PROTETYKA STOMATOLOGICZNA dyscyplina medyczna odtwarzająca estetykę i funkcje jamy ustnej
Protetyka stomatologiczna to dział stomatologii zajmujący się odtwarzaniem pierwotnych warunków zgryzowych po całkowitej lub częściowej utracie zębów albo po ich uszkodzeniu. Pokrewną dyscypliną jest protetyka szczękowo-twarzowa, której zadaniem jest rekonstrukcja utraconych tkanek oraz narządów zlokalizowanych w obrębie twarzoczaszki i jamy ustnej.
Przywracanie funkcji jamy ustnej polega na wykonywaniu uzupełnień protetycznych utraconych zębów oraz części jamy ustnej. Istnieją dwa typy uzupełnień protetycznych: stałe i ruchome. Różni je od siebie sposób ich utrzymania w jamie ustnej.
Do uzupełnień protetycznych ruchomych zalicza się protezy, które pacjent w dowolnym momencie może wyjmować z ust. Są to całkowite lub częściowe ruchome protezy akrylowe, nylonowe lub acetalowe oraz wykonane na bazie konstrukcji metalowej protezy szkieletowe. Wymienić tu należy również ruchome protezy typu overdenture wsparte na implantach.
Uzupełnienia stałe w sposób permanentny, lecz nie rozłączny montowane są na zębach lub implantach w jamie ustnej pacjenta. Do stałych uzupełnień zaliczamy wkłady koronowo-korzeniowe, wkłady koronowe, licówki, korony i mosty oraz uzupełnienia stałe oparte na wszczepach śródkostnych.
Korony i mosty wykonane są na podbudowie metalowej, z tlenku cyrkonu lub ceramiki.
Leczenie protetyczne przy użyciu protez stałych przynosi nieporównywalnie lepsze efekty dla pacjentów niż przy użyciu protez ruchomych ze względu na ich stabilne umocowanie w jamie ustnej.
Zewnątrzustne protezy szczękowo-twarzowe, tzw. epitezy, mają zadanie przywrócenia funkcji i wyglądu twarzy człowieka, który utracił jej elementy, np. nos, oko, ucho, policzek, szczękę, w wyniku zabiegów onkologicznych lub innych zabiegów z zakresu chirurgii szczękowo-twarzowej lub chirurgii stomatologicznej. Są to tzw. ektoprotezy twarzy. Wykonywane są z akrylu oraz miękkiego silikonu, który imituje funkcję skóry oraz błony śluzowej.
Wewnątrzustne uzupełnienia protetyczne obturujące ubytki po resekcjach kości twarzoczaszki z powodu nowotworów dna jamy ustnej, zatok szczękowych oraz innych istotnych obszarów twarzoczaszki są to zwykle akrylowe protezy z obturatorami, które mocowane są na zasadzie prostego przylegania do podłoża lub na implantach osteointegrujących wszczepionych w okoliczne struktury kostne. Ciągle jednak odtwórcza chirurgia szczękowo-twarzowa, jak i chirurgia plastyczna jest pomocna w odtwarzaniu utraconych elementów anatomii twarzoczaszki. Zabiegi z zakresu chirurgii rekonstrukcyjnej i mikrochirurgii wykonywane są na sali operacyjnej i wymagają zaplecza szpitalnego.
By wzmocnić lub odbudować tkanki twarde zęba, stosujemy:
- Wkłady koronowo-korzeniowe – przeznaczone dla zębów po leczeniu kanałowym, których konstrukcja wymaga wzmocnienia ze względu na stopień jej uszkodzenia. Wkłady wykonywane są w laboratorium protetycznym lub w gabinecie stomatologicznym i montowane wewnątrz kanału korzeniowego zęba. Wkłady laboratoryjne to indywidualnie odlewane elementy ze stopów metali, podczas gdy w gabinecie używa się wykonanych z włókien syntetycznych.
- Inlay Onlay Overlay – frezowane uzupełnienia stosowane w przypadku rozległych zniszczeń w strukturach twardych tkanek korony zęba w sytuacji, gdy typowa odbudowa materiałami kompozytowymi mogłaby okazać się nieskuteczna. Są wklejane specjalnymi cementami w wyprofilowany ubytek twardych tkanek korony zęba.
- Licówki – cienkie listki ceramiczne lub kompozytowe odtwarzające estetykę powłoki licowej korony zęba najmniej ingerujące w jej strukturę. Stosowane w przypadku powierzchownych uszkodzeń, przebarwień lub deformacji koron zębów przednich.
- Korony protetyczne – odtwarzają estetycznie całe struktury koron zębów, uszkodzonych procesem próchnicowym, urazami oraz innymi ich chorobami. Wykonywane są w różnych technologiach
- Mosty protetyczne – odtwarzają utracone zarówno pojedyncze zęby, jak i większą ich liczbę. Ich konstrukcja opiera się na zębach własnych.
Nowoczesna protetyka stomatologiczna stwarza dziś szeroki wachlarz możliwości. W ostatnim dziesięcioleciu przebyła technologiczną rewolucję, która polegała na wdrożeniu technik CAD CAM w miejsce typowych rozwiązań analogowych. Cyfrowa obróbka danych zaadaptowana dla potrzeb laboratorium protetycznego podniosła standardy dotyczące estetyki, a nade wszystko dokładności wykonywanych prac protetycznych. Użycie stożkowej tomografii komputerowej CBCT oraz skanerów wewnątrzustnych znacząco poprawiło dokładność obrazowania przedmiotów poddawanych rekonstrukcji protetycznej. Zastosowanie nowoczesnego parku maszynowego w laboratoriach protetycznych: skanerów laboratoryjnych i precyzyjnych frezarek umożliwiło wykonywanie prac protetycznych na najwyższym poziomie.
Współczesna protetyka stomatologiczna uwzględnia zastosowanie nowoczesnych materiałów. Zwykle bazą dla zaawansowanych technologicznie stałych prac protetycznych jest stop metalu, w tym tytanu, oraz tlenek cyrkonu. Najbardziej wymagające, jeśli chodzi o obróbkę laboratoryjną, są prace tworzone na bazie podbudowy z tlenku cyrkonu. Trudności, jakie stwarzają, rekompensowane są zwykle przez ostateczny efekt na etapie gotowych koron i mostów. Technologia służy wykonywaniu stałych prac protetycznych zarówno na zębach własnych pacjenta, jak i na implantach.
TECHNOLOGICZNE WARIANTY WYKONANIA ESTETYCZNYCH KORON I MOSTÓW NA BAZIE TLENKU CYRKONU
- Technika pełnego licowania cyrkonu – w tym wariancie frezujemy podbudowę z tlenku cyrkonu (ze względu na pełne licowanie porcelaną możliwe jest też frezowanie podbudowy z metalu), a następnie nakładamy na całą strukturę podbudowy warstwy porcelany o indywidualnej kolorystyce, przezierności oraz innych istotnych cechach, aby uzyskać oczekiwany efekt estetyczny pracy.
- Technika „cut back” – technologia, która polega na zaprojektowaniu korony lub mostu w programie komputerowym CAD/CAM z uwzględnieniem przestrzeni na nałożenie ceramiki od strony przedsionkowej korony protetycznej. Po wyfrezowaniu korony lub mostu ręcznie nakłada się i modeluje ceramikę na przednią jego część, co daje dobry efekt estetyczny przy minimalnym ryzyku awaryjności pracy. Takie rozwiązanie protetyczne łączy maksymalną wytrzymałość z optymalnymi walorami estetycznymi.
- Technika pełnokonturowego cyrkonu – to metoda uwzględniająca wykonywanie koron i mostów w technologii CAD/CAM, które w pełnym konturze frezowane są z tlenku cyrkonu. Obecnie mamy do dyspozycji wiele rodzajów materiałów cyrkonowych, spośród których najpopularniejszy jest cyrkon warstwowy, dzięki któremu jesteśmy w stanie odwzorować naturalną barwę zębów. Przy takim rozwiązaniu mamy niewielkie ryzyko wystąpienia awarii. Tego typu uzupełnienia protetyczne ze względu na ich niezawodność oraz wytrzymałość najczęściej wykonuje się w odcinku bocznym.
W trudnych przypadkach klinicznych bezzębia i przy pojedynczych brakach zębowych, przy odtwarzaniu uzębienia należy brać pod uwagę nie tylko estetykę koron i mostów protetycznych, lecz również relacje zwarciowo-artykulacyjne, które stanowią o zdrowiu całego układu stomatognatycznego, w tym stawów skroniowo-żuchwowych.
Pomocna w takich sytuacjach jest diagnostyka przedprotetyczna łukiem twarzowym lub analiza Gerbera.
ANALIZA GERBERA
To diagnostyka bardzo wszechstronna, całkowicie bezbolesna i nieinwazyjna. Ma zastosowanie w każdej dziedzinie stomatologii. Pozwala przywrócić prawidłową funkcję naturalnego uzębienia, a także zaprojektować odbudowę protetyczną na implantach. Analiza jest pomocna szczególnie przy projektowaniu trudnych prac protetycznych, pomaga w leczeniu schorzeń stawu skroniowo-żuchwowego, a także w przywracaniu prawidłowych proporcji w rysach twarzy – ortolifting.
Ma zastosowanie zarówno u dzieci, jak i dorosłych. Stosowana jest u pacjentów posiadających pełne uzębienie, którzy wymagają przywrócenia jego funkcji lub jedynie korekty estetyki, a także u pacjentów z częściowymi brakami w uzębieniu. Jest szczególnie pomocna przy bezzębiu.
Analiza Gerbera stanowi istotne wsparcie leczenia protetycznego, chirurgicznego, ortodontycznego, periodontologicznego, zachowawczego, estetycznego. Pozwala ustalić przyczynę przeciążeń w zgryzie i tym samym wyeliminować wynikające z tego dolegliwości bólowe. Pozwala prawidłowo podnieść i zrekonstruować zwarcie.
Narząd żucia stanowi funkcjonalną jedność z całym organizmem i nazywany jest układem stomatognatycznym. Zęby są jedynie częścią tego układu, w skład którego wchodzą kości twarzoczaszki, tkanki miękkie oraz układ nerwowo-naczyniowy.
Metoda Gerbera jako punkt wyjścia dla analizy traktuje staw skroniowo-żuchwowy. W relacji do jego funkcji bierze pod uwagę pozostałe ogniwa układu stomatognatycznego. Staw skroniowo-żuchwowy jest działającym synchronicznie symetrycznym elementem anatomii twarzoczaszki, który pozwala na otwieranie ust i funkcje z tym związane. To staw o złożonej budowie, w jego skład wchodzą: dołek stawowy kości skroniowej, który stanowi panewkę stawową, wyrostek kłykciowy, krążek stawowy i torebka stawowa. Krążek zbudowany jest z chrząstki i dzieli jamę stawową na dwie części: górną i dolną. Podczas ruchów opuszczania żuchwy (otwierania ust) krążek stawowy przesuwa się do przodu i dołu. Wraz z krążkiem przesuwa się wyrostek kłykciowy głowy żuchwy po obu stronach. W ruchu przywodzenia żuchwy (zamykania ust) krążek stawowy i wyrostek kłykciowy żuchwy wracają na swoje miejsce do pozycji wyjściowej. Stawy są sprzężone ze sobą czynnościowo (ruch następuje równocześnie w obu stawach) i anatomicznie (łączy je trzon kości żuchwy), stąd też nieprawidłowe asymetryczne obciążenia stawów są najczęstszą z przyczyn zaburzeń narządu żucia.
W ocenie wewnątrzstawowych patologii pomocna jest diagnostyka obrazowa. Konwencjonalne zdjęcia radiologiczne OPG, tomografia komputerowa oraz stożkowa tomografia komputerowa CBCT pozwalają na ocenę elementów kostnych stawu skroniowo-żuchwowego. Ocenę tkanek miękkich zlokalizowanych wewnątrzstawowo umożliwia rezonans magnetyczny NMR.
Prof. Albert Gerber dostrzegł korelację funkcjonalną pomiędzy zwarciem zębów, funkcją stawów skroniowo-żuchwowych oraz mięśni żucia i wyszczególnił trzy normy opisujące te zależności.
Norma statyczno-anatomiczna opisuje sytuację skoordynowanego, maksymalnego zaguzkowania zębów przy centralnym położeniu kłykci w dołach stawowych, podczas gdy głowa pacjenta jest utrzymywana swobodnie, pionowo. Przestrzeń stawowa pozostawia odpowiednią ilość miejsca na krążek stawowy oraz na dwie zdrowe warstwy chrząstki, które pokrywają kostne powierzchnie wewnątrzstawowe. Tkanki miękkie wewnątrz, jak i pozastawowe nie są ściśnięte ani naciągnięte.
Norma dynamiczno-anatomiczna opisuje skoordynowaną pozycję, gdzie forma i nachylenie artykulacyjnych powierzchni stawów skroniowo-żuchwowych koresponduje z okluzyjnym nachyleniem zębów.
Norma neuromięśniowa opisuje realną sytuację, kiedy prawidłowa kontrola neuromięśniowa czynności systemu narządu żucia może zostać zaburzona. Uwidacznia się to, gdy podczas maksymalnego zaguzkowania jeden lub oba kłykcie są przemieszczone. Badanie czynnościowe uwidacznia brak harmonii pomiędzy pozycją głów stawowych w stawach skroniowo-żuchwowych i zwarciem. W takiej sytuacji nasila się aktywność mięśni, powodując ich napięcie, czego konsekwencjami są dolegliwości bólowe.
Teoria prof. Gerbera dotycząca korelacji pozycji kłykcia w dole stawowym w stosunku do zwarcia wykorzystywana jest dzisiaj w każdej rehabilitacji protetycznej i leczeniu zaburzeń okluzyjno-artykulacyjnych.
BEZZĘBIE to niefizjologiczna sytuacja braku uzębienia wymagająca analizy zwarcia pod kątem pracy stawów skroniowo-żuchwowych, napięć nerwowo-mięśniowych oraz szczególnie w trakcie protezowania. (czytaj więcej…)
Bolesne dysfunkcje stawów skroniowo-żuchwowych przeważnie występują u pacjentów bezzębnych. Najczęstsze są jednak dysfunkcje zaadaptowane. Konieczne jest wtedy wykonanie nowych protez, uwzględniających prawidłową relację zwarcia żuchwy do szczęki, stabilizującą jednoznacznie okluzję centryczną.
W celu ustalenia wzajemnej relacji żuchwy i szczęki Gerber poleca rejestrację z użyciem centralnego sztyftu podpierającego, który zapewnia równomierne obciążenie podłoża protetycznego i stawów skroniowo-żuchwowych, a także ułatwia centralne ułożenie głów stawowych dzięki trójpunktowemu podparciu żuchwy w stosunku do czaszki.
W pierwszym etapie wykonuje się modele robocze, które są montowane w opracowanym przez prof. Gerbera artykulatorze. Tak zwany condylator pozwala na symulację trójwymiarowych ruchów głów żuchwy. Pozwala na zweryfikowanie poprawności relacji pomiędzy łukiem zębowym górnym a dolnym. Po dokładnym zbadaniu funkcji i morfologii stawu sż, wykonaniu pomiarów oraz ocenie stanu zdrowia zębów zostaje opracowany indywidualny plan leczenia zgodny z uwarunkowaniami pacjenta.
Dzięki zastosowaniu łuku twarzowego możliwy jest pomiar kątów nachylenia torów przesuwania głów żuchwy. Pozwala to na zamontowanie modeli gipsowych w stosunku do stawów skroniowo-żuchwowych i płaszczyzny Campera (linii uszno-nosowej) orientacyjnej w widoku z profilu. Ma to na celu odtworzenie prawidłowej okluzji, czyli odpowiedniej pozycji stykania się zębów górnych z dolnymi.
CHOROBA OKLUZYJNA
W przypadku zaburzeń okluzji mamy do czynienia z chorobą okluzyjną. Objawia się ona bruksizmem, który powoduje ścieranie się twardych tkanek zębów, napięciem mięśni żujących oraz bólem w okolicy stawów skroniowo-żuchwowych. Konsekwencjami choroby okluzyjnej są ruchomość zębów, ich nadwrażliwość na bodźce temperaturowe w miejscach starcia, ból przy nagryzaniu, recesje dziąsłowe, jak również problemy wewnątrzstawowe objawiające się trzeszczeniem i przeskakiwaniem głów stawowych przy rozwieraniu szczęk. Nieprawidłowe kontakty międzyzębowe, nadmierne zaciskanie zębów wzmaga napięcie mięśniowe i generuje wiele powikłań, takich jak:
- bóle głowy, karku, pleców, ręki i obręczy barkowej
- napięcie spoczynkowe mięśni posturalnych: pleców, barków i tłoczni brzusznej
- bolesność w okolicy przyczepu mięśni żucia i skroniowego
- zaburzenia słuchu połączone z szumami
- ubytki szkliwa w okolicy szyjek zębów
- krwawienia przy szyjkach zębów
- zanik przyzębia powiązany z przeciążeniem koron zębów.
FAQ - PROTETYKA STOMATOLOGICZNA
Utratę każdego zęba należy uzupełnić możliwie jak najszybciej, ponieważ nawet pojedyncze braki zębowe mogą prowadzić do niekorzystnych następstw dla całego układu żucia. Po utracie zęba dochodzi do zaniku kości wyrostka zębodołowego w wyniku braku jej osiowego obciążenia siłami żucia. Dochodzi do przemieszczania się zębów pozostałych w sąsiedztwo powstałej luki. Mogą się one przechylać, obracać i wysuwać z zębodołu bez względu na to, czy dotyczy to łuku górnego czy dolnego. Ruchy zębowe uzasadnia ich fizjologiczne dążenie do kontaktu ze sobą. Stąd braki zębowe w przeciwstawnym łuku deformują zgryz. Proces ten opisywany jest jako objaw Godona.
W rezultacie prowadzi to do utraty kolejnych zębów. Następstwa postępujących braków zębowych prowadzą do powstania zaburzeń funkcji stawów skroniowo-żuchwowych. Mogą objawiać się trudnościami w rozwieraniu szczęk, bólami mięśni twarzy i głowy w okolicach skroni, jak również prowadzić do zaburzeń trawiennych. Poza funkcją istotna jest również estetyka. Widoczne w uśmiechu braki zębowe, skrócenie dolnego odcinka twarzy, zapadnięcie się warg czy tworzenie się zmarszczek w okolicy ust to tylko niektóre z następstw towarzyszących ubytkom uzębienia. Uzupełnianie braków zębowych przywraca podstawy fizjologii jamy ustnej, ponieważ zęby jako zespół funkcjonują prawidłowo tylko w komplecie.
Wybór uzupełnienia protetycznego uzależniony jest od czynników ogólnych dotyczących stanu pacjenta, jak i czynników miejscowych dotyczących stanu jamy ustnej. Czynniki miejscowe to liczba utraconych zębów, rodzaj braków zębowych – zaklinowane, skrzydłowe, braki w bocznych strefach czy z przodu. Stan i liczba pozostałych zębów, stan podłoża kostnego, warunki zgryzowe, obecność chorób przyzębia wpływa na stan dziąseł i błony śluzowej. Czynniki ogólne to wiek, choroby ogólnoustrojowe, preferencje czy wreszcie możliwości finansowe pacjenta.
Korona to uzupełnienie protetyczne odtwarzające prawidłowy kształt, funkcję i estetykę uszkodzonego zęba. Klasyfikowana jest jako uzupełnienie stałe, czyli niewyjmowane z jamy ustnej, ze względu na to, że cementuje się ją na oszlifowanym filarze. Może być wykonana z czystej ceramiki lub z ceramiki na podbudowie metalowej lub z tlenku cyrkonu. Tak wykonuje się ostateczne korony ze względu na walory estetyczne i trwałość materiału. Tymczasowe korony ochronne można wykonać z materiału kompozytowego lub akrylu.
Most to uzupełnienie protetyczne stałe, niewyjmowane z jamy ustnej, które odtwarza i uzupełnia lukę po jednym lub kilku brakujących zębach. Składa się ze zintegrowanych z przęsłem koron nakładanych na zęby filarowe. Sąsiadujące z luką zęby wykorzystywane są jako filary mostu i po odpowiedniej preparacji – szlifowaniu – stają się podporami dla koron, które wraz z przęsłem mostu odtwarzają korony utraconych zębów. Wygląd i kształt dowieszonego przęsła jest identyczny z naturalnymi zębami. Most podobnie jak korona może mieć funkcję ostatecznego lub tymczasowego. Ostateczny wykonywany jest z pełnej ceramiki lub ceramiki na podbudowie metalowej lub z tlenku cyrkonu. Tymczasowe mosty, podobnie jak korony, wykonywane są z materiału kompozytowego lub akrylu.
Korona protetyczna ma za zadanie odbudować zniszczoną część naddziąsłową pojedynczego zęba. Przy dużej destrukcji twardych struktur zębowych często wykonanie korony powiązane jest z leczeniem endodontycznym. W sytuacji dużych zniszczeń części koronowej zęba i słabej retencji dla przyszłej korony protetycznej dodatkowo ząb powinien zostać wzmocniony wkładem koronowo-korzeniowym indywidualnie odlewanym ze stopów metalu w laboratorium lub gotowym, wykonanym z włókna szklanego. Wkład koronowo-korzeniowy cementuje się w kanale korzeniowym po prawidłowo przeprowadzonym leczeniu kanałowym.
Most protetyczny ma za zadanie odtworzyć i uzupełnić lukę po jednym lub kilku utraconych zębach. Jego konstrukcja związana jest z preparacją – szlifowaniem zębów sąsiadujących z luką po utraconych zębach. Most cementuje się na filarach, a korony protetyczne w moście wraz ze zintegrowanym, dowieszonym przęsłem uzupełniają estetycznie brak zębowy.
Alternatywą do mostu protetycznego jest zaopatrzenie braku zębowego za pomocą implantów.
Wkłady koronowo-korzeniowe to rusztowanie dla korony zęba. Ich zadaniem jest jego wzmocnienie. Stosuje się je w zębach leczonych kanałowo, w których doszło do dużego zniszczenia struktur korony zęba.
Wskazaniem do wykonania wkładów koronowo-korzeniowych jest wzmocnienie zęba leczonego kanałowo, w którym doszło do powstania dużego ubytku w jego części koronowej. Jeżeli ząb ma niewiele tkanek własnych lub są one uszkodzone, grozi to powstaniem naprężeń, w wyniku których może dojść do odłamania się jego ścian. Wkłady koronowo-korzeniowe zapobiegają uszkodzeniom mechanicznym zębów.
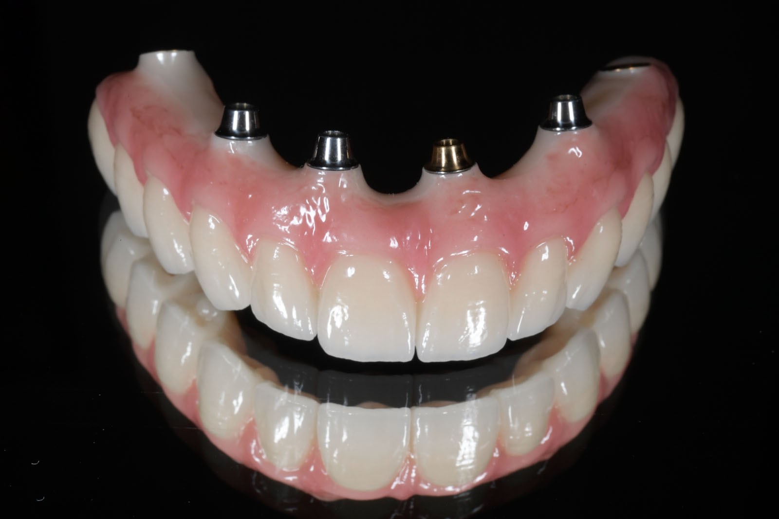
Komfortową alternatywą dla mostu jest rehabilitacja implanto-protetyczna, zarówno w przypadku braku pojedynczego, jak i większej liczby zębów. Implantacja wskazana jest w szczególności, gdy zęby sąsiadujące z luką są zdrowe, nie leczone kanałowo, a podłoże kostne spełnia warunki dla implantacji. Pozwala to uniknąć szlifowania zębów filarowych stojących obok luki, a przyszła konstrukcja protetyczna najczęściej nie uwzględnia przęsła mostu, które może sprawiać trudności w utrzymaniu higieny jamy ustnej. Korony i mosty wsparte na implantach przenoszą siły powstające w procesie żucia przez osie implantów wszczepionych w kość. Tworzy to układ działania sił najbardziej zbliżony do fizjologicznych warunków jamy ustnej z uzębieniem. Jest on optymalny dla zdrowia i zachowania tkanki kostnej. W ten sposób przenoszona siła powoduje wzmocnienie kości, nie zaś jej resorpcję, czyli zanik.
Ciągle powszechnie stosowanym uzupełnieniem protetycznym jest całkowita proteza osiadająca. Zaletami tego rozwiązania są ogólna dostępność, prostota i krótki czas wykonania. Często o wyborze protezy całkowitej decyduje niski jej koszt oraz zadowalający efekt estetyczny w krótkim czasie. Wadę stanowi mały komfort użytkowania oraz stale zanikające podłoże kostne pod protezą, powodowane uciskiem. Proteza tylko w niewielkim stopniu odtwarza utraconą funkcję żucia, a ze względu na pokrycie podniebienia przez płytę protezy, upośledzone zostaje odczuwanie smaku i temperatury spożywanych potraw. W zależności od stanu kości szczęk i żuchwy rozwiązaniem alternatywnym dla pacjenta są uzupełnienia protetyczne wsparte na implantach.
W związku z ich użytkowaniem skala komfortu dla pacjenta zależy od tego, czy są to ruchome protezy Overdenture oparte jedynie na implantach, które poprawiają stabilizację protez zębowych, czy też na stałe mocowane na wszczepach mosty. W ślad za wyborem rodzaju mocowania protez idzie jakość odbudowy protetycznej. Protezy Overdenture są wykonane z materiału kompozytowego lub akrylu, natomiast mosty są wykonane z ceramiki.
Protezy stałe wymagają szczególnych i regularnych zabiegów higienicznych zarówno w warunkach gabinetu stomatologicznego, jak i w warunkach domowych. Odpowiednia dbałość o nie pozwala utrzymać dobre warunki jamy ustnej przez długie lata. Szczególnej dbałości wymaga okolica przydziąsłowa koron i mostów ze względu na tendencję do gromadzenia się płytki nazębnej i trudności w jej oczyszczaniu. Oczyszczanie okolicy pod przęsłem mostu wymaga zastosowania nietypowych przyrządów higieny codziennej, jak szczoteczki do przestrzeni międzyzębowych, nici dentystyczne superfloss, irygator. Szczególnie polecana nić superfloss składa się z trzech odcinków. Sztywny odcinek nitki pozwala na swobodny dostęp pod przęsło mostu, część miękka – gąbczasta – pozwala na skutecznie oczyszczenie tej przestrzeni, część zbliżona do standardowej nici usuwa płytkę nazębną poniżej linii dziąsła. Irygator water pick, hydropulper to urządzenie działające na zasadzie bicza wodnego. Strumień płynu masuje dziąsło i oczyszcza trudno dostępne przestrzenie. W sytuacji obecności uzupełnień stałych w jamie ustnej szczególnie wymagane są regularne wizyty higienizacyjne w gabinecie stomatologicznym.
W przypadku stosowania protez ruchomych oprócz normalnej pielęgnacji pozostałych zębów szczególną uwagę należy poświęcić samej protezie. Protezę ruchomą należy czyścić po każdym posiłku, minimum dwa razy dziennie. Po wyjęciu z ust oczyszczamy ją dokładnie miękką szczoteczką z dodatkiem pasty do zębów, mydła w płynie lub specjalnych środków czyszczących przeznaczonych do uzupełnień protetycznych ruchomych. Optymalne jest stosowanie dwustronnych szczoteczek do protez, które dzięki odpowiednio ukształtowanemu włosiu pozwalają na oczyszczenie wszystkich, nawet trudno dostępnych miejsc w protezie. Istnieją też środki czyszczące w postaci proszku lub pastylek, które po rozpuszczeniu w wodzie tworzą roztwór oczyszczający protezę chemicznie. Ich stosowanie jest szczególnie polecane osobom chorym i niesprawnym fizycznie.
Preparacja filarów/zębów w celu wykonania koron lub mostów protetycznych zazwyczaj wykonywana jest w znieczuleniu miejscowym, co czyni zabieg bezbolesnym. Znieczulenie nie jest konieczne w przypadku preparacji zębów po leczeniu endodontycznym.
Inlay/Onlay, zwane nakładami koronowymi, to alternatywa dla wkładów, koron oraz wypełnień wykonanych metodą tradycyjną. Umożliwiają dokładną rekonstrukcję anatomicznego kształtu zęba, z pozostawieniem maksymalnej ilości tkanek własnych bez konieczności szlifowania. Są estetyczne, odporne na ścieranie, a przez to trwałe. Przygotowuje się je zwykle w laboratorium protetycznym na podstawie pobranego wycisku lub skanu, po uprzedniej preparacji zęba. Gotowe nakłady mocuje się w ubytkach cementami lub specjalnymi materiałami klejącymi, które cechuje duża adhezja. Wskazaniem do ich zastosowania są rozległe ubytki na powierzchniach zgryzowych, szczególnie istotne w zębach bocznych. Stosowane są również w celu precyzyjnej odbudowy powierzchni stycznych koron zębów, co jest istotne w celu zabezpieczenia brodawek dziąsłowych oraz poprawy higieny w przestrzeniach międzyzębowych.
Licówki porcelanowe stanowią odbudowę protetyczną służącą poprawie estetyki zęba. To cienki płatek przyklejany do powierzchni licowej zęba dla poprawy kształtu, koloru czy ujednolicenia korony zęba. Może być wykonany z porcelany lub materiału kompozytowego. Licówki pozwalają na pokrycie nieestetycznych przebarwień, a także zmianę kształtu zęba. Wskazaniem do ich zastosowania są ubytki brzegów siecznych zębów, niedorozwój zębiny lub szkliwa, przebarwienia. Założenie licówki zwykle wiąże się z wcześniejszą preparacją twardych tkanek zęba, choć istnieją metody, które bardzo ograniczają potrzebę szlifowania bądź w wyjątkowych sytuacjach nie wymagają preparacji.
Technologia CAD/CAM w stomatologii to sposób projektowania i wytwarzania prac protetycznych w technologii 3D, czyli trójwymiarowej. W dzisiejszej odsłonie technologii CAD/CAM niezbędny wydaje się skaner wewnątrzustny oraz komputer. Praca skanera polega na wykonaniu serii zdjęć odpowiednio przygotowanych filarów protetycznych czy też całego podłoża protetycznego i dzięki układowi optycznemu oraz czujnikom fotoelektrycznym zamianie obrazu na impulsy elektryczne przesyłane do komputera. Można powiedzieć, że skaner wykonuje czysty wycisk optyczny bez angażowania dotychczas używanych mas wyciskowych. Komputer natomiast archiwizuje przesłane ze skanera dane cyfrowe, w których zawarta jest informacja o stanie anatomii jamy ustnej pacjenta. Skan, który pojawia się na monitorze, przesyłany jest następnie do frezarki 3D. Tam następuje obróbka wybranego materiału w formie bloczka (metal, cyrkon), z którego wykonuje się podbudowę do mostów i koron. Materiał jest frezowany i następnie polerowany w taki sposób, by otrzymać optymalnie dopasowane do pacjenta uzupełnienie protetyczne. Dokładność odwzorowania trójwymiarowego podłoża pozwala na precyzyjne wykonanie prac protetycznych.
