk.
- System implantów podokostnowych NCBI. Szczególny i innowacyjny system implantologiczny, który stanowi alternatywę dla zastosowania implantów Zygoma w sytuacji trudnych warunków kostnych przy bezzębiu szczęk. Przeznaczony jest tylko dla rozwiązań w zakresie górnego łuku zębowego. Metoda opatentowana przez prof. M. Mommeartsa z Kliniki Uniwersyteckiej w Brugge, Belgia.
- Implanty REX, wszczepiane przy użyciu technologii Piezosurgery. Rekomendowane rozwiązanie w sytuacji istnienia wąskiego wyrostka zębodołowego, który uniemożliwia wszczepienie implantu odpowiedniej szerokości.
- Indywidualnie projektowane implanty podokostnowe. Metoda znana od lat czterdziestych ubiegłego wieku. Doczekała się swojego renesansu i stanowi obecnie dopełnienie oferty implantologicznych rozwiązań u pacjentów z zaawansowanymi zanikami kości szczęk.
ROZWIĄZANIA IMPLANTOPROTETYCZNE STOSOWANE DLA DOLNEGO ŁUKU ZĘBOWEGO – ŻUCHWY W PRZYPADKU BEZZĘBIA


- Standardowe techniki regeneracji kostnej GBR umożliwiające skuteczne wszczepienie implantów korzeniowych o długości przynajmniej 10 mm
- Charakterystyczny tylko dla anatomii żuchwy zabieg transpozycji nerwu zębodołowego dolnego IANT; stwarza możliwość wszczepienia implantów w odcinkach bocznych żuchwy w sytuacji rozległych zaników kostnych, które uniemożliwiają skuteczną jej odbudowę przy użyciu standardowych metod
- Odbudowa trójwymiarowych ubytków kostnych przy użyciu membran PTFE Gore UCLA
- Precyzyjna rekonstrukcja trójwymiarowych ubytków kostnych przy użyciu indywidualnie drukowanych siatek tytanowych, stosowana zarówno w odcinkach bocznych, jak i całym układzie kostnym żuchwy
- Zabiegi dystrakcji wyrostka zębodołowego żuchwy










- Użycie krótkich implantów o długości poniżej 10 mm. Ich zastosowanie pozwala ominąć skomplikowane zabiegi odtwórcze dla kości, wykonywane głównie w strefach bocznych trzonów żuchwy, które są konieczne, gdy planujemy użycie wszczepów o standardowych długościach 10 mm i więcej. Pozwala to z kolei uniknąć komplikacji chirurgicznych podczas implantacji, polegających na uszkodzeniu ważnych elementów anatomii, jak duże naczynia krwionośne oraz gałązki nerwowe nerwu zębodołowego dolnego. Użycie tego wariantu, o ile jest możliwe, upraszcza i skraca czas wykonania całej procedury od implantacji po montaż koron.
- Wszczepianie implantów pod odpowiednim kątem, aby uniknąć uszkodzenia istotnych szczegółów anatomii kości żuchwy, jak kanał nerwu zębodołowego oraz otwór bródkowy wraz z przebiegającym w nich nerwem i naczyniami krwionośnymi – technika all-on-4
- Zastosowanie implantów REX, wszczepianych przy użyciu technologii Piezosurgery
- Zastosowanie indywidualnie projektowanych implantów podokostnowych
- Dobór odpowiednich metod nawigacyjnych, pozwalających na ocenę warunków kostnych przy implantacji w celu uniknięcia kolizji z istotnymi elementami anatomii żuchwy










ALL-ON-4





- ALL-ON-4 to sprawdzona i przewidywalna metoda odbudowy uzębienia na implantach dla bezzębnych pacjentów. To opatentowany system rehabilitacji implantoprotetycznej oparty na 4 wszczepionych implantach, gdzie 2 środkowe są wprowadzone równolegle, 2 skrajne – skośnie, pod kątem 45 stopni.
Zalety ALL-ON-4:
- Stwarza możliwość wykonania całkowitej rekonstrukcji uzębienia tylko na 4 implantach.
- Pozwala na uniknięcie obciążających zabiegów rekonstrukcji kostnej.
- Skraca czas pełnej rehabilitacji implantoprotetycznej w porównaniu ze standardowymi procedurami, uwzględniającymi zastosowanie implantów osteointegrujących.
- Poprzez użycie pochylonych implantów w odcinkach bocznych pozwala uniknąć uszkodzenia ważnych szczegółów anatomii oraz zwiększa powierzchnię przylegania i osteointegracji implantów z kością.
- Rozwiązania protetyczne w systemie all-on-4 uwzględniają możliwość wykonania stałych prac protetycznych, czyli mostów zamocowanych na stałe, jak również protez ruchomych wspartych jedynie na implantach.
- System umożliwia natychmiastowe obciążenie implantów tymczasowym mostem protetycznym zaraz po założeniu implantów.
- Możliwe jest zastosowanie systemu nawigacji komputerowej NobelGuide, celem precyzyjnego zaplanowania pozycji implantów jeszcze przed zabiegiem chirurgicznym. Dzięki użyciu specjalnych szablonów chirurgicznych możliwa jest implantacja w optymalnych pozycjach, które uwzględniają budowę i niedostatki kości.
- Naukowo udokumentowana skuteczność stosowanej metody.




ROZWIĄZANIA PROTETYCZNE ALL-ON-4
Na implantach wszczepionych zgodnie z protokołem all-on-4 możliwe są do wykonania stabilne mosty, jak również ruchome protezy typu nakładowego. Uproszczenie i optymalizacja rozwiązań protetycznych możliwa jest dzięki zastosowaniu kątowych łączników typu MultiUnit (17°, 30°), które po przykręceniu do pochylonych implantów umożliwiają łatwe mocowanie mostu i obsługę serwisową pacjenta.
- Implantacja równolegle i symetrycznie wszczepionych implantów z maksymalnym wykorzystaniem podłoża kostnego żuchwy. Proponowana ilość implantów to 4, 6, 8, 10 oraz każda inna w zależności od stanu kości oraz projektu uzupełnienia protetycznego. Implantacje często łączone są z procedurami regeneracyjnymi dla kości, które stanowią warunek prawidłowego wgajania wszczepów stomatologicznych.
- Implanty REX, wszczepiane przy użyciu technologii Piezosurgery. Rekomendowane rozwiązanie w sytuacji istnienia wąskiego wyrostka zębodołowego żuchwy, który uniemożliwia wszczepienie implantu odpowiedniej szerokości.
- Indywidualnie projektowane implanty podokostnowe. Metoda znana od lat czterdziestych ubiegłego wieku. Doczekała się swojego renesansu i stanowi obecnie dopełnienie oferty implantologicznych rozwiązań u pacjentów z zaawansowanymi zanikami kości żuchwy.
NATYCHMIASTOWE OBCIĄŻENIE
Natychmiastowe obciążenie jest to protokół rehabilitacji protetycznej na implantach, polegający na tym, że:
- Pacjent opuszcza gabinet stomatologiczny w dniu zabiegu implantacji z tymczasową w pełni funkcjonalną protezą przykręconą do wprowadzonych wszczepów.
- Jest to alternatywa dla tradycyjnie obciążanych protezami implantów, czyli po okresie pełnej osteointegracji dla implantów: 6 m-cy dla szczęk, 4 m-ce dla żuchwy.
- Dla takich rozwiązań wymagana jest wnikliwa selekcja przypadków, która uwzględnia
- dobry stan ogólny chorego
- nienaganna higiena jamy ustnej
- dobry stan miejscowy uzębienia bez czynnych zębopochodnych ognisk zapalnych
- dobre warunki zgryzowe bez zagrożenia powstaniem przeciążeń w okluzji
- brak stanu zapalnego w miejscach implantacji
- odpowiednia objętość kostna w miejscu implantacji
- odpowiednia jakość kości w miejscu implantacji (gęstość)
- pacjent nieuskarżający się na bruksizm.












W sytuacji osiągnięcia przez pacjenta powyższych kryteriów nie ma przeciwwskazań co do miejsca implantacji. W sytuacji spełnienia jedynie części tych kryteriów wskazane jest odpowiednie przygotowanie pacjenta do procedury natychmiastowego obciążenia.
W trakcie procedury chirurgicznej wobec nieosiągnięcia wymaganych kryteriów stabilizacji pierwotnej implantów wskazana jest zmiana protokołu leczniczego na odroczone obciążenie protetyczne, czyli wykonanie mostów protetycznych po prawidłowym wgojeniu i biologicznym ustabilizowaniu się wszczepionych implantów.
Chirurgiczne kryteria procedury natychmiastowego obciążenia implantów:
- Odpowiednio dobrana technika preparacji podłoża pod implant w zależności od jakości struktury kostnej.
- Pierwotna stabilizacja implantów mierzona przy użyciu dynamometru maszynowego. Przy wprowadzaniu wszczepów powinna być nie mniejsza niż z siłą 35 Ncm.
- Rekomendowana stabilizacja wszczepów mierzona aparatem OSTELL w obiektywnych jednostkach ISQ powinna być > 60. Czytaj więcej...
- Rekomendowane jest użycie odpowiedniego kształtu implantów poprawiających siłę pierwotnej stabilizacji przy ich maszynowym wprowadzaniu.
- Zaleca się używania wszczepów o patentowej powierzchni, poprawiającej proces osteointegracji, czyli strukturalnego i funkcjonalnego połączenia pomiędzy żywą tkanką kostną a powierzchnią obciążonego protetycznie implantu.
- W pierwszej fazie wgajania się implantów niewskazane jest odkręcanie tymczasowego mostu oraz montaż transferów wyciskowych.


FAQ - BEZZĘBIE - LECZENIE IMPLANTOLOGICZNE
Implant to tytanowy element imitujący formą i funkcją korzeń zęba. Stanowi wsparcie dla pracy protetycznej i wspomaga funkcję narządu żucia. Jest doskonałym rozwiązaniem dla pacjentów, którzy stracili pojedynczy ząb, kilka zębów lub są bezzębni.
Nie ma takiej konieczności. Z biologicznego punktu widzenia jest to nawet niewskazane. Regułą i standardem w odbudowie protetycznej uzębienia jest rekonstrukcja górnego, jak i dolnego łuku zębowego od pierwszego trzonowca po stronie prawej do pierwszego zęba trzonowego po stronie lewej. W oparciu o diagnostykę obrazową (OPG, CBCT) standardowo oceniamy jakość i objętość kości oraz planujemy leczenie, bazując na prognozowanej ilości wszczepianych implantów. W zależności od zaplanowanych rozwiązań protetycznych ich ilość zwykle waha się od dwóch do dziesięciu implantów jako fundament dla rekonstrukcji uzębienia górnego lub dolnego łuku zębowego.
– 2–4 implanty niezbędne dla protez Overdenture podpartych jedynie na implantach
– 4 implanty all-on-4 – patentowane rozwiązanie dla stabilnych mostów przykręcanych na charakterystycznie wszczepionych implantach
– 6 do 10 implantów – dla stałych uzupełnień protetycznych – mostów
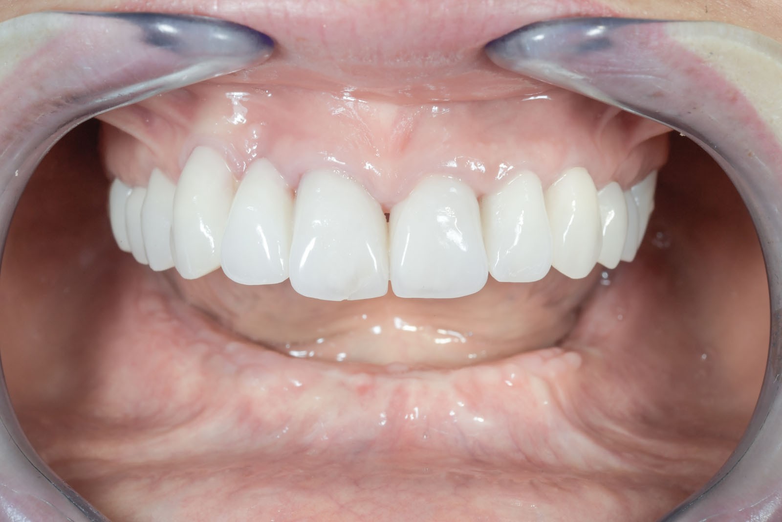
Przy bezzębiu zawsze istnieje możliwość wykonania uzupełnień protetycznych bez zastosowania implantów i są to całkowite protezy osiadające. W zależności od stanu kości szczęk i żuchwy można wykonać protezy lub mosty mocowane na implantach. Mocowanie protez na implantach może być rozłączne, jak w przypadku protez Overdenture, zwanych również nakładowymi. Oznacza to, że proteza w każdej chwili może być odczepiona od platform implantów przez pacjenta i wyjęta z jamy ustnej. Najbardziej jednak pożądane przez pacjentów rozwiązania protetyczne przy bezzębiu to stabilne, niezdejmowalne mosty, które cementuje się lub przykręca na stałe do implantów. One najlepiej imitują estetykę i funkcję naturalnego uzębienia.
Protezy Overdenture (nakładowe) to ruchome uzupełnienia protetyczne, które dla podparcia i stabilizacji w jamie ustnej wykorzystują wszczepione uprzednio implanty. Niezbędna do prawidłowej konstrukcji takiej protezy ilość implantów to 2–4. Zaletą protez Overdenture jest niewątpliwie możliwość redukcji płyty protezy i lepsza jej stabilizacja dzięki elementom retencyjnym przytwierdzonym z jednej strony do implantu, a z drugiej do płyty protezy. Ze względu na rodzaj zastosowanych w nich elementów retencyjnych wyróżnia się zespolenia typu locator, kulkowe, belki Doldera, połączenia teleskopowe, magnesy i mieszane (różne zespolenia).
Ważnymi aspektami zastosowania protez Overdenture jest ich dobra stabilizacja w porównaniu z protezami całkowitymi zakładanymi do jamy ustnej bez wszczepiania implantów oraz zahamowanie procesu resorpcji kości i wyrostka zębodołowego.
Protezy całkowite, zwane osiadającymi, ze względu na to, że leżą równomiernie na podłożu protetycznym, tj. całym podniebieniu oraz części zębodołowej kości szczęk lub żuchwy, czyli tam, gdzie kiedyś były zęby. Utrzymują się stabilnie dzięki dobremu dopasowaniu do podłoża, choć z drugiej strony dobrze dopasowana proteza osiadająca równomiernie uciska poprzez dziąsło całą kość podstawy szczęk. Powoduje to zaburzenia w mikrokrążeniu krwi, co w konsekwencji doprowadza do zaniku kości. Protezy i mosty wsparte na implantach przenoszą siły powstające w procesie żucia przez osie implantów wszczepionych w kość, co najbardziej zbliża ten układ działania do fizjologicznych warunków z uzębieniem, który jest optymalny dla zdrowia i zachowania tkanek. W ten sposób przenoszona siła, o ile ilość implantów jest dobrana właściwie, powoduje wzmocnienie kości, nie zaś jej resorpcję, czyli zanik.
Utrata tkanki kostnej nie dyskwalifikuje pacjenta, przeprowadzenie zabiegu implantacji wciąż jest możliwe, jednak odpowiednia ilość i jakość tej tkanki jest jego bezwzględnym warunkiem. By uprawdopodobnić sukces w tych trudnych przypadkach, możemy posłużyć się zabiegami rekonstrukcyjnymi, przygotowującymi kość do zastosowania implantów, z drugiej zaś strony przy użyciu rozwiązań systemowych w implantologii bezzębia możemy poradzić sobie poprzez zastosowanie szczególnego rodzaju wszczepów lub ich charakterystycznego rozłożenia, wykorzystującego rezerwuar zanikłej kości.
Dla szczęk, czyli łuku górnego, stosujemy:
– charakterystyczne dla anatomii szczęk zabiegi rekonstrukcyjne typu podniesienie dna zatoki szczękowej lub dna nosa oraz pozostałe uniwersalne techniki rekonstrukcyjne umożliwiające wszczepienie implantów zębowych o standardowych rozmiarach
– rozwiązania Overdenture na 2–4 implantach
– krótkie implanty o długości mniejszej niż 10 mm dla stref bocznych
– rozwiązania All-on – 4 All-on – 6
– system rozwiązań oparty na implantach jarzmowych Zygoma
– implanty skrzydłowe jako ewentualne dopełnienie pozostałych rozwiązań
Dla żuchwy, czyli łuku dolnego, stosujemy:
– charakterystyczne dla anatomii żuchwy zabiegi rekonstrukcyjne typu transpozycja nerwu zębodołowego dolnego oraz pozostałe uniwersalne techniki rekonstrukcyjne umożliwiające wszczepienie implantów zębowych o standardowych rozmiarach
– rozwiązania Overdenture na 2–4 implantach
– krótkie implanty o mniejszej długości niż 10 mm dla stref bocznych
– rozwiązania All-on – 4 All-on – 6
Jest to opatentowana metoda rekonstrukcji implanto-protetycznej kompletnego uzębienia stosowana przy bezzębiu zarówno dla dolnego, jak i górnego łuku zębowego. Bazuje na charakterystycznie wszczepionych 4 implantach zębowych, stąd nazwa Wszystko na 4. Dwa środkowe wprowadzane są w kość prostopadle do jej brzegu i równolegle do siebie, dwa boczne wszczepiane są pod kątem 45 stopni. Rozwiązanie protetyczne to most przykręcany na stałe do implantów, który może być zakładany natychmiast po zabiegu implantacji lub w czasie odroczonym. Gwarancją natychmiastowego przywrócenia funkcji żucia jest odpowiednia siła osadzania implantów mierzona dynamometrycznie w trakcie ich wszczepiania oraz należyta staranność wykonania i osadzenia prac protetycznych.
Po ekstrakcji zębów w zakresie górnego łuku zębowego najszybciej zanika kość w strefach bocznych, czyli w okolicy zębów trzonowych, najpóźniej w odcinku przednim, czyli w strefie zębów siecznych.
W zależności od stadium zaniku kostnego mamy różne możliwości implantacji oraz odbudowy kostnej. W ślad za możliwościami implantologicznymi idą rozwiązania protetyczne mniej lub bardziej komfortowe dla pacjenta. Za komfortowe, tym samym optymalne, uznaje się te, które są na stałe montowane na implantach. O możliwości ich zastosowania decyduje rodzaj zastosowanych implantów, ich ilość i rozmiary, siła, z jaką są posadowione w kości, jakość, wymiary oraz fakt, czy była odbudowywana czy tego nie wymagała.
W sytuacji rozległych zaników kostnych górnego łuku optymalnym, czyli szybko działającym i przewidywalnym rozwiązaniem jest zastosowanie implantów jarzmowych Zygoma, które jako jedyne w sytuacji skrajnie trudnych warunków kostnych dają możliwość odbudowy protetycznej w formie mostów montowanych na stałe na implantach.
To również tytanowy implant śrubowy, który od tradycyjnych wszczepów różni się kształtem, długością oraz przeznaczeniem. Jest implantem mniej uniwersalnym, używa się go tylko w zakresie górnego łuku. Zazwyczaj wprowadza się go w odcinku bocznym bezzębnej szczęki i zakotwicza w trzonie kości jarzmowej; używana w medycynie jej łacińska nazwa to os zygomaticum, stąd też nazwa implantu Zygoma lub implant jarzmowy. To szczególny rodzaj wszczepu, który poszerza możliwości zaopatrzenia implanto-protetycznego bezzębnych pacjentów o szczególnie trudnych warunkach kostnych, które uniemożliwiają zastosowanie tradycyjnych, krótkich implantów. Ich użycie znacznie skraca czas pełnej procedury oraz daje możliwość zaopatrzenia pacjentów w komfortowe i estetyczne mosty mocowane na stałe. Stosujemy go również z powodzeniem u pacjentów z ubytkami tkanek twarzy po chirurgicznych resekcjach z powodu obecności guzów nowotworowych, w celu stabilizacji protez zewnętrznych i poresekcyjnych.
Aktywna postać choroby przyzębia w sytuacji obecności zębów w jamie ustnej jest względnym przeciwskazaniem do wykonania zabiegu implantacji. Oznacza to, że w pierwszym etapie należy wyprowadzić stan zapalny przyzębia, eliminując bakterie, które są za to odpowiedzialne. W kolejnym etapie należy regularnie zgłaszać się do kontroli w gabinecie, przeprowadzając nawet co trzy miesiące profesjonalną higienizację, oraz utrzymywać prawidłową higienę jamy ustnej w warunkach domowych zgodnie z zaleceniami lekarza i higienistki. Z chwilą gdy pacjent traci ostatni ząb z przyczyn periodontopatii, jesteśmy w stanie zaplanować zabieg wszczepienia implantów, jak w każdym przypadku bezzębia. Stworzą one stabilny fundament dla mostów lub protez. Pacjent z wywiadem, który uwzględnia utratę uzębienia z powodu choroby przyzębia, powinien pozostać pod stałą kontrolą implantologiczną i periodontologiczną na każdym etapie leczenia implanto-protetycznego. Będzie to zapobiegać powstawaniu okołowszczepowych stanów zapalnych.
Jest to możliwe, a technika ta nazywana jest „natychmiastowym obciążeniem implantów”. Metodę tę stosujemy w sytuacji, gdy siła, z jaką wszczepiamy implanty, czyli „stabilizacja pierwotna implantów”, jest optymalna, a warunki kostne obszaru zabiegowego na to pozwalają. Oceny stabilności implantu dokonuje lekarz podczas zabiegu. Pomocny dla oceny obiektywnej miary stabilizacji implantu jest przyrząd OSTELL.
Jest to technika rekonstrukcji protetycznej – odbudowy uzębienia na implantach, której dokonuje się w dniu zabiegu operacyjnego ich wszczepienia. Warunkami koniecznymi do spełnienia i zagwarantowania poprawności tej metody są prawidłowa stabilizacja implantów oraz właściwie stworzony plan leczenia w oparciu o diagnostykę obrazową podłoża kostnego. Bywa, że w technice tej pomocna jest cyfrowa nawigacja, która dzięki szablonom chirurgicznym, wykonanym na miarę konkretnego pacjenta, umożliwia idealne pozycjonowanie implantów w kości – przez to, że planowane przed zabiegiem .
Opierając się na badaniu klinicznym pacjenta oraz diagnostyce obrazowej (RTG, OPG oraz CBCT), jesteśmy w stanie przyjąć założenia co do zastosowania właściwej techniki preparacji kości przy implantacji, możliwości prawidłowego wykonania i zastosowania natychmiastowych protez, a tym samym możliwości wykonania zabiegu natychmiastowego obciążenia implantów. Ostatecznej oceny prawidłowej stabilizacji implantów dokonuje się podczas zabiegu operacyjnego.










