PROFILAKTYKA STOMATOLOGICZNA
Profilaktyka w stomatologii to czynności diagnostyczne i lecznicze mające na celu zapobieganie chorobom twardych tkanek zęba (próchnica), przyzębia oraz innym chorobom jamy ustnej.
Profilaktyka stomatologiczna:
- eliminuje przykry zapach jamy ustnej
- redukuje nieestetyczne przebarwienia (kawa, herbata, papierosy)
- odświeża oddech
- zapobiega licznym chorobom jamy ustnej i zębów,
co pozwala zachować i cieszyć się własnym zdrowym uzębieniem przez długie lata.
Niewłaściwa codzienna higiena jamy ustnej prowadzi do powstawania płytki nazębnej. Nieusuwana płytka nazębna ulega mineralizacji (zwapnieniu) pod wpływem soli mineralnych zawartych w ślinie, przekształcając się w kamień nazębny. Jest on nie tylko nieestetyczny, lecz przede wszystkim stanowi zagrożenie dla organizmu z uwagi na stacjonujące w nim bakterie. Obecność bakterii i kamienia nazębnego prowadzi do rozwoju chorób dziąseł i przyzębia, w efekcie do rozchwiania zębów, co w konsekwencji może doprowadzić nawet do ich utraty.
W związku z tym istotna jest szeroko pojęta profilaktyka, która uwzględnia:
- systematyczne wizyty w gabinecie stomatologicznym
- właściwą codzienną higienę jamy ustnej, a także
- odpowiednie nawyki żywieniowe.
Zabiegi profilaktyczne
Zabiegi profilaktyczne są bezwzględnym wymogiem przed planowanym leczeniem chirurgicznym i implantologicznym oraz stwarzają bezpieczne warunki dla skutecznego leczenia zachowawczego, protetycznego, periodontologicznego oraz ortodontycznego.
Zabiegi profilaktyczne możemy zawrzeć w kilku procedurach:
- Badanie kliniczne pacjenta/wywiad
- RTG/OPG/CBCT
- Skaling/piaskowanie/polerowanie
- Fluoryzacja/lakierowanie
- Lakowanie
- Instruktaż higieny jamy ustnej
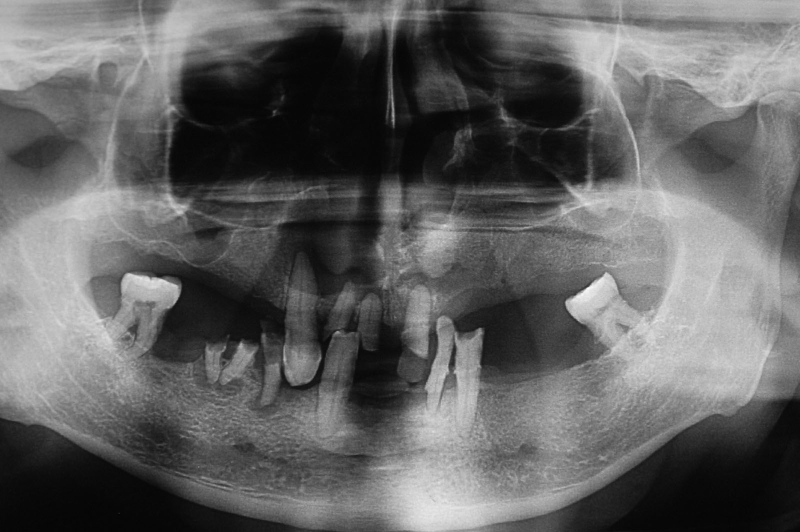
Wizytę w gabinecie stomatologicznym należy zacząć od wykonania diagnostyki. Dokonujemy tego poprzez badanie kliniczne pacjenta i wywiad lekarski oraz wykonujemy zdjęcie panoramiczne (OPG, potocznie panorama). Pozwala ono na obiektywną ocenę stanu uzębienia, przyzębia, kości szczęk i żuchwy, stanowi pełny panoramiczny obraz interesujących nas obszarów.
Usuwanie kamienia nazębnego - skaling
Usuwanie kamienia nazębnego (skaling) wykonywane jest mechanicznie za pomocą urządzenia ultradźwiękowego (skaler) lub precyzyjnych ręcznych narzędzi (kireta) bezpiecznych dla szkliwa. Zabieg ten jest bezbolesny i rutynowo nie wymaga znieczulenia. Tylko w niektórych przypadkach, np. przy obecności stanu zapalnego lub kamienia zlokalizowanego poddziąsłowo, dla komfortu pacjenta stosuje się znieczulenie miejscowe. W przypadku dużej ilości złogów i trudności w oczyszczaniu zabieg można rozłożyć na kilka wizyt.
Piaskowanie zabieg usunięcia osadu i mineralnych przebarwień
Piaskowanie – zabieg usunięcia osadu i mineralnych przebarwień – wykonywane jest przy użyciu urządzenia generującego strumień czyszczący z drobinek piasku (dwuwęglan sodu), powietrza i wody (piaskarka). Osad, którego powstawanie jest konsekwencją nawyków żywieniowych (spożywanie herbaty, kawy, czerwonego wina), palenia papierosów, jak i predyspozycji organizmu (skład śliny), usuwany jest precyzyjnie z trudno dostępnych miejsc dzięki dużemu ciśnieniu wyrzucanych ziaren o odpowiednio dobranej grubości oraz skupionej wiązce czyszczącej, która dociera w miejsca trudno dostępne dla narzędzi. Zabieg ten jest bezpieczny, bezbolesny i najczęściej stanowi uzupełnienie skalingu. Zabieg zalecany jest 2 razy do roku.
Polerowanie/fluoryzacja
Po zabiegach skalingu i piaskowania poleruje się (polishing) powierzchnie zębów za pomocą szczoteczek, gumek i past polerskich, ograniczając ponowne szybkie odkładanie się kamienia nazębnego i osadu. Zabieg higienizacji uzupełnia fluoryzacja. Wykonywana jest poprzez lakierowanie powierzchni zębów bądź stosowanie pianek fluorkowych. Jony fluoru wchodzą w reakcje z apatytami szkliwa (głównym jego budulcem), w związku z tym zwiększa się odporność szkliwa na działanie kwasów, co hamuje rozwój próchnicy.
Lakowanie
Lakowanie dotyczy bruzd powierzchni zębów przedtrzonowych i trzonowych. Są to trudno dostępne dla szczoteczki miejsca, w związku z tym narażone na demineralizację i rozwój próchnicy. Lakowanie poprzedza dokładne oczyszczenie powierzchni zęba i polega na wprowadzeniu laku do bruzdy korony zęba. Uszczelnienie bruzd zapobiega odkładaniu i zaleganiu resztek pokarmowych w tych trudno dostępnych obszarach anatomii zęba. Zabieg przeznaczony głównie dla zębów do 3 miesięcy od wyrżnięcia, czyli dla dzieci. Redukuje próchnicę o około 90%.
Istotą zapobiegania powstawania płytki nazębnej jest dobór odpowiedniej techniki szczotkowania zębów:
- Roll-on
- Okrężna Fonesa
- Fizjologiczna Smitha
- Wibracyjna Chartersa, Stillmanna oraz Bassa
- Pionowa oraz pozioma
W tym celu higienistka lub stomatolog wykonuje instruktaż higieny jamy ustnej. Istotny jest również dobór odpowiednich past, jak i profilu szczotek do zębów, które powinny być systematycznie zmieniane, gdy pojawią się oznaki ich zużycia
SANACJA JAMY USTNEJ
Brak potencjalnych ognisk zapalnych, należyta funkcja i higiena jamy ustnej to wyróżniki jej stanu zdrowia. Proces leczniczy prowadzący do przywrócenia tego stanu określamy jako SANACJA JAMY USTNEJ.
Sanacja jamy ustnej wymagana jest przed każdym planowanym kompleksowym leczeniem schorzeń zębów i jamy ustnej oraz w sytuacjach leczenia chorób ogólnoustrojowych, takich jak np. schorzenia okulistyczne, choroby kardiologiczne, choroby krwi, choroby jelit i układu pokarmowego oraz inne.
Sanację jamy ustnej wykonujemy poprzez:
- zabiegi higienizacyjne
- chirurgiczne usuwanie zębopochodnych ognisk zapalnych
- standardowe leczenie zachowawcze zębów
- leczenie ognisk zapalnych okołoszczękowych (ropnie, torbiele, choroby zatok obocznych nosa)
Sanacja jamy ustnej wymagana jest przed każdym planowanym kompleksowym leczeniem schorzeń zębów i jamy ustnej oraz w sytuacjach leczenia chorób ogólnoustrojowych, takich jak np. schorzenia okulistyczne, choroby kardiologiczne, choroby krwi, choroby jelit i układu pokarmowego oraz inne.
Sanację jamy ustnej wykonujemy poprzez:
- zabiegi higienizacyjne
- chirurgiczne usuwanie zębopochodnych ognisk zapalnych
- standardowe leczenie zachowawcze zębów
- leczenie ognisk zapalnych okołoszczękowych (ropnie, torbiele, choroby zatok obocznych nosa)
FAQ - PROFILAKTYKA
Prawidłowo i regularnie prowadzona profilaktyka pozwala uniknąć przykrych konsekwencji związanych z rozwojem schorzeń w obrębie jamy ustnej i uzębienia. Na profilaktykę składa się codzienne, samodzielne dbanie o higienę jamy ustnej wykonywane w domu, jak również regularne wizyty w gabinecie stomatologicznym odbywające się pod kontrolą lekarza lub higienistki stomatologicznej.
Istotne znaczenie ma codzienna dbałość o czystość jamy ustnej, nie należy dopuszczać do zalegania na zębach resztek pokarmowych, tworzących płytkę nazębną. Konsekwencją długotrwałego zalegania płytki nazębnej jest kamień nazębny, tworzący się pod wpływem składników mineralnych śliny.
Znaczenie ma nie tylko częstotliwość mycia zębów, ale również odpowiednio dobrana technika szczotkowania dopasowana do wieku i ewentualnego stanu jamy ustnej i uzębienia, ważny jest także dobór rodzaju szczoteczki, pasty, stosowanie nici dentystycznych, irygatorów i szczoteczek międzyzębowych.
Regularne wizyty higienizacyjne, obejmujące skaling naddziąsłowy i poddziąsłowy, piaskowanie, polerowanie zębów i fluoryzację pozwalają zapobiegać próchnicy i problemom z przyzębiem.
Istnieją różne metody szczotkowania zębów. Ważne, by technikę odpowiednio dobrać do istniejącego stanu jamy ustnej i uzębienia. Celem prawidłowego szczotkowania jest efektywne oczyszczenie zębów, przestrzeni miedzyzębowych i kieszonek dziąsłowych z płytki nazębnej i osadu. Instruktaż higieny jamy ustnej powinien odbyć się podczas wizyty kontrolnej lub higienizacyjnej w gabinecie stomatologicznym. Przeprowadza go lekarz stomatolog lub higienistka stomatologiczna.
Kamień to zmineralizowana płytka nazębna, gdzie bytują drobnoustroje chorobotwórcze, powodujące choroby zębów i jamy ustnej. Konsekwencją długotrwałego gromadzenia się kamienia nazębnego jest próchnica twardych tkanek zębów, nieświeży oddech, powstawanie kieszonek dziąsłowych i obniżanie się linii dziąseł, zanik kości, rozchwianie i utrata zębów.
Fluoryzacja to jedna z metod zapobiegania próchnicy. Wykonuje się ją przy użyciu preparatów zawierających aktywne związki fluoru. Zabieg fluoryzacji wzmacnia strukturę twardych tkanek zębów, chroni je przed działaniem kwasów zawartych w pokarmach i napojach, eliminuje nadwrażliwość zębów.
Lakierowanie to inaczej fluoryzacja zębów – zabieg polegający na pokryciu szkliwa preparatem zawierającym związki fluoru. Warstwa fluoru na szkliwie wzmacnia zęby, chroni je przed próchnicą i nadwrażliwością. Lakierowanie wykonuje się na zębach dokładnie oczyszczonych z kamienia i osadu nazębnego. Zabieg ten daje efekt, jeśli wykonuje się go regularnie 2–4 razy w ciągu roku.
Najlepszym momentem na pierwszą wizytę u stomatologa jest chwila, gdy pojawiają się pierwsze zęby mleczne. Podczas wizyty lekarz sprawdza, czy proces ząbkowania przebiega prawidłowo, regularne kolejne wizyty kontrolne monitorują stan jamy ustnej i uzębienia, a także eliminują lęk dziecka przed gabinetem stomatologicznym.
Budowa anatomiczna zębów sprzyja zaleganiu resztek pokarmowych, zarówno u dorosłych, jak i u dzieci. Naturalna nieumiejętność utrzymywania czystości jamy ustnej u dzieci związana jest z poziomem ich świadomości co do konsekwencji chorób i utraty zębów. Wobec tego wskazana jest codzienna pomoc w domowej profilaktyce i regularne wizyty w gabinecie stomatologicznym, połączone z cierpliwym instruktażem. Oprócz fluoryzacji dodatkowym rozwiązaniem u dzieci jest zabieg lakowania nowo wyrżniętych zębów trzonowych i przedtrzonowych. Szczelnie założony lak uniemożliwia odkładanie się płytki nazębnej w bruzdach, a co za tym idzie – zapobiega rozwojowi próchnicy. Technicznie przeprowadzamy to przez oczyszczenie powierzchni zęba za pomocą szczoteczki i pasty, następnie wytrawienie delikatne szkliwa w celu lepszej adhezji laku. Po wypełnieniu bruzd materiał naświetla się lampą polimeryzacyjną, na koniec sprawdza się, czy nie przeszkadza w zgryzie.
Przyjmuje się, że właściwa profilaktyka stomatologiczna obejmuje kontrolę uzębienia i całej jamy ustnej u stomatologa raz na 3–6 miesięcy. Powinniśmy zgłaszać się więc do gabinetu stomatologicznego co najmniej dwa razy do roku, chyba że nasz stomatolog zaleci inaczej.
Kamień nazębny to zmineralizowana płytka nazębna, która gromadzi się na skutek spożywania pokarmów. Należy robić wszystko, żeby nie dopuścić do zmineralizowania płytki bakteryjnej, czyli tego miękkiego osadu, powstającego na zębach w ciągu dnia. Aby temu zapobiec, ważne jest, by pamiętać o myciu oraz nitkowaniu zębów po każdym posiłku, a także o regularnych wizytach higienizacyjnych z piaskowaniem oraz fluoryzacją.
Piaskowanie jest zabiegiem bezpiecznym, który możemy wykonywać raz na 6 miesięcy, u osób z predyspozycją do odkładania się kamienia lub tworzenia się osadu może być wykonywany częściej. Rekomenduje się, aby piaskowanie było poprzedzone skalingiem całego uzębienia, czyli zabiegiem usuwającym kamień nazębny. Dodatkowo jest możliwość doboru piasku stomatologicznego dla pacjenta o różnej wielkości granulatu.
Zalecana wizyta higienizacyjna, w czasie której wykonywany jest skaling, piaskowanie, polerowanie oraz fluoryzacja, powinna odbywać się co pół roku. Przy chorobach przyzębia – częściej, nawet co 3 miesiące.
Wybielanie zębów jest bezpiecznym zabiegiem stomatologicznym. Wykonywane pod okiem specjalisty, przy użyciu odpowiednio dobranych preparatów, bezustannie poddawanych kontroli jakości, gwarantuje bezpieczeństwo tego zabiegu.
W gabinecie stomatologicznym wybielanie zębów przeprowadzane jest kilkoma metodami. Największą popularnością i skutecznością cieszy się zabieg wykorzystujący innowacyjną lampę Beyond. Zabieg rozpoczyna się od nałożenia na zęby żelu wybielającego o odpowiednim stężeniu, który wymaga aktywacji światłem emitowanym przez lampę Beyond. Cały zabieg trwa do 60 minut i daje doskonałe efekty.
Wybielanie zębów jest zabiegiem estetycznym, a efekt uzyskujemy już po pierwszej wizycie. Jeśli pacjent będzie zdecydowany na dalsze utrzymanie efektu białych zębów, konieczne są wizyty co rok.
Poza profesjonalnym wybielaniem zębów mamy wiele możliwości rozjaśnienia naszego uśmiechu. Pasty wybielające nigdy nie dadzą takiego efektu jak zabieg wybielania w gabinecie, gdyż ich działanie opiera się głównie na mechanicznym bądź chemicznym usuwaniu osadów, które zbierają się na powierzchni szkliwa.
Kondycja zębów ma wpływ na ogólny stan całego organizmu. Powinniśmy również wiedzieć, że choroby jamy ustnej zwiększają ryzyko dolegliwości całego ustroju, w tym przede wszystkim chorób układu krążenia, układu oddechowego, a także układu trawienia.
Skaling naddziąsłowy to podstawowy zabieg profilaktyczny, który ma na celu oczyszczenie koron zębowych z zalegającego na nich kamienia nazębnego. Wykonuje się go za pomocą specjalnych końcówek skalerów, które oczyszczają powierzchnie zębów dzięki przekazywanym drganiom ultradźwiękowym. Głowicę skalera przykłada się do powierzchni zęba w miejscu występowanie kamienia; za pomocą drgań o odpowiedniej częstotliwości oraz strumienia wody urządzenie rozbija kamień i usuwa go z powierzchni zęba. Jest to najpopularniejszy rodzaj zabiegu, który wykonuje się praktycznie u wszystkich pacjentów.
Skaling poddziąsłowy to zabieg chirurgiczny, który polega na usunięciu kamienia nazębnego zalegającego w kieszonkach dziąsłowych, pod powierzchnią dziąseł. Zabieg ten przeprowadza się za pomocą specjalnych mechanicznych końcówek skalerów, które oczyszczają powierzchnie zębów dzięki przekazywanym drganiom ultradźwiękowym, a także precyzyjnych, ręcznych narzędzi kiret. Usuwanie kamienia poddziąsłowego to kluczowy zabieg u pacjentów periodontologicznych, ponieważ dzięki niemu unikamy lub zatrzymujemy procesy chorobowe przyzębia, które prowadzą do rozchwiania i utraty zębów. Regularne wizyty i zabiegi profilaktyczne, kontrola periodontologiczna, radiologiczny monitoring chorób przyzębia zapobiegają rozchwianiu i utracie naszego uzębienia.






