STOMATOLOGIA ZACHOWAWCZA / ESTETYCZNA podstawowa dyscyplina stomatologiczna
Stomatologia zachowawcza to dział stomatologii zajmujący się profilaktyką i leczeniem próchnicy oraz pozostałych chorób twardych tkanek zębów.
Nawet przy regularnej higienie jamy ustnej, bywa, że ząb przegrywa z bakteriami i rozpoczyna się proces próchniczy. Dotyczy to najczęściej pacjentów o niewłaściwych nawykach higienicznych i nasilonych, indywidualnych skłonnościach do próchnicy. W wyniku tego dochodzi do niszczenia twardych tkanek zęba, objawiających się powstawaniem ubytków. Próchnica i jej następstwa ciągle są przyczyną utraty zębów.
Leczenie chorób tkanek twardych zęba – leczenie zachowawcze zęba, polega na oczyszczeniu ubytku z próchnicy i odbudowie brakującej tkanki odpowiednim materiałem. Wypełnienie powinno być trwałe, szczelne, odporne na ścieranie, estetyczne, działać przeciwbakteryjnie oraz remineralizująco na twarde tkanki zęba.
Materiały stosowane do wypełnień
GLASJONOMERY szkło-jonomery to materiały które charakteryzuje wysoka wytrzymałość oraz bardzo dobra adhezja do tkanek zęba (szkliwo i zębina). Dodatkową zaletą jest powolne uwalnianie jonów fluoru zawartych w ich strukturze. Powoduje to remineralizację twardych tkanek zęba i ogranicza rozwój próchnicy. Ze względu na swoje właściwości glasjonomery znalazły zastosowanie jako szczelne i długoterminowe wypełnienia tymczasowe oraz materiały podkładowe pod wypełnienia ostateczne.
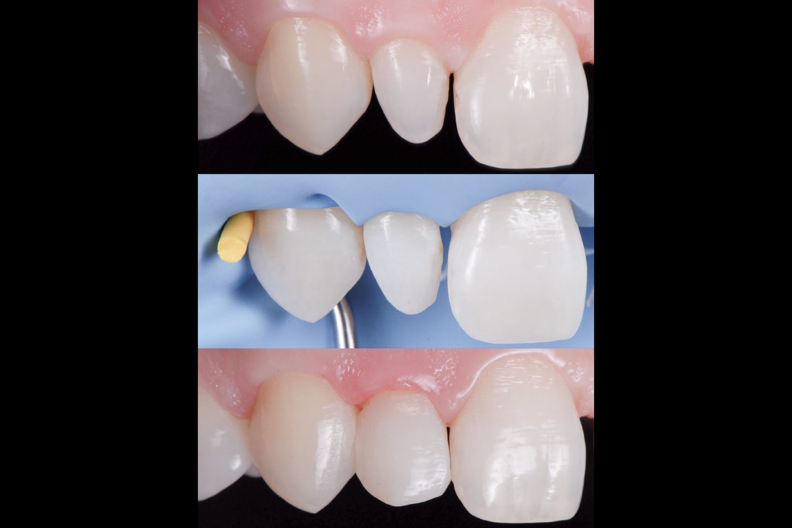
MATERIAŁY KOMPOZYTOWE. Ze względu na szeroki ich wybór, właściwości, dostępność na rynku usług stomatologicznych, stanowią one podstawę jako materiały do wypełnień we współczesnej stomatologii zachowawczej oraz estetycznej. Ze względu na skład i jego proporcje składników organicznych do nieorganicznych można podzielić je na materiały mikrocząsteczkowe, makrocząsteczkowe oraz hybrydowe.
Mają zastosowanie w odbudowie wszystkich typów ubytków twardych tkanek zęba. Dzięki ich właściwościom fizykochemicznym dają możliwość estetycznej odbudowy poprzez trwałe i wierne przywrócenie anatomii koron zębowych. Odbudowa kształtu koron klinicznych zębów odtwarza ich fizjologię dzięki rekonstrukcji punktów stycznych, modelowaniu anatomicznego kształtu guzków i bruzd powierzchni zgryzowych. Różnorodność składu i budowy materiałów kompozytowych, umożliwia ich wszechstronne zastosowanie zarówno do odbudowy rozległych wielopłaszczyznowych ubytków w zębach trzonowych jak i precyzyjnych uzupełnień estetycznych w zakresie koron zębów przednich.
Odbudowa ubytków oraz struktur twardych tkanek zębów materiałem kompozytowym może przybrać formę
- wypełnienia odtwarzającego fragment korony zęba przy użyciu ręcznie formowanego materiału
- licówki kompozytowej czyli wykonanego w laboratorium estetycznego uzupełnienia licowej powierzchni korony zęba
- wypełnienia typu inlay, onlay czyli estetyczne, idealnie odtwarzające anatomię zęba w miejscu ubytku wypełnienie, stosowane w dużych rozmiarach ubytków. Odbudowa wykonywana jest na podstawie wycisków lub skanów w laboratorium protetycznym. Jej zaletą jest trwałość, szczelność i odporność na ścieranie.
Nasz gabinet oferuje szeroką gamę kompozytów renomowanych firm, które idealnie odwzorowują naturalną tkankę zęba, pozwalają odbudować złamany ząb, korygować wady twardych tkanek zęba, zmieniać jego kształt, nadbudowywać patologicznie starte brzegi sieczne.
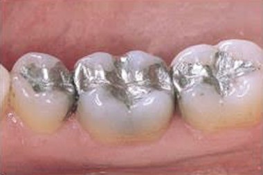
AMALGAMATY SREBRA to materiał starszej generacji, chemicznie jest to stop, uważany również za roztwór, którego składowymi są rtęć, srebro, miedż i cyna. Wypełnienia amalgamatowe są trwałe oraz przy zachowaniu poprawki przy preparacji twardych tkanek na obrzeżu ubytku są również szczelne i funkcjonują przez długi okres czasu. Ze względu na skład metali mają działanie oligodynamiczne – przeciwbakteryjne. Wadą jest kolor, a co za tym idzie estetyka. Kolor srebrnoszary kontrastuje z naturalna barwą zębów. Dlatego używany był głównie do wypełnień ubytków w zakresie zębów bocznych. Ze względu na mankamenty estetyczne zastępowany jest przez materiały kompozytowe, które spełniają oczekiwania estetyczne i funkcjonalne. Amalgamaty mają skłonność do alergizowania organizmu.
WYPEŁNIENIA CERAMICZNE znajdują zastosowanie podobnie jak materiały kompozytowe dla estetycznej odbudowy części korony zęba przy użyciu laboratoryjnie wykonanych uzupełnienień typu inlay, onlay . Prawidłowo wykonane i zamontowane w ubytku cechuje trwałość, estetyka oraz iodporność na ścieranie.
Pogłębianie umiejętności manualnych oraz wiedzy naszych specjalistów, wdrażanie innowacji, pozwala dziś przywracać zmienione próchniczo zęby do ich stanu pierwotnego. Odbudowa zęba teraz to zabieg szybki i komfortowy dla pacjenta. Trudno dziś odróżnić prawidłowo odbudowany ząb od pozostałych naturalnych i zdrowych.
Pomocne w perfekcji wykonania wypełnień jest zastosowanie odpowiednich narzędzi dla wykonania oraz wykończenia wypełnień. Są to
- zestawy wierteł dla precyzyjnego i oszczędnego opracowania ubytków,
- zestawy narzędzi do estetycznej odbudowy materiałem kompozytowym ubytku,
- narzędzia pomocne w perfekcyjnym uformowaniu materiału typu kształtki proste, złożone, pierścieniowe Nystroma, kształtki jednościenne, kształtki sekwencyjne, formówki, paski, kliny drewniane, przezierne plastikowe,
- narzędzia do precyzyjnego wykończenia powierzchni wypełnienia zestawy wierteł, odpowiednie zestawy narzędzi rotujących ( wiertła diamentowe o dobranym kształcie do anatomii powierzchni odtwarzanej zęba, kamienie diamentowe, krążki do polerowania, gumki różnych kształtów),
- materiały do precyzyjnego wykończenia powierzchni wypełnienia pasty polerskie różnego stopnia ścieralności
KOFERDAM
- Izolacja leczonego zęba od śliny
- zabezpieczenie pacjenta przed zakażeniem
- zabezpieczenie przed przypadkowych dostaniem się do dróg pokarmowych lub oddechowych narzędzi lub płynów
- zabezpieczenie błony śluzowej przed zranieniem wiertłem lub podrażnieniem wywołanym używanymi przy leczeniu substancjami
- usprawnienie i skrócenie czasu pracy, poprzez suchość pola zabiegowego - eliminacja potrzeby ciągłej zmiany wałeczków pochłaniających wilgoć
- skuteczna ochrona lusterka przed parowaniem
- lepsza widoczność podczas zabiegu, poprzez odsunięcie policzków i języka
- komfort dla pacjenta
STOMATOLOGIA ESTETYCZNA
Rośnie zapotrzebowanie na usługi medycyny estetycznej. Niemalże wymogiem dzisiejszych czasów stał się estetyczny wygląd ciała jak i twarzy człowieka. Stomatologia jako dziedzina medycyny również wyodrębniła pakiet/ zestaw zabiegów mających na celu w zamierzeniu głównie poprawę wyglądu zębów. Stomatologia estetyczna jako współcześnie wyodrębniony dział stomatologii zachowawczej zajmuje się poprawą wyglądu zębów, a co za tym idzie i twarzy.
Zabiegi oferowane w ramach zestawu usług z zakres stomatologii estetycznej poprawiają jedynie optycznie uśmiech i powinny być poprzedzone odpowiednią kwalifikacją zębów, których stan zdrowia winien być nienaganny. Zdrowe zęby są warunkiem przystąpienia do cyklu zabiegów poprawiających estetykę uzębienia.
Warunkiem wykonania zabiegów poprawiających jedynie wygląd uzębienia powinny być poprzedzone kwalifikacją i leczeniem zębów, których stan zdrowia winien być nienaganny.
Zaangażowanie nowoczesnej technologii, uściślenie reguł specjalizacji dobór właściwych materiałów dają możliwość znaczącej poprawy estetyki uzębienia, którego zmiany wyglądu dotyczą zarówno ujednolicenia koloru poprzez likwidacje przebarwień jak również kształtu koron zębowych.
Zabiegi z zakresu stomatologii estetycznej
Przywracają lub tworzą od podstaw piękny uśmiech.
- usuwanie kamienia nazębnego- skaling, który nie tylko uwalnia obrzeże szyjek zębowych ze złogów nazębnych kamienia i osadu, zapobiegając tym samym chorobom dziąseł jak i twardych tkanek zębów lecz również odświeża wygląd zębów poprzez przywrócenie naturalnego koloru i połysku.
- piaskowanie jako zabieg uzupełniający higienizację/skaling w sytuacjach znacznego nagromadzenia złogów nazębnych w przestrzeniach trudno dostępnych. Powoduje redukucję lub usunięcie nawet trwałych przebarwień, ujednolica barwę, a oba powyższe zabiegi przygotowują zęby do dalszych procedur przywracających naturalny lub poprawiony kolor i ich wygląd.
- wybielanie zębów lampą generującą światło UV – opatentowana metoda polegająca na nałożeniu odpowiednio stężonego preparatu na zęby oraz następnie naświetlaniu lampą. Jest to szybka i skuteczna metoda na poprawienie barwy zębów. w ten sposób można osiągnąć wymierne efekty już podczas jednej wizyty, która może trwać tylko 30 minut.
- wybielanie nakładkowe zębów – zabieg przeprowadzany w domu pacjenta, który samodzielnie dozuje sobie żel wybielający do uprzednio przygotowanych w laboratorium protetycznym indywidualnych nakładek, które nakłada na zęby. Proces wybielania nakładkowego można ukończyć z pozytywnym efektem do 4 tygodni.
- estetyczne wypełnienia oraz rekonstrukcje kształtu koron zębów. Przywrócenie idealnego kształtu zębów możliwe jest dzięki zastosowaniu odpowiednich materiałów. Anatomiczny kształt odbudowywanej korony zęba jest optymalnie możliwy dzięki zastosowaniu wypełnienia kompozytowego lub uzupełnień typu inlay/onlay wykonanych również z kompozytu lub ceramiki.
- licówki kompozytowe
- korony protetyczne
BEZBOLESNE ZNIECZULENIE MIEJSCOWE – The WAND
Zabiegi w naszej klinice wykonujemy w znieczuleniu miejscowym przy użyciu The WAND. Jest to urządzenie sterowane komputerowo, które podaje bezboleśnie, środek znieczulenia miejscowego. Celem naszej placówki jest zadowolenie pacjenta, poprzez dbałość o każdy szczegół wykonywanych przez nas usług. Bezbolesne znieczulenie miejscowe jest istotnym dla pacjenta elementem towarzyszącym zabiegom stomatologicznym.
Czytaj więcej…
FAQ - STOMATOLOGIA ESTETYCZNA
Znieczulenie miejscowe stosowane przy zabiegach stomatologicznych jest warunkiem braku bólu i komfortu pacjenta podczas ich trwania. Istnieją techniki, które mają za zadanie uczynić sam moment znieczulenia karpulą bezbolesnym. Przed znieczuleniem za pomocą karpuli lub strzykawki lekarz nakłada miejscowo żel znieczulający lub rozpyla znieczulenie powierzchniowe na błonę śluzową w miejscu wkłucia. Gwarantuje to redukcję przykrych odczuć towarzyszących tej procedurze. Oprócz technik znieczuleń opisanych powyżej, w asortymencie nowoczesnych rozwiązań pojawiło się znieczulenie aparatem The Wand. Dzięki nowej technologii, opierającej się na stopniowym dawkowaniu środka kontrolowanego przez komputer, gwarantuje skuteczne działanie oraz bezbolesną aplikację środka znieczulającego.
Aparat The Wand posiada specjalnie zaprojektowany aplikator, wyglądem przypominający długopis – ten kształt zapewnia całkowitą swobodę i precyzję ruchu w trakcie pracy oraz eliminuje strach przed strzykawką i igłą. The Wand jest przeznaczony zarówno dla dorosłych, jak i dla dzieci. Podanie znieczulenia tą metodą stało się dużo łatwiejsze i przede wszystkim mniej stresujące dla pacjenta. Znieczulenie to dzięki nowej technologii, opierającej się na stopniowym dawkowaniu środka, kontrolowanego przez komputer, pozwala na bezbolesną aplikację substancji znieczulającej.
Ciąża jest stanem fizjologicznym, który w normalnych warunkach nie zagraża zdrowiu ciężarnej. W tym czasie (około 9 miesięcy) zdarzają się sytuacje wymagające nagłej interwencji medycznej. Przyczyną takiego stanu rzeczy mogą być również choroby zębów i tkanek jamy ustnej. Warunkiem bezpieczeństwa leczenia w znieczuleniu miejscowym ciężarnych jest stosowanie się do ogólnie przyjętych zasad.
Drugi trymestr ciąży jest optymalny dla przeprowadzania inwazyjnych zabiegów stomatologicznych, nie znaczy to jednak, że w sytuacji wyższej konieczności w pozostałych okresach ciąży nie wolno ich wykonywać. Ze względu na to, że stres i ból spowodowany leczeniem zęba bez znieczulenia jest bardziej szkodliwy dla płodu niż środek anestetyczny, niezbędne zabiegi stomatologiczne wykonywane są w znieczuleniu miejscowym. Należy wybrać odpowiedni preparat znieczulający bez dodatku środków obkurczających naczynia krwionośne. Można zastosować znieczulenie urządzeniem The Wand, które pozwala na bezbolesną aplikację substancji znieczulającej, co z kolei gwarantuje redukcję stresu i przykrych odczuć towarzyszących tej procedurze. Na wypadek zaistnienia wątpliwości lub zagrożeń dla pacjentki konieczna jest konsultacja z ginekologiem prowadzącym leczenie.
To rodzaj wypełnienia stosowanego w każdym typie ubytków twardych tkanek zęba. Daje przede wszystkim możliwość ich estetycznej odbudowy i odtworzenia anatomii zniszczonych koron zębów. Istnieje wiele rodzajów materiałów kompozytowych, zgodnie z ich podziałem ze względu na mikrostrukturę materiału. Istotą kompozytów jest różnorodność ich składu i budowy, która umożliwia ich wszechstronne zastosowanie zarówno do odbudowy rozległych ubytków wielopłaszczyznowych, jak i precyzyjnych, estetycznych uzupełnień ubytków koron zębów przednich, siekaczy.
Glasjonomery/szkło-jonomery to rodzaj wypełnienia charakteryzujący się wysoką wytrzymałością i bardzo dobrą adhezją ze szkliwem i zębiną. Dodatkową zaletą jest uwalnianie jonów fluorkowych, co pozwala na wzmocnienie tkanek twardych zęba i znaczne zmniejszenie prawdopodobieństwa dalszego rozwoju próchnicy. Są to materiały, które ze względu na swoje właściwości znajdują coraz szersze zastosowanie jako wypełnienia tymczasowe mogące służyć przez dłuższy czas lub podkłady pod wypełnienia.
Nie ma ścisłych zaleceń co do wymiany wypełnień. Wskazaniem do wymiany jest brak szczelności wypełnienia oraz próchnica wtórna. Prawidłowo założone wypełnienia kompozytowe gwarantują trwałe i bezpieczne uzupełnienie ubytków w zębach przez okres około 5–10 lat. Ważne, by systematycznie sprawdzać ich stan podczas regularnych kontroli stomatologicznych.
Niektóre powszechnie stosowane leki mogą powodować uszkodzenie twardych tkanek zębów. Jak wynika z badań naukowych, na każdym etapie rozwoju organizmu i zębów mogą przyczynić się do powstawania erozji lub hipoplazji, czyli niedotworzenia twardych tkanek, trwałych przebarwień, a w konsekwencji próchnicy, infekcji czy wreszcie rozległych stanów zapalnych tkanek jamy ustnej. Zażywanie leków stwarzających ryzyko opisanych powikłań w okresie rozwojowym należy poprzedzić konsultacją pediatryczną oraz stomatologiczną u lekarza pedodonty.
Od pierwszej wizyty małego pacjenta w gabinecie stomatologicznym często zależy jego dalsza relacja ze stomatologiem. Automatycznie przekłada się to na jego przyszły stan zdrowia uzębienia i jamy ustnej.
Przygotowanie do wizyty adaptacyjnej powinno uwzględniać spokojną rozmowę uzasadniającą konieczność dbania o higienę jamy ustnej oraz zęby, jak również wstępną informację dotyczącą sposobów jej zachowania. Argumenty natomiast winny być dostosowane do wieku i poziomu rozwoju małego pacjenta. W miarę możliwości należy przybliżyć informacje o tym, czym zajmuje się lekarz stomatolog i jak jego działania mogą pacjentom pomóc czy przeciwdziałać problemom zdrowotnym, które dotyczą zębów i jamy ustnej. Wizytę powinno się planować raczej w godzinach porannych, gdy percepcja i siły małego pacjenta są potencjalnie najlepsze. Wybieramy gabinet lub specjalistę, który ma odpowiednie przygotowanie, a nawet dar dobrego kontaktu z dziećmi. Liczne pomoce, zabawki, kolorowe opracowania graficzne obecne w gabinecie bywają pomocne przy wyjaśnianiu niezbędnych informacji.
Zazwyczaj pierwsza wizyta jest tylko informacyjna, choć nie wykluczamy możliwości wstępnych prac w jamie ustnej. Ma zwykle na celu oswoić dziecko z nową sytuacją i sprawić, że gabinet stomatologiczny przestanie budzić lęk.
Pacjent zawsze otrzymuje dokładne wskazówki od stomatologa dotyczące postępowania po zabiegu. W zależności od rodzaju wypełnienia należy odczekać do momentu całkowitego związania materiału. Dodatkowo przy zastosowaniu znieczulenia pacjent powinien wstrzymać się od spożywania pokarmów do momentu, aż ono całkowicie ustąpi.
Amalgamat srebra to materiał najstarszej generacji, którego istotną składową jest rtęć, zawiera również srebro, miedź i cynę. To wypełnienie trwałe, które przy prawidłowej preparacji tkanek twardych na obrzeżu ubytku jest szczelne i spełnia swoje funkcje przez długie lata. Jego mankamentem jest estetyka. Ma on kolor srebrny – kontrastujący z naturalną barwą zębów. Dlatego też wypierany jest z użycia przez materiały kompozytowe, które zapewniają trwałość, a równocześnie doskonale spełniają oczekiwania estetyczne. Wadą amalgamatów bywa również skłonność do alergizowania organizmu.
Wypełnienia światłoutwardzalne to uzupełnienia z materiałów polimerowych, kompozytowych. Dają możliwość odtworzenia pierwotnego kształtu zęba, co stanowi główną zaletę kompozytu. Prawidłowo założone są szczelne i trwałe oraz gwarantują estetykę wypełnienia, zwłaszcza w odcinku przednim uzębienia. Materiał światłoutwardzalny dobierany jest odpowiednio do klasy ubytku, koloru oraz funkcji zęba.
Leczenie zachowawcze pojedynczego ubytku zazwyczaj odbywa się w czasie jednej wizyty. W sytuacjach bardziej złożonych, w zależności od przypadku i stopnia uszkodzenia twardych tkanek zęba, może rozciągnąć się na kilka wizyt.
Często długoterminowe leczenie endodontyczne zęba wiąże się z wątpliwością co do skuteczności jego powodzenia, szczególnie przy obecności zmian zapalnych okołowierzchołkowych. Wypełnienie tymczasowe zakładane jest w takiej sytuacji na okres leczenia, dając stały dostęp do opracowywanych kanałów zęba. Nie ma jednoznacznie określonego czasu, po jakim należy wymienić wypełnienie tymczasowe na nowe lub ostateczne. Istotą stosowanych tutaj materiałów jest szczelność wypełnienia, które powinno być wymienione w sytuacji, gdy przestaje spełniać swoją funkcję. O konieczności wymiany wypełnienia tymczasowego decyduje lekarz podczas regularnych wizyt kontrolnych.
