REGENERACJA KOŚCI I TKANEK MIĘKKICH - FUNDAMENT WSPÓŁCZESNEJ IMPLANTOLOGII ORAZ PODSTAWA NOWOCZESNEJ STOMATOLOGII ESTETYCZNEJ

Naturalnym zjawiskiem po utracie zęba jest zanik kości w miejscu po jego usunięciu. W zależności od rozległości zaniku kostnego sytuacja może wymagać dodatkowych procedur, aby zapewnić bezpieczeństwo i długotrwałe powodzenie leczenia implantologicznego.
Ubytki kostne przez długi czas były poważnym problemem, który utrudniał bądź uniemożliwiał leczenie z wykorzystaniem implantów. Wskazania do odtwarzania zanikłych tkanek sukcesywnie poszerzają się dzięki stosowaniu i ciągłemu udoskonalaniu materiałów, które umożliwiły regenerację ubytków kostnych oraz wzmocnienie i regenerację tkanki miękkiej.
Wprowadzając je do leczenia, udało się ograniczyć obciążające pacjenta zabiegi odtwórcze przy użyciu tkanek własnych, takich jak przeszczep kości własnej, przeszczep dziąsła.

MATERIAŁY STOSOWANE DO REGENERACJI TKANEK

  •  autogenny przeszczep kostny 
    kość pobrana z obszaru jamy ustnej:
    żuchwa – okolica bródki, trzon
    szczęka – guz, kolec nosowy przedni
    kość jarzmowa
    kość pobrana z odległych miejsc dawczych
    talerz biodrowy, sklepienie czaszki, piszczel, łopatka
  • autogenny przeszczep łącznotkankowy (błona śluzowa, skóra)
  • odwirowane z krwi własnej osocze bogatofibrynowe A-PRF i-PRF 
  • zamrożonej FDBA
  • zamrożonej i wysuszonej DFDBA – Tuttogen
  • polimery – HTR Synthetic Bone
  • fosforany trójwapniowe TCP – Cerasorb
  • hydroksyapatyty – porowate i nieporowate HA-Biocer, OsteoGen
  •  bioszkła – Biogran
  • metale nieresobowalne – granulat tytanu – Tigran



     

  • pochodzące od zwierząt bezkręgowych – Algipore, Biocoral
  • pochodzące od zwierząt kręgowych – BioGen, BioOss, Creoss

Niewątpliwie nowością i rewolucją w dziedzinie chirurgii odtwórczej są szeroko wprowadzane na rynek usług regeneracyjnych odzwierzęce jak i syntetyczne materiały, które pomagają w trudnej odbudowie objętości i tekstury dziąsłowej. Zdrowa tkanka miękka o prawidłowym biotypie stanowi fundament dla osiągnięcia stabilnego oraz estetycznego efektu leczenia w stomatologii i implantologii stomatologicznej.

Przez ponad dwadzieścia lat doświadczeń i testów klinicznych wprowadzono różne metody chirurgicznej odbudowy tkanki kostnej z wykorzystaniem materiałów kościotwórczych, które występują w formie granulatu, membran zaporowych oraz bloczków kolagenowych.

ZASTOSOWANIE REGENERACJI KOSTNEJ W CHIRURGII JAMY USTNEJ

  • resekcjach wierzchołków korzeni zębów
  • hemisekcjach korzeni zębów wielokorzeniowych
  • po usunięciu torbieli
  •  po usunięciu guzów nowotworowych

ZANIKOM KOSTNYM PACJENTA SPRZYJAJĄ UWARUNKOWANIA ZWIĄZANE Z OGÓLNYM JEGO STANEM ZDROWIA ORAZ INNYMI CZYNNIKAMI MIEJSCOWYMI MAJĄCYMI WPŁYW NA KONDYCJĘ KOSTNĄ PODŁOŻA.

CZYNNIKI OGÓLNE

CZYNNIKI MIEJSCOWE

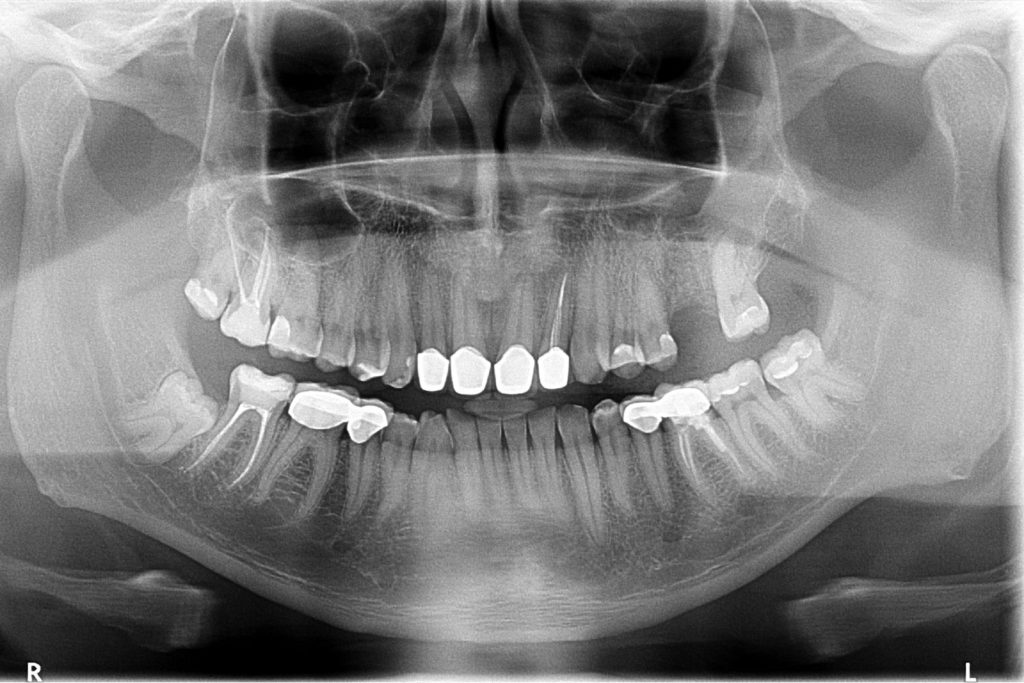
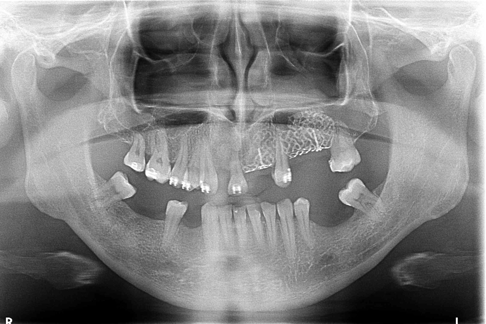
DIAGNOSTYKA OBRAZOWA

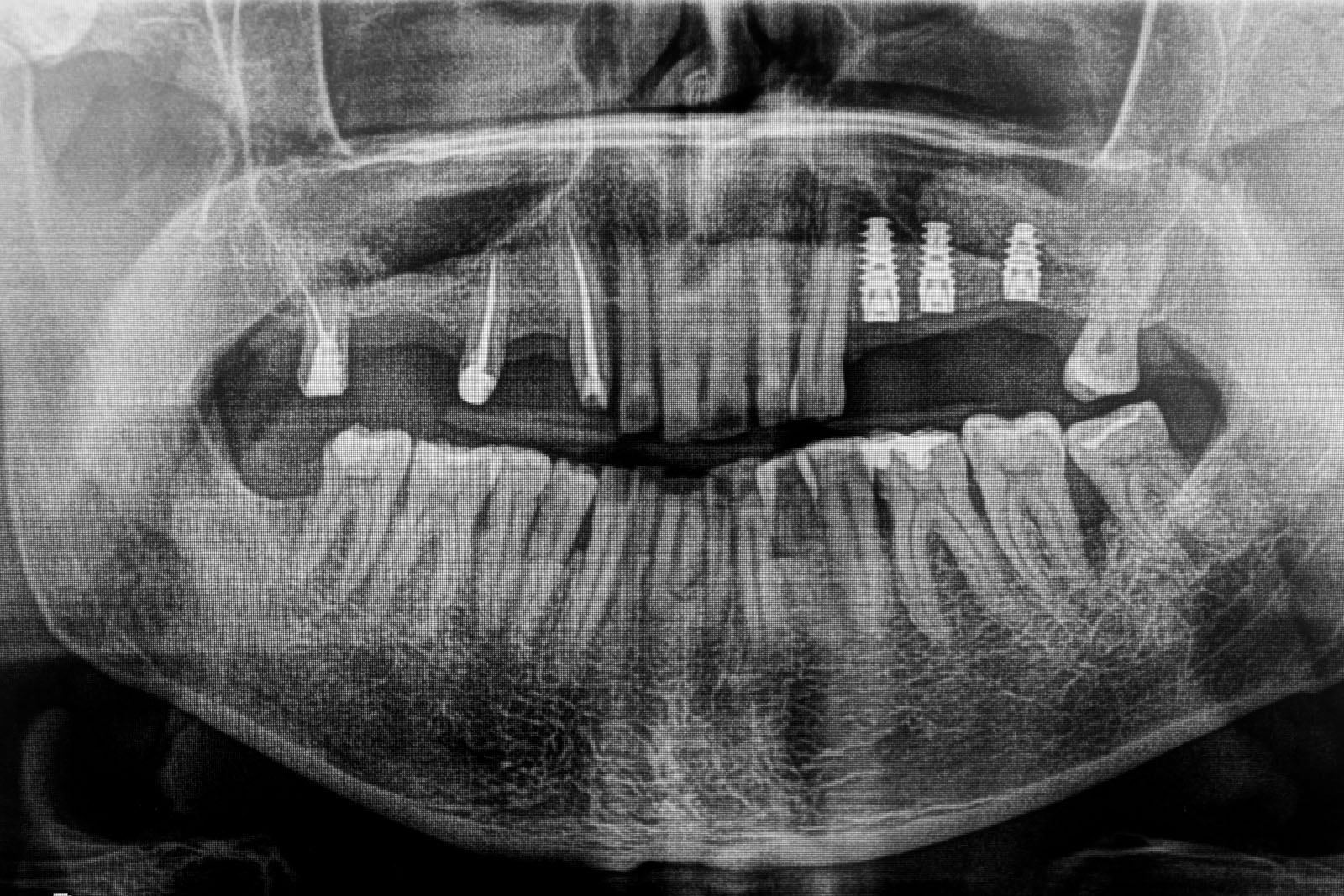
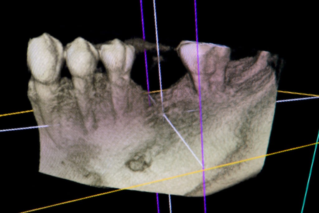
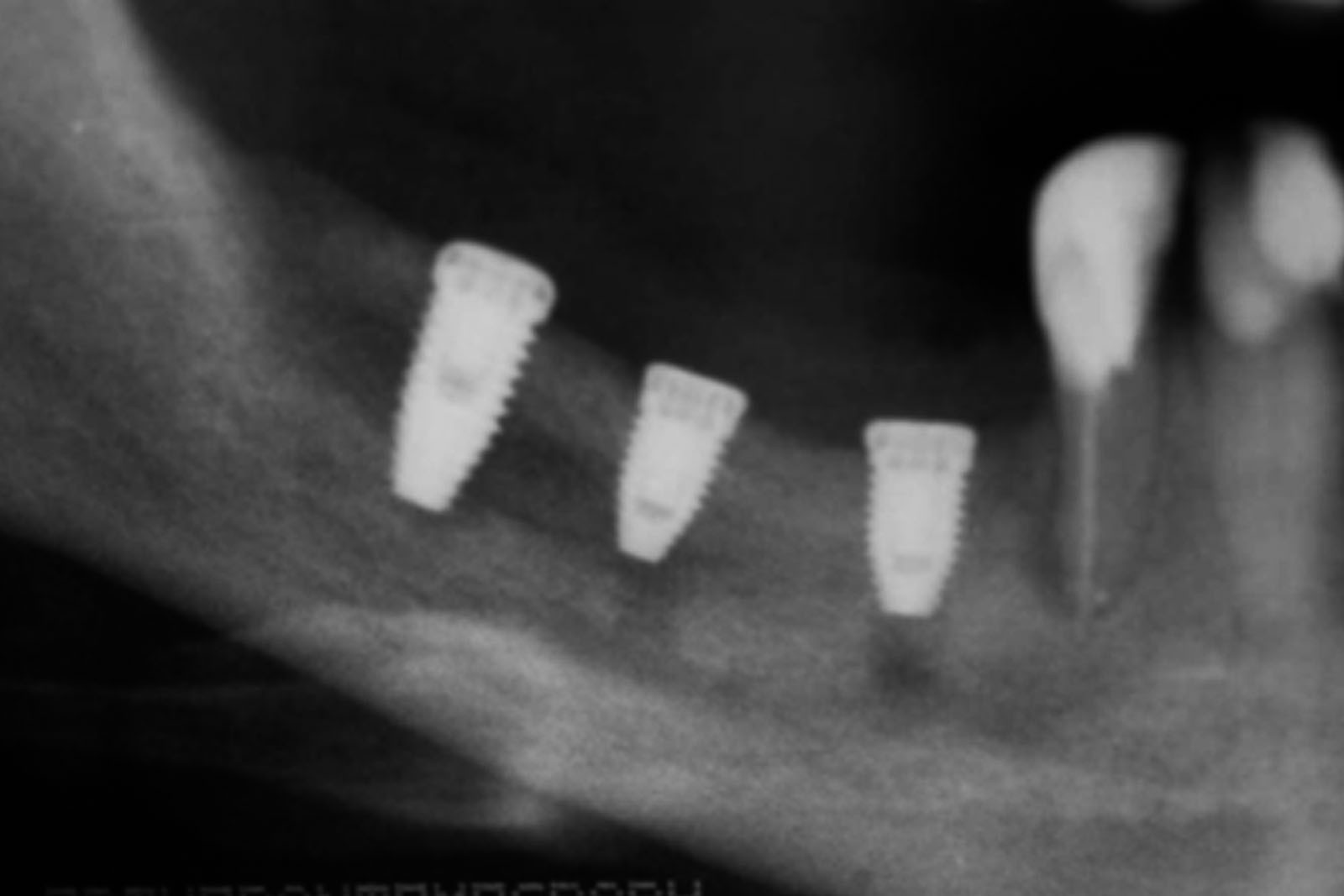
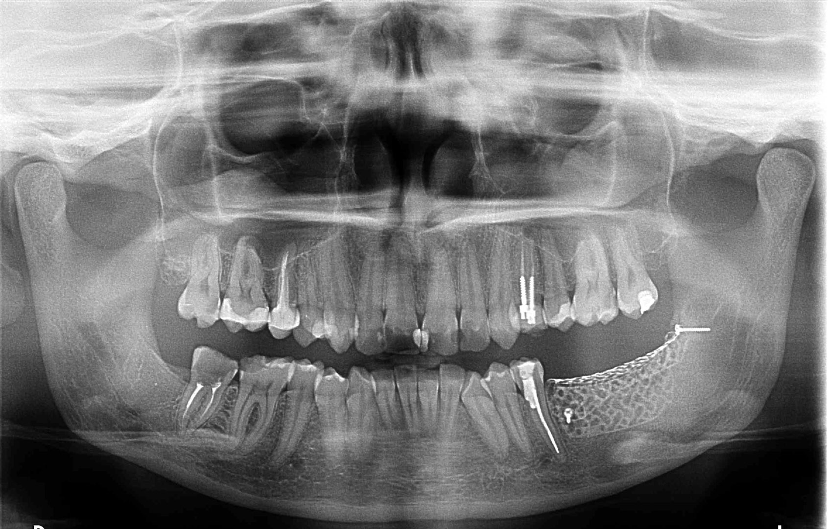
Przed podjęciem leczenia należy określić stopień zaniku kości szczęk oraz żuchwy. W tym celu przeprowadza się badanie kliniczne oraz odpowiednią diagnostykę obrazową pacjenta. Uwzględnia ona zdjęcie panoramiczne OPG jako podstawę dwuwymiarowego obrazowania podłoża kostnego oraz możliwe jest badanie tomograficzne CT lub bardziej precyzyjna tomografia stożkowa CBCT. Opcjonalnie wykorzystywana diagnostycznie tomografia pozwala na bardziej wnikliwą ocenę stopnia zaniku kości w trójwymiarowym, przestrzennym obrazie. 

TYPY ZANIKU KOSTNEGO

U pacjentów spotykamy 3 typy zaników kości wyrostka zębodołowego szczęk i żuchwy:

METODY, TECHNIKI I PROTOKOŁY ODBUDOWY TKANKI KOSTNEJ

ODBUDOWA KOSTNA PRZY UŻYCIU MATERIAŁU WŁASNEGO (AUTOGENNEGO)

Są to najstarsze metody odbudowy kostnej, uwzględniające potencjalnie najlepszy, bo własny materiał tkankowy. Przez długi czas uznawane były przez naukowców za jedyne skuteczne.

  • Użycie drobin kości własnej do pokrycia ubytków na niewielkim obszarze, jak obnażenia gwintu implantu podczas implantacji, obnażenie korzeni zęba czy furkacji korzeniowych. Wiórki kostne pobierane są podczas zabiegu specjalnymi aplikatorami (skrobaczkami) z powierzchni kości szczęk i żuchwy.
  • Bloczki kostne pobierane podczas zabiegu regeneracyjnego z okolicy jamy ustnej z kości żuchwy lub szczęki dla rekonstrukcji mniejszych trójwymiarowych ubytków kostnych.
  • Większe bloki kostne pobierane z odległych okolic ciała, jak talerz biodrowy, kość ciemieniowa, piszczel, żebro, stosowane dla większych trójwymiarowych rekonstrukcji kostnych.
  • Techniki mieszane, czyli bloczki kostne wraz z zastosowaniem metod sterowanej regeneracji kostnej GBR przy użyciu materiału kościotwórczego oraz membran zaporowych.

Metoda mieszana miała zabezpieczać przeszczepioną kość własną przed resorpcją, czyli jej zanikiem. Poza licznymi zaletami przeszczepów kostnych, jak dobra tolerancja oraz brak reakcji immunologicznych organizmu na nie, mają istotną wadę, polegającą na resorpcji w miejscu przeszczepu. Im większa objętość przeszczepu, tym potencjalnie większy jego zanik.

ODBUDOWA KOSTNA PRZY UŻYCIU MATERIAŁU OBCEGO (ALLOGENNEGO)

Znana od dziesięcioleci, lecz rzadziej używana metoda z zastosowaniem ludzkiego materiału obcego, który składowany jest w tak zwanych bankach kostnych pod różnymi postaciami:



Rzadziej używana metoda ze względu na:

ODBUDOWA KOSTNA PRZY UŻYCIU MATERIAŁÓW KOSCIOTWÓRCZYCH

SYNTETYCZNYCH – ALLOPLASTYCZNYCH
ODZWIECZĘCYCH – KSENOGENNYCH

Zabieg odbudowy zębodołu powinno się wykonać możliwe jak najszybciej po usunięciu zęba. Jego celem jest odbudowa naturalnej objętości kości w miejscu utraconego zęba, a następnie szybkie wprowadzenie implantu. Najlepsze rezultaty uzyskuje się przy zastosowaniu biomateriału w formie bloczków kolagenowych lub granulatu, które dają trwałe efekty odbudowy oraz optymalną funkcję i estetykę odtworzonych koron zębów na wszczepionym implancie.

Nasza klinika szczyci się tym, że dr R. Witkowski wraz z wybraną grupą polskich lekarzy brał udział w 2010 roku w ogólnopolskich badaniach oraz praktycznych i teoretycznych ustaleniach dotyczących ujednolicenia procedur regeneracyjnych dla zębodołów poekstrakcyjnych.

Procedury te są stosowane w sytuacji niedostatecznej ilości kości, skutkującej odsłonięciem gwintu, podczas gdy wszczepiamy implanty stomatologiczne lub też jako zabiegi poprzedzające ich wprowadzenie.​

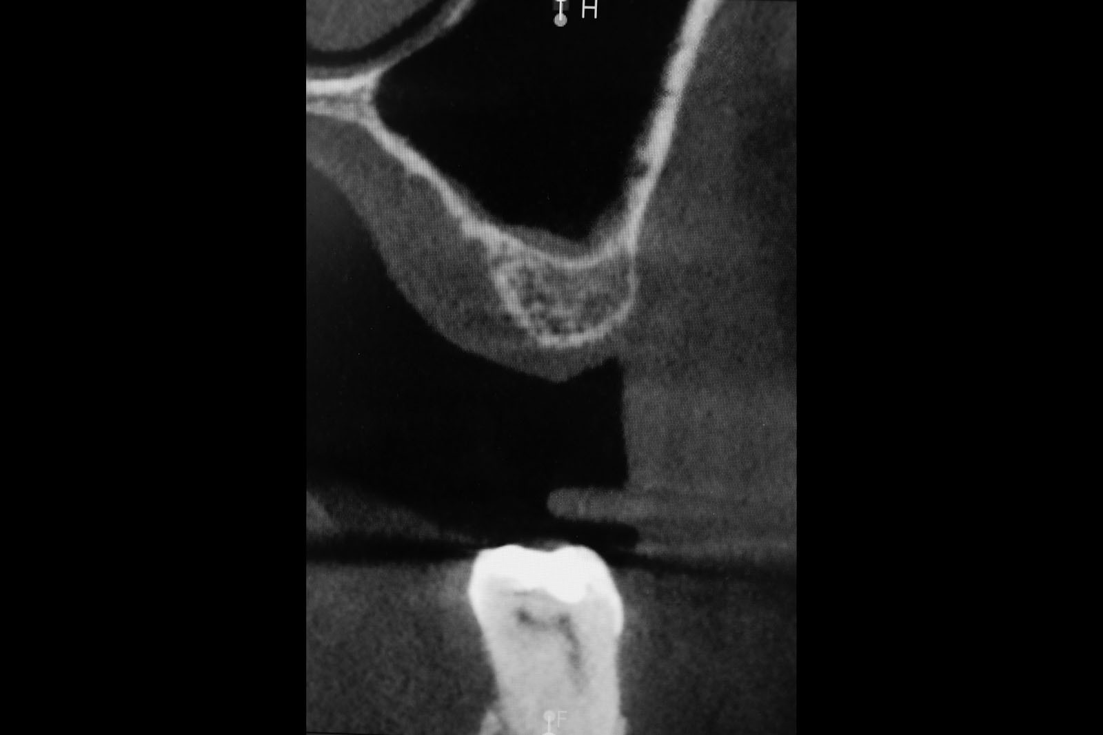
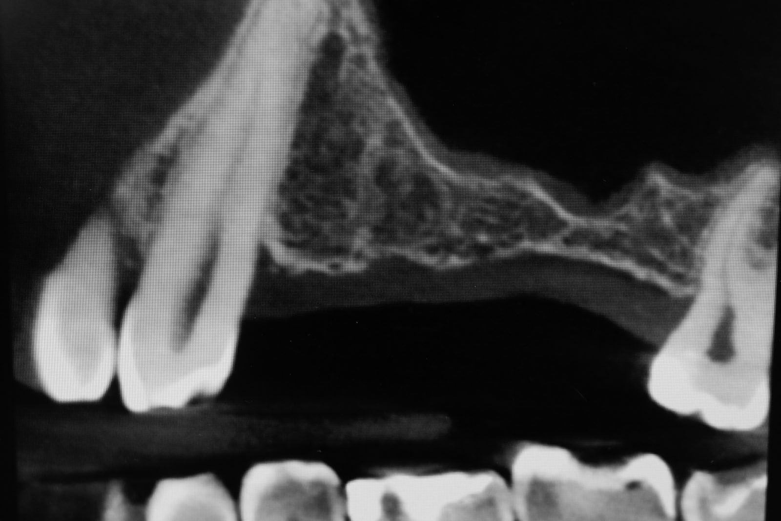
Zabiegiem, który rozwiązuje ten problem, jest podniesienie dna zatoki szczękowej, czyli odbudowa kostna w okolicy zębów trzonowych. Ubytek kości uzupełniany jest materiałem kościotwórczym, który układany jest pod błoną wyścielającą zatokę szczękową, zwaną membraną Schneidera. Zmniejszając objętość zatoki szczękowej, tworzy się tym samym stabilną strukturę kostną, umożliwiającą zabieg implantacji wszczepów śródkostnych.

ANATOMIA ZATOK SZCZĘKOWYCH:

Zatoki szczękowe to symetrycznie umieszczone w kościach szczęk przestrzenie powietrzne, posiadające komunikację z jamą nosa. Średnio pojemność zatok wynosi 24 cm3, a ściany wyścielone są błoną śluzową (membrana Schneidera). Dno zatoki szczękowej stanowi wyrostek zębodołowy, w którym umieszczone są zęby, często zlokalizowane tuż pod cienką wyściółką zatoki. Statystycznie najwęższy obszar kostny w tej strefie zlokalizowany jest na wysokości zębodołów pierwszego i drugiego zęba trzonowego.

METODY OPERACYJNEGO PODNIESIENIA DNA ZATOKI SZCZĘKOWEJ:

  • Metoda otwarta – opisana w 1980 przez Jamesa i Boyna – polega na chirurgicznym dostępie do zatoki szczękowej poprzez jej boczną ścianę, następnie delikatnej preparacji, oddzieleniu wyściółki (błony Schneidera) bez jej perforacji, umieszczeniu pomiędzy nią a dnem zatoki materiału odbudowującego kość. Zabieg podniesienia dna zatoki szczękowej może przebiegać z jednoczesnym wszczepieniem implantów lub wszczepieniem ich w czasie odroczonym o 6–8 miesięcy. Warunkiem jednoczesnego wszczepienia implantów jest możliwość pierwotnie stabilnego ich umocowania w pozostałej własnej kości wyrostka zębodołowego. Najmniejsza jej ilość wg niektórych autorów to 1 mm.
  • Metoda zamknięta – opisana w 1994 przez Summersa – bez szerokiego otwierania zatoki szczękowej, stosowana w sytuacjach wymagających niewielkiego zakresu rekonstrukcji na wysokość. W tej metodzie materiał regeneracyjny do odbudowy kości wprowadza się przez nawiercony kanał, komunikujący się z zatoką w pozycji zaplanowanej do wszczepienia implantu, lub tylko kondensuje się (zagęszcza, rozpycha i wydłuża) obszar kości dla uzyskania stosownej jej ilości i gęstości dla stabilnego umocowania implantu. Zabieg odbudowy kostnej wg Summersa wykonuje się przy użyciu specjalnego instrumentarium – zestawu osteotomów. Uzyskuje się dodatkowo 2–4 mm kości na wysokość

ALTERNATYWA DLA ZABIEGU SINUS LIFT

  • implanty wszczepiane pod kątem z unikaniem obszaru zatok, jak w technice all-on-4
  • krótkie implanty wykorzystujące wysokość zanikłej kości, które nie penetrują do światła zatoki szczękowej
  • implanty Zygoma mocowane w kości jarzmowej
  • implanty skrzydłowe
  • techniki nawigacyjne pozwalające zmierzyć cyfrowo warunki kostne i uniknąć kolizji ze szczegółami anatomii szczęk

MODYFIKACJE ZABIEGU PODNIESIENIA DNA ZATOKI SZCZĘKOWEJ:

  • Metoda balonowa – MEISINGER
  • Metoda przy użyciu zestawu wydrążonych implantów, przez które wprowadza się materiał dla regeneracji kostnej przy sinus lift – dr U. Berger, Izrael
  • Metoda przy użyciu zestawu Piezosurgery







Ta szczególna metoda używana jest w obszarze dolnego łuku zębowego w sytuacji braku dostatecznej ilości kości na wysokość. Metoda stosowana jest w sytuacji rozległych zaników kostnych w bocznych odcinkach żuchwy, w której wprowadzenie implantów groziłoby uszkodzeniem gałązek nerwowych nerwów zębodołowych dolnych. Gałązki nerwowe biegną wraz z naczyniami krwionośnymi we wspólnej pochewce w kanałach kostnych, umieszczonych symetrycznie po obu stronach w trzonach żuchwy.

Technika polega na chirurgicznym ich przemieszczeniu, a przez to stworzeniu bezpiecznego miejsca dla wszczepienia implantów o odpowiednej długości, co gwarantuje ich stabilną pozycję. Stosuje się ją wraz z zabiegiem rekonstrukcji kostnej przy użyciu biomateriałów w formie granulatu i membran. Zabieg ten stosowany jest rzadko, jako alternatywa rozległych regeneracji kostnych. Wybierany bywa jako alternatywa operacyjna tylko w sytuacji, gdy konwencjonalne metody odbudowy kostnej są niewystarczające lub generują ryzyko braku skutecznej odbudowy kostnej celem wszczepienia implantu.

Nasza klinika szczyci się tym, że dr Witkowski opracował własną technikę zabiegu transpozycji nerwów zębodołowych, która prezentowana była na Konferencji Towarzystwa Piezosurgery we Florencji w 2013 roku. 

REKONSTRUKCJA KOSTNA TRÓJWYMIAROWYCH UBYTKÓW PRZY UŻYCIU ZEWNĘTRZNYCH STABILIZATORÓW LUB NIERESORBOWALNYCH MEMBRAN, NADAJĄCYCH FIZJOLOGICZNY KSZTAŁT ODBUDOWIE KOŚCI

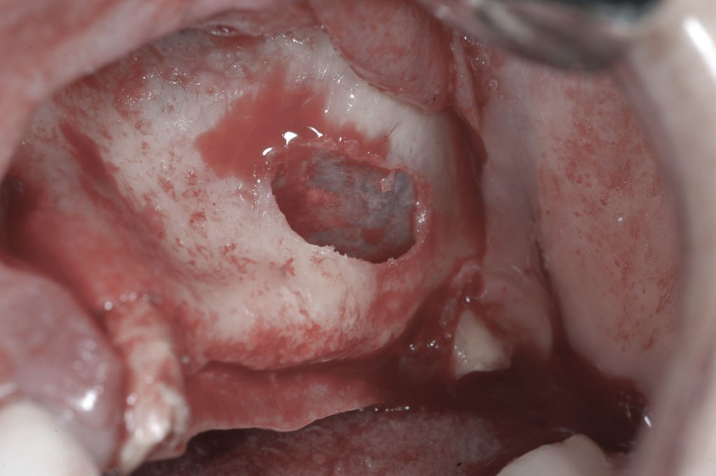
Technika ma wiele zalet, ponieważ przy użyciu nowatorskich materiałów i innowacyjnej technologii jako pierwsza umożliwiła odbudowę kostną wyrostka zębodołowego w zadanej formie i kształcie. Natomiast istotną wadą metody są występujące obnażenia membran podczas trwania procesu regeneracyjnego, które bywają przyczyną stanów zapalnych, zmuszających do przerwania procesu odbudowy kostnej i usunięcia błony. Sytuacja brzeżnego obnażenia błony wymaga zwykle jej usunięcia, natomiast centralne jej odsłonięcie rokuje kontynuację leczenia pod ścisłym rygorem częstych kontroli oraz wykonywania zabiegów higienizacyjnych.

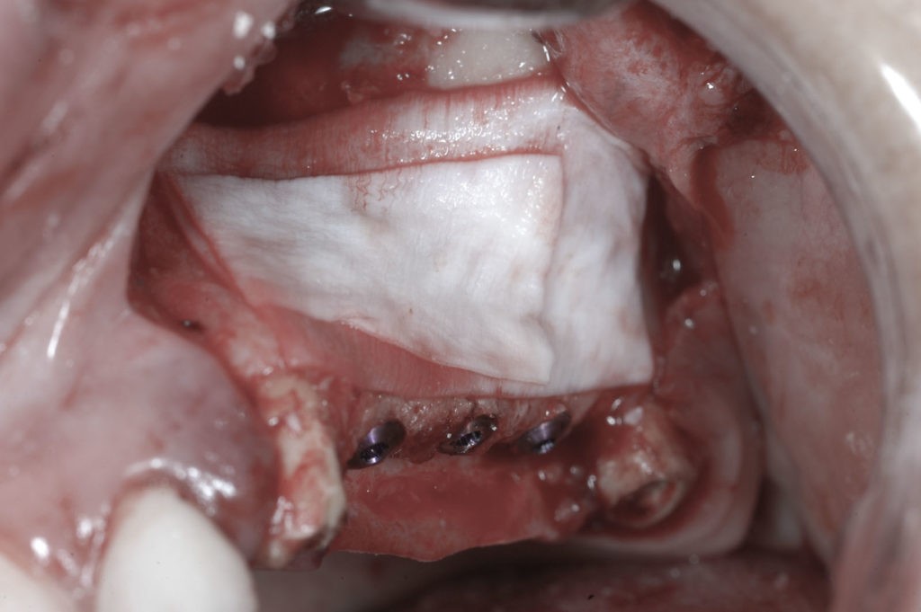
To kolejna metoda umożliwiająca precyzyjną odbudowę zadanego kształtu tkanki kostnej przy użyciu standardowych materiałów kościotwórczych, kości własnej lub PRF oraz zewnętrznego rusztowania w postaci siatki z biozgodnego stopu tytanu. Siatka jest indywidualnie projektowana w technologii CAD CAM i następnie drukowana dla konkretnego przypadku.

Dotychczas stosowane stabilizatory zewnętrzne w formie siatek tytanowych używane do regeneracji kostnej lub w zabiegach odtwórczych w chirurgii szczękowo-twarzowej uwzględniały materiały ręcznie doginane i formowane podczas zabiegu operacyjnego. Zastosowanie technologii CAD CAM dla potrzeb druku materiałów przeznaczonych do indywidualnej rekonstrukcji kostnej znacznie poprawiło precyzję i jakość uzyskiwanych efektów. Wdrożenie biozgodnych stopów tytanu do druku siatek zdecydowanie ograniczyło odsetek powikłań zapalnych.

Siatki stanowią stabilną obudowę – ograniczenie nadające kształt regenerowanej kości przy użyciu upakowanego pod nią materiału. Utrzymują i stabilizują rozdrobniony granulat kościotwórczy, co jest warunkiem prawidłowego procesu gojenia, jednocześnie nadając anatomiczny kształt i zakres odbudowie kostnej sprzed jej zaniku.

Precyzja projektu druku siatki bazuje na dokładności odwzorowania kształtu kości w stożkowej tomografii komputerowej CBCT, co zapewnia ich dobre przyleganie do podłoża kostnego oraz ogranicza powstawanie powikłań w postaci obnażania się siatek.

Precyzja projektu oraz materiał, z którego wykonana jest siatka (biozgodny stop tytanu), powodują, że obnażenie się siatki nie zaburza procesu gojenia i regeneracji kostnej. Wymaga jedynie większej ilości kontroli pozabiegowych oraz wzmaga czujność higieniczną zarówno ze strony lekarza, jak i pacjenta.

Ten rodzaj odbudowy kostnej stosowany jest w sytuacjach złożonych, trójwymiarowych 3D ubytków kości, przy których standardowe metody odbudowy są niewystarczające. Ilość kości, którą możemy uzyskać, stosując tę metodę, to nawet kilka centymetrów sześciennych.

Metoda rekonstrukcji kostnej w oparciu o indywidualnie drukowane siatki z tytanu dla implantacji wszczepów śródkostnych stosowana jest najczęściej jako dwuetapowa. W pierwszym etapie odbudowywana jest kość, natomiast implanty wszczepiane są po okresie 4–6 miesięcy. Na wgojenie implantów oczekujemy od 4 do 6 miesięcy w zależności od miejsca ich lokalizacji. Siatka tytanowa po spełnieniu swojej funkcji rusztowania dla odbudowującej się kości jest następnie usuwana w dniu wszczepienia implantu. Jeżeli kość spełnia odpowiednie warunki, istnieje możliwość zastosowania modyfikacji siatki tytanowej, która umożliwia jednoczesne wprowadzenie implantów wraz z odbudową kostną. Wariant ten skraca czas od pierwszego zabiegu do wykonania gotowych koron protetycznych na wprowadzonych implantach.

Opisane schematy procedur regeneracyjnych wykazują znaczną innowacyjność, jeśli chodzi o wykorzystanie technologii cyfrowej w medycynie odtwórczej. Natomiast w codziennej praktyce chirurgicznej poprawiają precyzję, tempo oraz przewidywalność w świadczeniu usług polegających na odbudowie zniszczonych lub zdeformowanych ludzkich tkanek.

Dr Witkowski prowadzi badania dotyczące tej metody w ramach projektu naukowego wraz z prof. Shahramem Ghanaatim, kierownikiem Departamentu Patologii oraz Chirurgii Szczękowo-Twarzowej i Plastycznej Uniwersytetu Medycznego im. Goethego we Frankfurcie oraz   dr Marcusem Seilerem, fundatorem firmy ReOss.

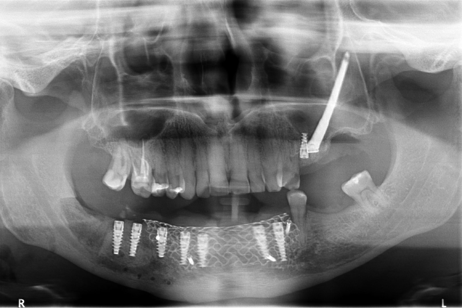
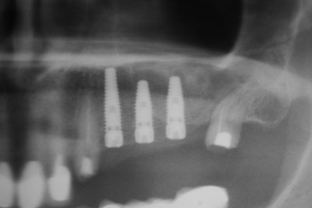
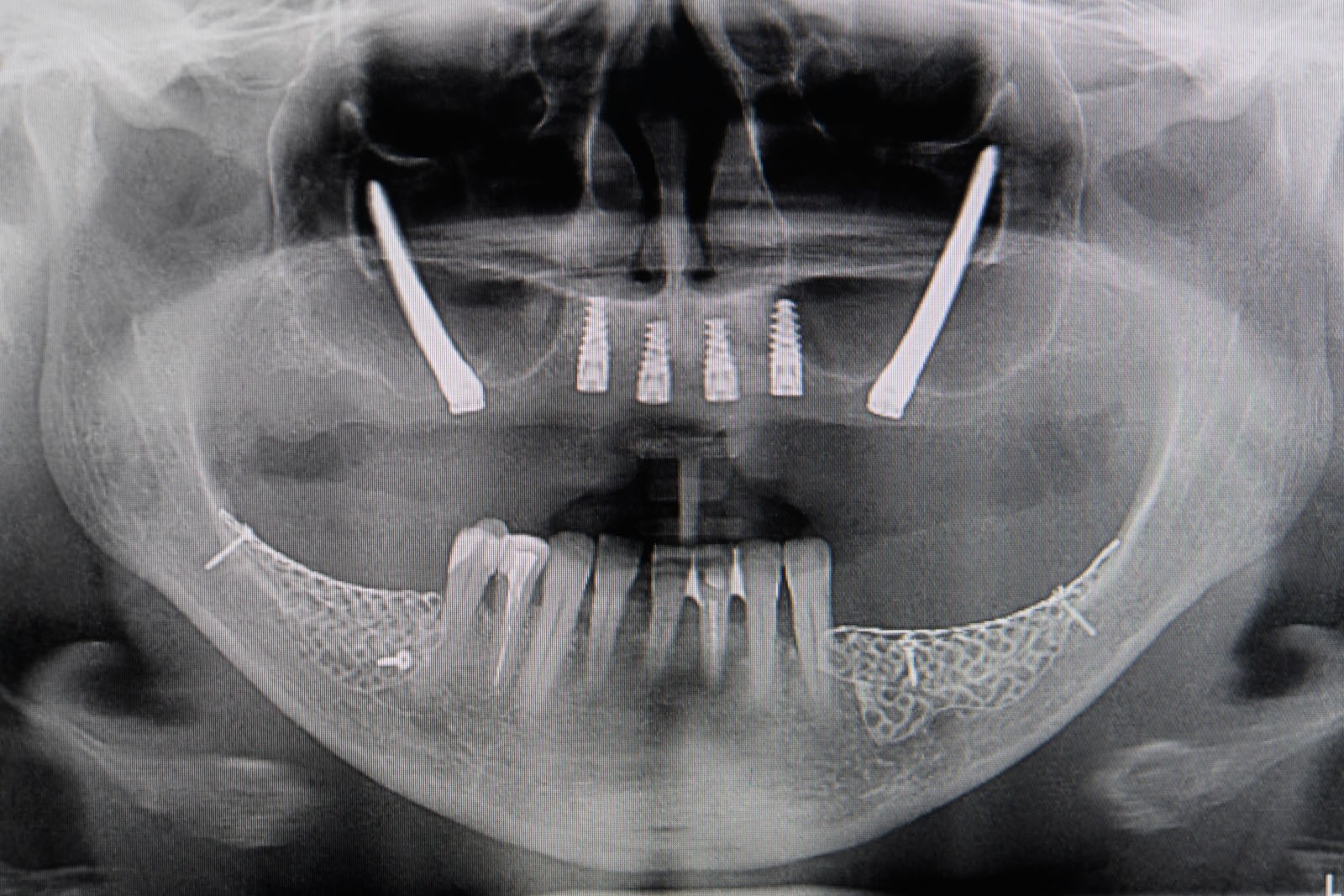
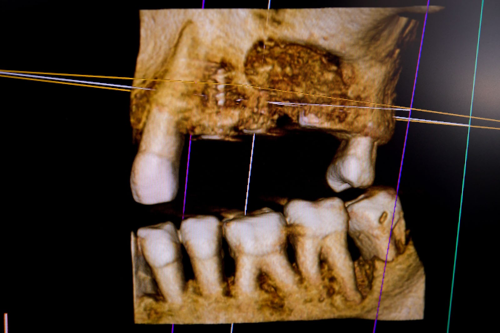
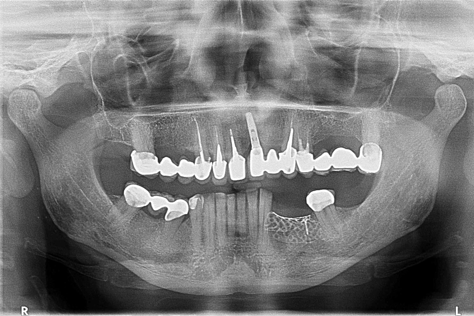
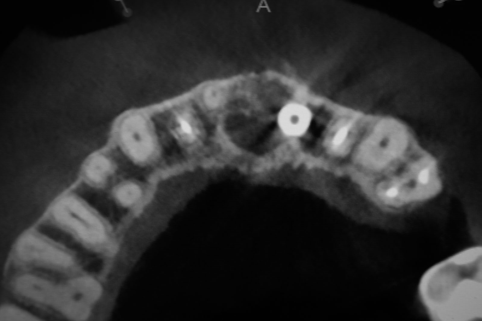
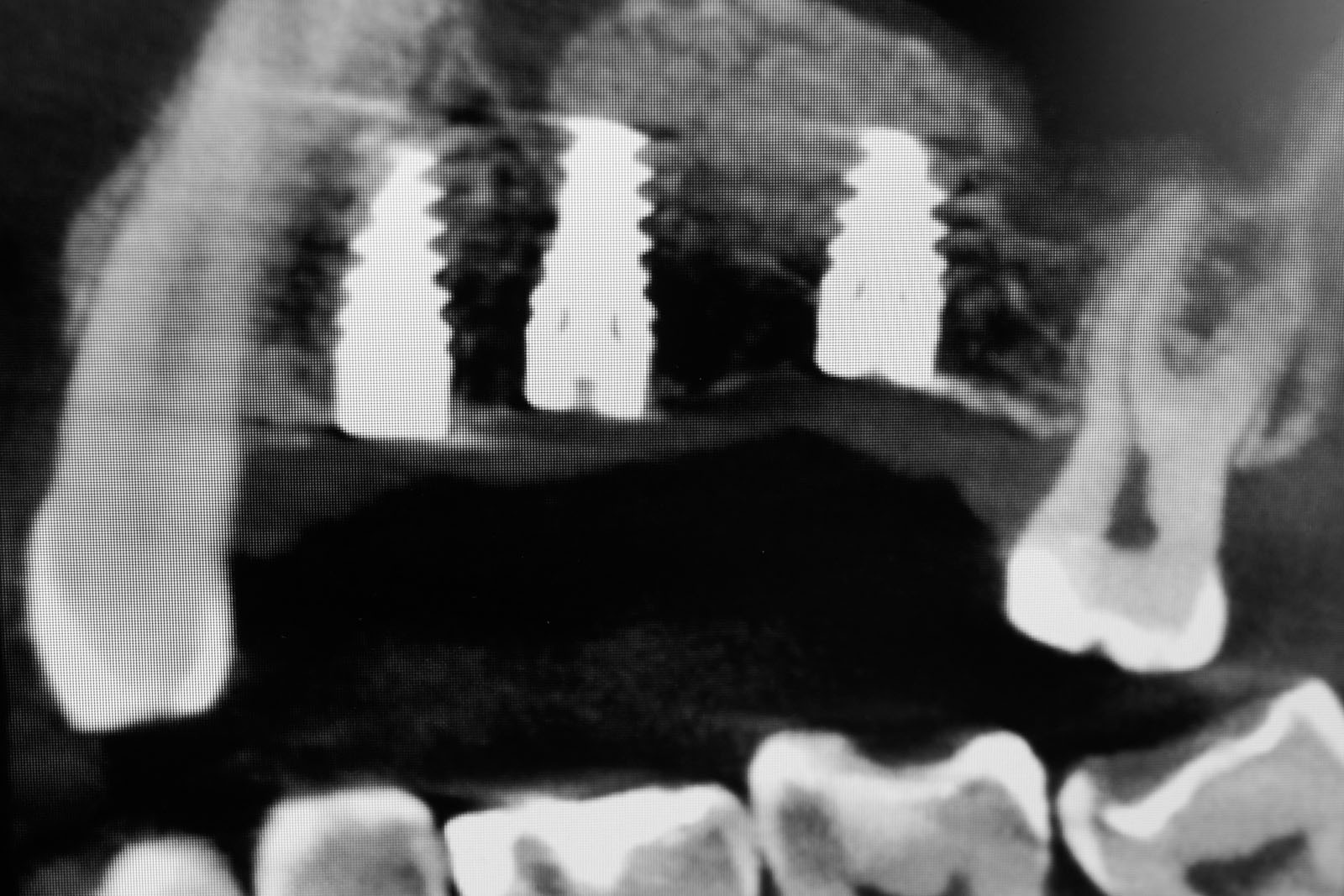
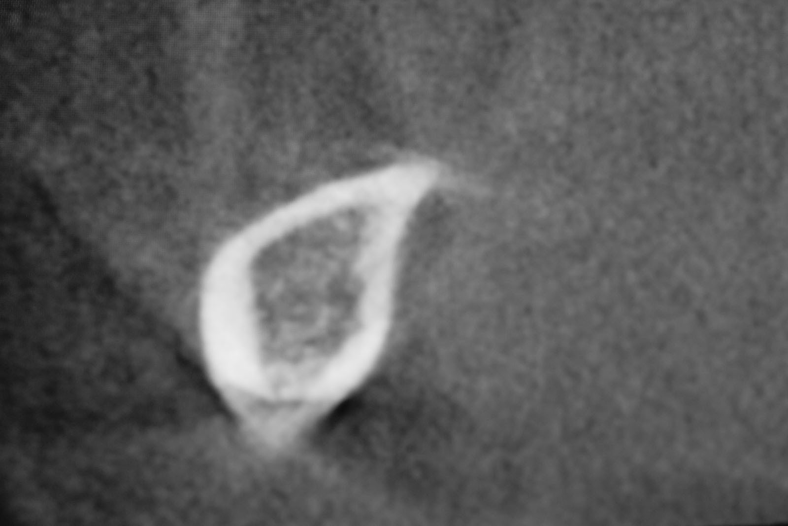
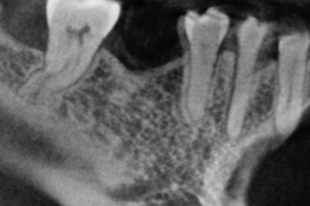
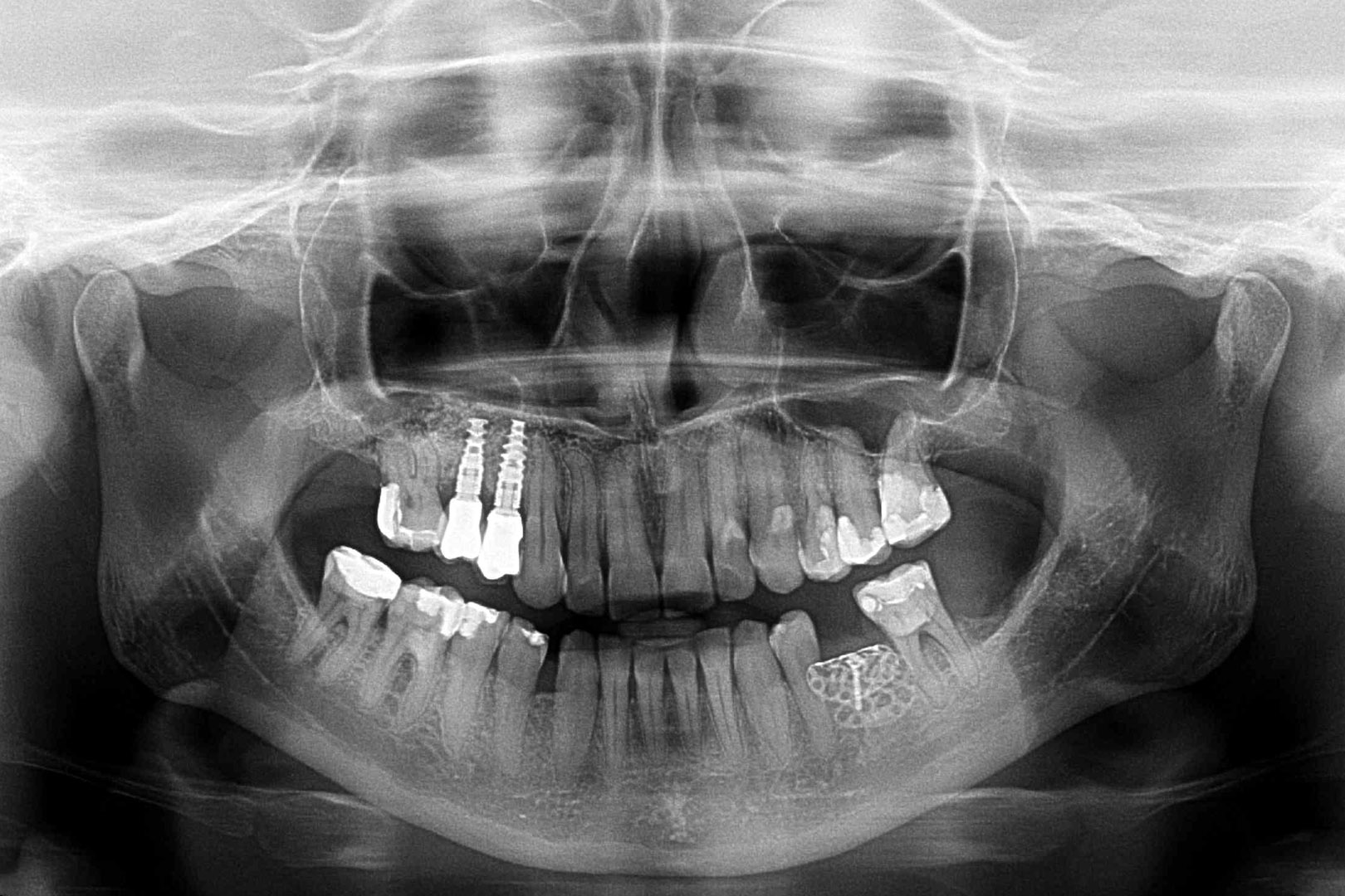
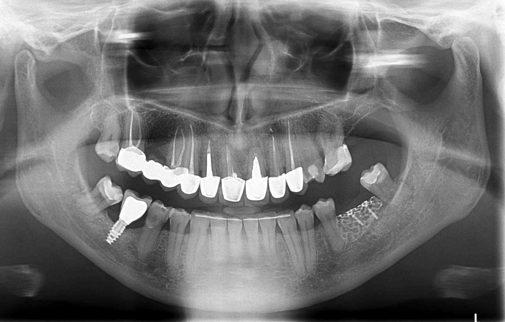
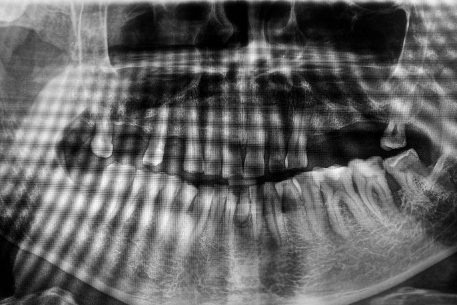
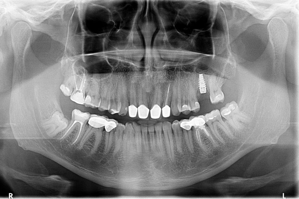
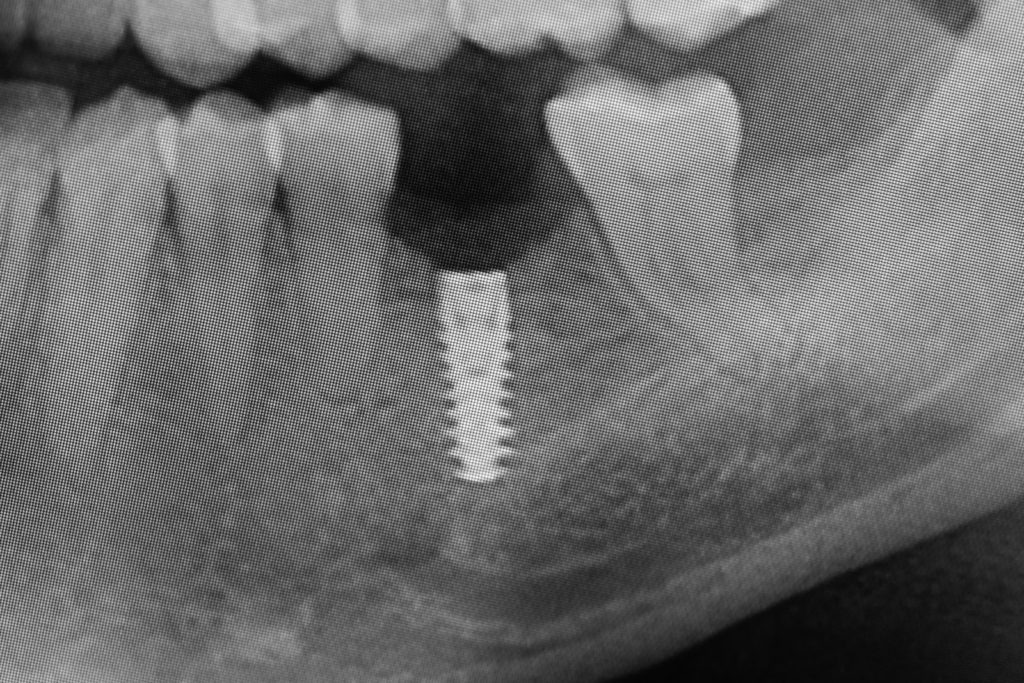
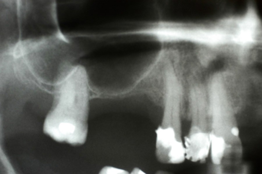
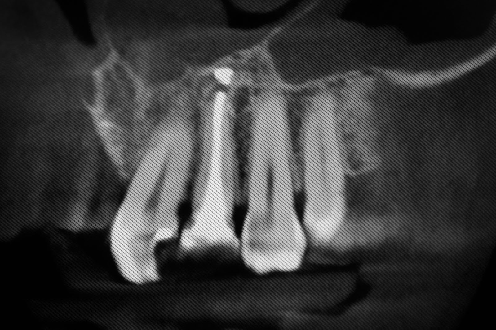
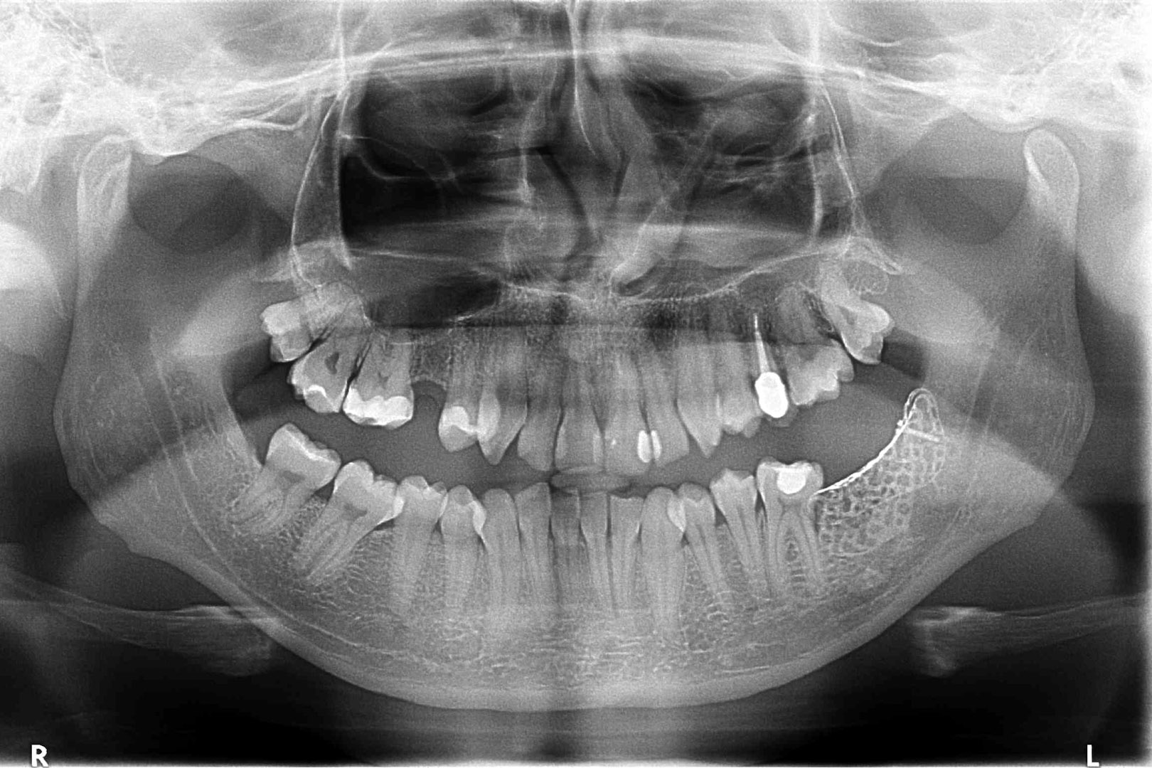
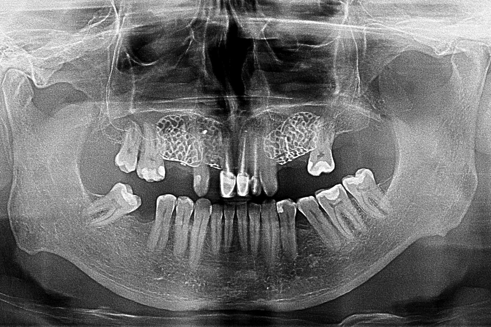
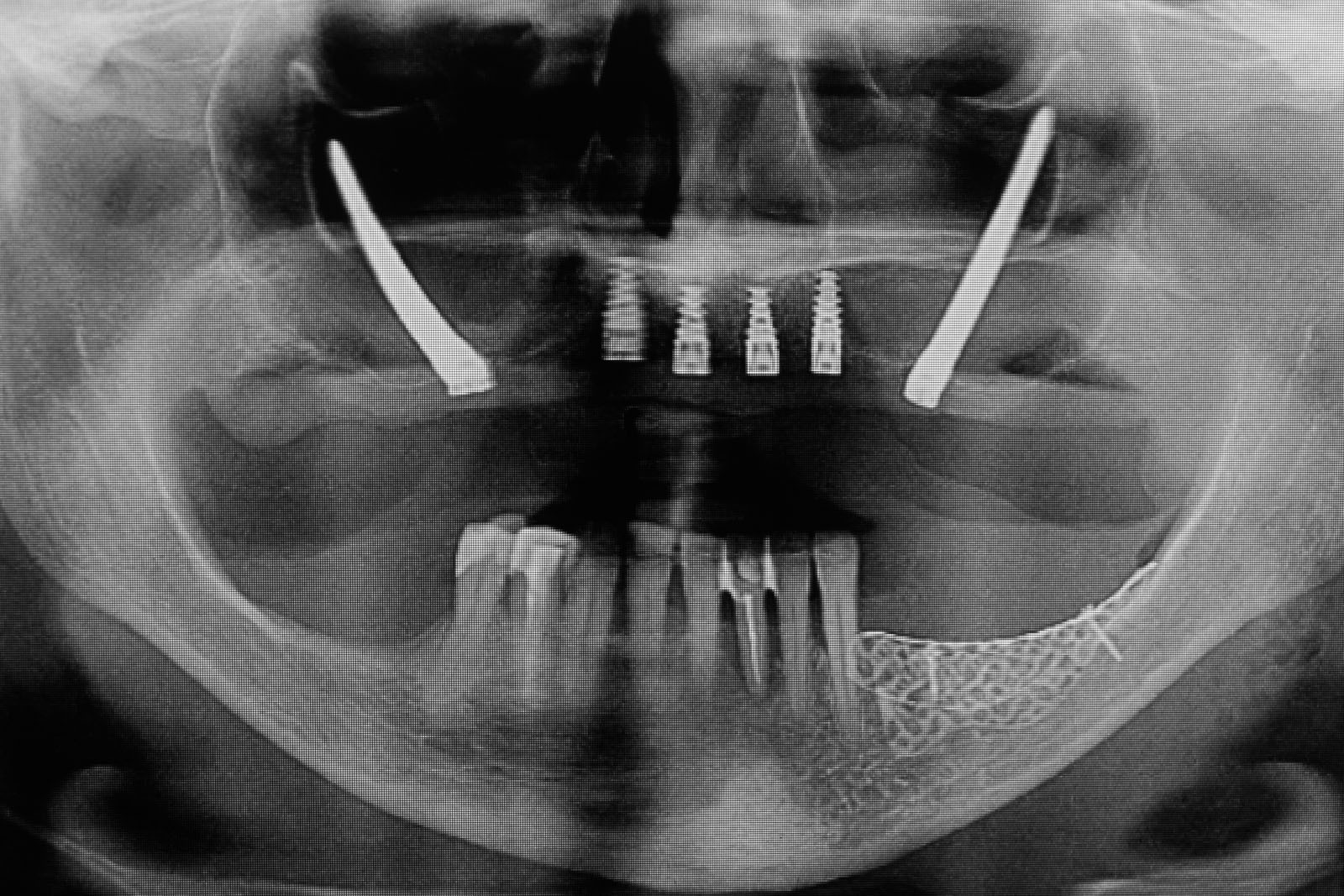
WYBRANE PRZYPADKI REKONSTRUKCJI 3D PRZY UŻYCIU SIATEK TYTANOWYCH REOSS

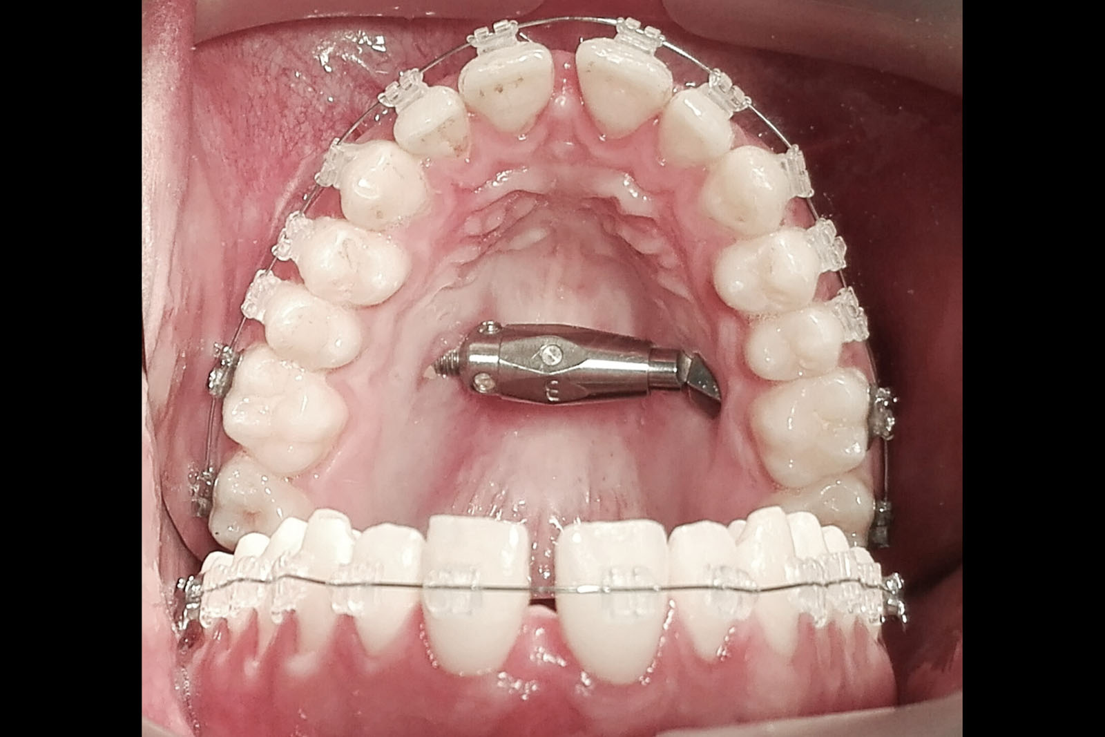
ZASTOSOWANIE DYSTRAKTORÓW KOSTNYCH ORAZ TECHNIK OSTEOGENEZY DYSTRAKCYJNEJ W ZAKRESIE WYROSTKA ZĘBODOŁOWEGO SZCZĘK I ŻUCHWY

Obecnie rzadko stosowana metoda odbudowy tkanki kostnej, która bazuje na naukowych podstawach z lat pięćdziesiątych ubiegłego stulecia. Prof. Ilizarov jako pierwszy opisał tę technikę, polegającą wówczas na wydłużaniu kości długich ludzkiego szkieletu. Metodę tę adaptowano dla potrzeb korekcji wad wrodzonych twarzowo-szczękowych oraz rekonstrukcji ubytków i deformacji kostnych w zakresie wyrostka zębodołowego szczęk i żuchwy.

Do wydłużenia i poprawy kształtu kości poddanej korekcie techniką osteogenezy dystrakcyjnej wykorzystuje się specjalne aparaty nazywane dystraktorami. Działają one poprzez rozkręcanie śrub, które aktywują proces wydłużania kości. W zależności od budowy dystraktora mogą one działać jedno-, dwu- lub trójwektorowo, czyli tylko wydłużać kość, rozciągać ją płaszczyznowo lub przestrzennie.

Aby zestaw rozciągający zadziałał, należy aktywować samą kość. Do aktywacji dochodzi na skutek nacięcia zewnętrznej, twardej blaszki kostnej, tzw. korowej, na zadanym kierunku lub pełnoprzekrojowego przecięcia kości. Po okresie kilku dni, gdy zaczyna się wytwarzać tkanka kostna bliznowata w miejscu przecięcia, rozpoczyna się aktywne rozkręcanie aparatu, a przez to wydłużanie wraz z wtórnym modelowaniem tkanki bliznowatej, która następnie mineralizuje się w strukturę kostną.

Istnieje wiele koncepcji ostedystrakcji, ich autorzy stworzyli własnego pomysłu opatentowane konstrukcje dystraktorów.

Niektóre mają nieskomplikowany system działania, natomiast służą do powolnej i fizjologicznej korekty nawet bardzo dużych wad czaszkowo-szczękowo-twarzowych oraz ortognatycznych.

ZALETY DYSTRAKCJI 

Dr Witkowski brał udział w licznych kursach oraz szkoleniach dotyczących technik osteodystrakcji i stosuje je w praktyce chirurgicznej.

ZASTOSOWANIE AUTOGENNYCH MATERIAŁÓW POZYSKIWANYCH Z ODWIROWANEJ KRWI OBWODOWEJ PACJENTA – A-PRF i-PRF

Szczególna metoda wykorzystująca technikę wolnego wirowania własnej krwi Low Speed Centrifugation Concept LSCC, która została opisana przez dr. Josepha Choukrouna i prof. Shahrama Ghanaatiego. Jej celem jest pozyskanie autogennych odwirowanych frakcji A-PRF i-PRF, które służą do naturalnej regeneracji tkanek bez zastosowania odczynników chemicznych. Technika uwzględnia użycie nowoczesnej wirówki PRF DUO zaprojektowanej przez dr. J. Choukrouna. Urządzenie stosowane jest do frakcjonowanej separacji komórek krwi i osocza w celu pozyskiwania autogennych materiałów używanych do regeneracji tkanek. Dzięki udoskonaleniom oprzyrządowania, powstałym w oparciu o opracowania naukowe prof. S. Ghanaatiego, możliwe jest obecnie pozyskiwanie kilku frakcji osoczowych, mających różną konsystencję oraz zastosowanie.

PRF Platelet Rich Fibrin to bogatopłytkowa fibryna, nazywana autogenną membraną. Należy do nowej generacji koncentratów płytkowych o uproszczonym sposobie przygotowywania.

Procedura polega na pobraniu krwi żylnej od pacjenta w trakcie zabiegu do 10-mililitrowych probówek przy użyciu dedykowanych wenflonów. Krew pobiera się dzięki podciśnieniu panującemu w zestawach, a gromadzi się ją w jednym z dwóch typów probówek bez używania substancji przeciwkrzepliwych. Następnie po umieszczeniu ich parzystej ilości naprzeciw siebie wewnątrz wirówki PRF DUO wiruje się je zgodnie z zaprogramowaną siłą i czasem. W zależności od użytego programu wirowania otrzymujemy materiał dla różnych zastosowań w regeneracji tkanek.

Frakcja A-PRF to biologicznie czynna matryca bogatofibrynowa, która jest aktywna w odbudowie zarówno tkanek twardych, jak i miękkich. Występuje w formie żelu, który służy jako autogenny dodatek do nieautogennych materiałów kościotwórczych lub formuje membranę służącą izolacji obszaru regenerowanego.

Frakcja i-PRF jest odwirowana do postaci płynnej. Pobrana do strzykawki pozwala na precyzyjną aplikację w regenerowany obszar. Zaaplikowana lub zmieszana z biomateriałem zwiększa potencjał organizmu, stymulując go do biologicznej regeneracji.

Regeneracja tkanek przy użyciu PRF polega na poprawie i przyspieszeniu angioneogenezy, czyli tworzenia się nowych naczyń krwionośnych w obszarze regenerowanym oraz namnażaniu się młodych komórek odpowiedzialnych za reperację tkanki miękkiej i odbudowę tkanki kostnej.

Największą zaletą tej metody jest pozyskanie własnego materiału z mechanicznie separowanej krwi obwodowej pacjenta, który w odróżnieniu od substancji sztucznych lub obcogatunkowych cechuje naturalna biozgodność. Produkty obce niosą ze sobą większe ryzyko nieprzyswojenia ich przez organizm lub wystąpienie nadmiernej reakcji alergicznej.

Niektóre z zastosowań fibryn bogatopłytkowych

  • Standardowe zabiegi regeneracyjne wokół implantów
  • Podniesienie dna zatokiszczękowej
  • Zamykanie perforacji błony wyścielającej zatokę

URZĄDZENIA POMOCNE W ZABIEGACH REGENERACJI TKANKOWEJ

FAQ - REGENERACJA KOŚCI I TKANEK MIĘKKICH

WITKOWSKI-IKONY-28

Zanik kości jest procesem fizjologicznym, który występuje po usunięciu zębów. W ciągu pierwszych 6 tygodni po ekstrakcji zanika do 60% tkanki kostnej. W późniejszym okresie zanikanie spowalnia. Dlatego też im mniej czasu upłynęło od utraty zęba, tym większe szanse na utrzymanie odpowiedniej objętości kostnej dla implantacji, o ile w protokole uwzględnimy zabiegi regeneracyjne. Nie zrekonstruowany w odpowiednim czasie ubytek kostny może powodować zaniki i deformacje, które mocno ograniczają możliwości leczenia implantologicznego.

Regeneracja kostna to odbudowa kostna przy użyciu odpowiednich technik/procedur oraz materiałów kościotwórczych.

Rozwój chirurgii stomatologicznej i szczękowo-twarzowej pozwolił na opracowanie procedur zabiegowych dla regeneracji kostnej u osób, u których doszło do jej zaniku, deformacji lub uszkodzenia. Dzięki nim możliwe staje się zastosowanie implantów stomatologicznych u znacznie większej grupy pacjentów. Ocenia się, iż obecnie regeneracja kości staje się niezbędna w ponad 50% przypadków wszystkich zabiegów implantacji, gdyż warunkiem wszczepienia implantu i osiągnięcia pełnego sukcesu jest odpowiednia ilość kości. Niedostateczna ilość kości ogranicza lub uniemożliwia leczenie implantologiczne.

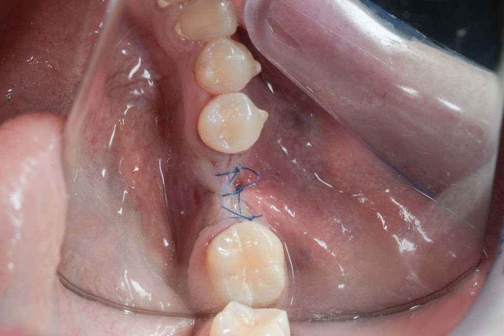
Regeneracja kostna polega na umieszczeniu w rekonstruowanej okolicy materiału kościotwórczego oraz pokrycie go specjalną błoną zaporową, dzięki której regenerowany obszar chroniony jest przed wrastaniem tkanek miękkich. Po kilku miesiącach na skutek działania procesów regeneracyjnych i remodelujących materiał ulega przebudowie na pełnowartościową, własną tkankę kostną pacjenta, w którą bez obaw można wprowadzić implanty stomatologiczne. Obecnie istnieje wiele innych protokołów regeneracyjnych dla kości, uwzględniających zastosowanie różnego typu błon zaporowych, siatek tytanowych oraz uzyskanych i odwirowanych z krwi autogennych czynników wzrostu.

Zaletą regeneracji kostnej jest m.in. uniknięcie dodatkowych procedur chirurgicznych związanych z koniecznością pobierania kości autogennej (własnej) z miejsc dawczych organizmu pacjenta. Obecnie wykonuje się coraz więcej zabiegów implantologicznych u pacjentów z dużymi zanikami kostnymi, u których jeszcze do niedawna takie zabiegi były niemożliwe. Pierwotnie implanty umieszczano w kościach szczęk tylko w tych miejscach, w których była odpowiednia jej ilość i gęstość, co znacznie ograniczało wskazania do ich stosowania.

Regenerację kostną stosujemy w przypadku:

– odbudowy wyrostka zębodołowego do implantacji

– odbudowy kości wokół implantu umieszczonego w zębodole poekstrakcyjnym

– podnoszenia dna zatoki szczękowej

– wypełniania ubytków kostnych po ekstrakcjach zębów, resekcjach, wyłuszczania torbieli

– rekonstrukcji wyrostka zębodołowego do uzupełnień protetycznych

– naprawy ubytków kostnych spowodowanych paradontozą, wzmocnienia zębów rozchwianych

Odbudowa tkanki kostnej może być przeprowadzona jednocześnie z wprowadzeniem wszczepów lub podczas oddzielnego zabiegu, wykonywanego przed rozpoczęciem procedur implantologicznych.

Materiał kościotwórczy występuje zazwyczaj w formie granulatu o różnej grubości drobin. Może być materiałem odzwierzęcym, syntetycznym lub homogennym. W Polsce statystycznie najczęściej używane są materiały pochodzenia odzwierzęcego pozyskane od zwierząt kręgowych. Usypany do ubytku ma on za zadanie stworzenie mineralnego szkieletu dla odbudowującej się tkanki kostnej. W trakcie jej tworzenia materiał ulega integracji z tkanką pacjenta.

Membrana kolagenowa to cienka błona w formie prostokąta o różnych wymiarach, która ułożona w miejscu odbudowy ma za zadanie izolację nowo tworzącej się kości w ubytku od wnikania włóknistej tkanki podśluzowej, która zaburza proces osteogenezy.

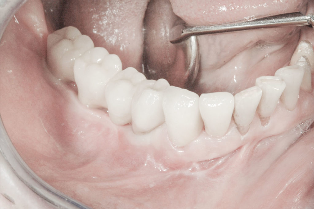
Bloki kolagenowe używane są najczęściej do odbudowy geometrycznych, trójwymiarowych ubytków kostnych, których doskonałym przykładem jest zębodół po ekstrakcji zęba. Jest to jeden ze sposobów na procedurę „socket preservation”, czyli natychmiastową lub wczesną odbudowę zębodołów poekstrakcyjnych dla osiągnięcia optymalnych efektów estetycznej odbudowy protetycznej koron zębów na implantach.

Membrana kolagenowa to cienka błona w formie prostokąta o różnych wymiarach, która ułożona w miejscu odbudowy ma za zadanie izolację nowo tworzącej się kości w ubytku od wnikania włóknistej tkanki podśluzowej, która zaburza proces osteogenezy.

Czas procesu gojenia, czyli mineralizacji regenerowanej kości bywa różny. Czas trwania odbudowy kostnej uzależniony jest od rozmiarów ubytku, od tego, czy kości brakuje w jednym, dwóch czy wszystkich trzech wymiarach. Wpływ ma także technika operacyjna oraz zastosowane materiały czy elementy dodatkowe stabilizujące proces trójwymiarowej regeneracji, np. indywidualnie drukowane siatki tytanowe. Ogólnie przyjmuje się, że proces odbudowy kostnej trwa od 4 do 6, a nawet 8 miesięcy.

PRF jest to autogenny materiał pozyskiwany z krwi pacjenta, którą pobiera się bezpośrednio przed zabiegiem chirurgicznym i poddaje odwirowaniu. Po odwirowaniu krwi przy odpowiednich parametrach czasu i częstotliwości wirowania otrzymujemy frakcję od płynnej po gęstą – czyli różne frakcje PRF – osocza bogatofibrynowego. Otrzymaną gęstą postać fibryny bogatopłytkowej, dzięki temu, że jest bardzo sprężysta i wytrzymała, można łatwo uformować i umieścić w polu operacyjnym. Płynną frakcję dodaje się do materiału kościotwórczego w celu przyśpieszenia fizjologicznych procesów gojenia.

Stosowanie do regeneracji kostnej odwirowanej krwi własnej pacjenta przeciwdziała powstaniu infekcji, przyśpiesza tworzenie nowych naczyń krwionośnych i przyśpiesza gojenie.

KONTAKT

WIĘCEJ INFORMACJI

SZYBKI EMIAL

© 2017 STOMATOLOGIA ESTETYCZNA IMPLANTOLOGIA DR RADOSŁAW WITKOWSKI Wszystkie prawa zastrzeżone